Suppr超能文献

一例罕见的可能起源于结节性甲状腺肿的低分化甲状腺癌。

A rare case of poorly differentiated thyroid carcinoma probably arising from a nodular goiter.

作者信息

Yasuoka Hironao, Nakamura Yasushi, Hirokawa Mitsuyoshi, Yoshida Ken-Ichi, Anno Kana, Tori Masayuki, Tsujimoto Masahiko

机构信息

Department of Pathology, Osaka Police Hospital, 10-31 Kitayama-cho, Tennouji-ku, Osaka City, Osaka, 543-0035 Japan.

Department of Pathology, Osaka Cytopathological Laboratory, 2-2-26, Kunijima, Higashiyodogawa-ku, Osaka City, Osaka, 533-0024 Japan.

出版信息

BMC Clin Pathol. 2017 Jun 2;17:9. doi: 10.1186/s12907-017-0048-x. eCollection 2017.

Abstract

BACKGROUND

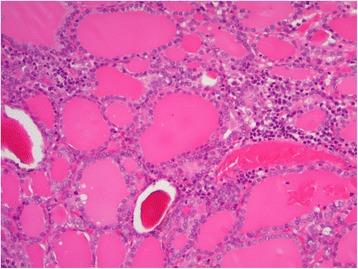
Some poorly differentiated thyroid carcinomas (PDTC) arise from pre-existing, well-differentiated carcinomas of follicular cell origin; however, others most likely arise de novo The case of a PDTC adjacent to a pre-existing nodular goiter is very rare.

CASE PRESENTATION

A patient had a PDTC, a widely invasive, cellular tumor with cells that lacked the nuclear features of a papillary thyroid carcinoma. Carcinoma cells were arranged in trabecular, solid, and microfollicular histological patterns and displayed high mitotic activity. A nodule partially encapsulated in a thick fibrous capsule was found adjacent to the PDTC. The nodule was composed of small or dilated follicles, without papillary carcinoma-like nuclear features, that were consistent with a nodular goiter. The PDTC showed a high Ki-67 labeling index and an gene mutation (codon 61, Q61K).

CONCLUSION

These results support our diagnosis of a PDTC, probably arising from a nodular goiter.

摘要

背景

一些低分化甲状腺癌(PDTC)起源于先前存在的、滤泡细胞来源的高分化癌;然而,其他一些可能是新发的。与先前存在的结节性甲状腺肿相邻的PDTC病例非常罕见。

病例介绍

一名患者患有PDTC,这是一种广泛浸润的细胞性肿瘤,其细胞缺乏甲状腺乳头状癌的核特征。癌细胞呈小梁状、实性和微滤泡状组织学模式,有较高的有丝分裂活性。在PDTC旁边发现一个部分被厚纤维包膜包裹的结节。该结节由小的或扩张的滤泡组成,无乳头状癌样核特征,符合结节性甲状腺肿。PDTC显示高Ki-67标记指数和 基因突变(密码子61,Q61K)。

结论

这些结果支持我们对PDTC的诊断,可能起源于结节性甲状腺肿。

https://cdn.ncbi.nlm.nih.gov/pmc/blobs/cc4e/5457633/65b8195f040f/12907_2017_48_Fig1_HTML.jpg

文献AI研究员

20分钟写一篇综述,助力文献阅读效率提升50倍。

立即体验

用中文搜PubMed

大模型驱动的PubMed中文搜索引擎

马上搜索

文档翻译

学术文献翻译模型,支持多种主流文档格式。

立即体验