• 文献检索
  • 文档翻译
  • 深度研究
  • 学术资讯
  • Suppr Zotero 插件Zotero 插件
  • 邀请有礼
  • 套餐&价格
  • 历史记录
应用&插件
Suppr Zotero 插件Zotero 插件浏览器插件Mac 客户端Windows 客户端微信小程序
定价
高级版会员购买积分包购买API积分包
服务
文献检索文档翻译深度研究API 文档MCP 服务
关于我们
关于 Suppr公司介绍联系我们用户协议隐私条款
关注我们

Suppr 超能文献

核心技术专利:CN118964589B侵权必究
粤ICP备2023148730 号-1Suppr @ 2026

文献检索

告别复杂PubMed语法,用中文像聊天一样搜索,搜遍4000万医学文献。AI智能推荐,让科研检索更轻松。

立即免费搜索

文件翻译

保留排版,准确专业,支持PDF/Word/PPT等文件格式,支持 12+语言互译。

免费翻译文档

深度研究

AI帮你快速写综述,25分钟生成高质量综述,智能提取关键信息,辅助科研写作。

立即免费体验

巴斯克家族中GRN和MAPT p.A152T的意外共现:临床和病理特征

The unexpected co-occurrence of GRN and MAPT p.A152T in Basque families: Clinical and pathological characteristics.

作者信息

Moreno Fermin, Indakoetxea Begoña, Barandiaran Myriam, Caballero María Cristina, Gorostidi Ana, Calafell Francesc, Gabilondo Alazne, Tainta Mikel, Zulaica Miren, Martí Massó José F, López de Munain Adolfo, Sánchez-Juan Pascual, Lee Suzee E

机构信息

Department of Neurology, Hospital Universitario Donostia, San Sebastian, Spain.

Centro de Investigación Biomédica en Red sobre Enfermedades Neurodegenerativas (CIBERNED), Institute Carlos III, Madrid, Spain.

出版信息

PLoS One. 2017 Jun 8;12(6):e0178093. doi: 10.1371/journal.pone.0178093. eCollection 2017.

DOI:10.1371/journal.pone.0178093
PMID:28594853
原文链接:https://pmc.ncbi.nlm.nih.gov/articles/PMC5464560/
Abstract

BACKGROUND

The co-occurrence of the c.709-1G>A GRN mutation and the p.A152T MAPT variant has been identified in 18 Basque families affected by frontotemporal dementia (FTD). We aimed to investigate the influence of the p.A152T MAPT variant on the clinical and neuropathological features of these Basque GRN families.

METHODS AND FINDINGS

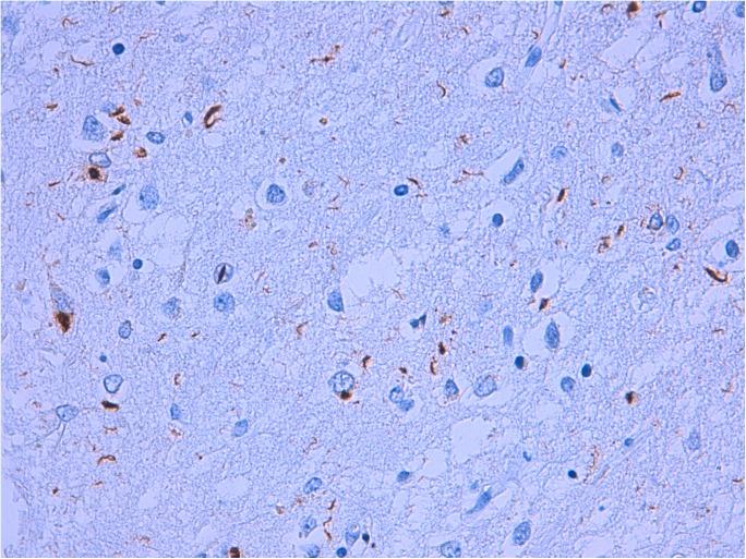
We compared clinical characteristics of 14 patients who carried the c.709-1G>A GRN mutation (GRN+/A152T-) with 21 patients who carried both the c.709-1G>A GRN mutation and the p.A152T MAPT variant (GRN+/A152T+). Neuropsychological data (n = 17) and plasma progranulin levels (n = 23) were compared between groups, and 7 subjects underwent neuropathological studies. We genotyped six short tandem repeat markers in the two largest families. By the analysis of linkage disequilibrium decay in the haplotype block we estimated the time when the first ancestor to carry both genetic variants emerged. GRN+/A152T+ and GRN+/A152T- patients shared similar clinical and neuropsychological features and plasma progranulin levels. All were diagnosed with an FTD disorder, including behavioral variant FTD or non fluent / agrammatic variant primary progressive aphasia, and shared a similar pattern of neuropsychological deficits, predominantly in executive function, memory, and language. All seven participants with available brain autopsies (6 GRN+/A152T+, 1 GRN+/A152T-) showed frontotemporal lobar degeneration with TDP-43 inclusions (type A classification), which is characteristic of GRN carriers. Additionally, all seven showed mild to moderate tau inclusion burden: five cases lacked β-amyloid pathology and two cases had Alzheimer's pathology. The co-occurrence of both genes within one individual is recent, with the birth of the first GRN+/A152T+ individual estimated to be within the last 50 generations (95% probability).

CONCLUSIONS

In our sample, the p.A152T MAPT variant does not appear to show a discernible influence on the clinical phenotype of GRN carriers. Whether p.A152T confers a greater than expected propensity for tau pathology in these GRN carriers remains an open question.

摘要

背景

在18个受额颞叶痴呆(FTD)影响的巴斯克家族中,已鉴定出c.709-1G>A GRN突变和p.A152T MAPT变体的共现情况。我们旨在研究p.A152T MAPT变体对这些巴斯克GRN家族临床和神经病理学特征的影响。

方法与结果

我们比较了14名携带c.709-1G>A GRN突变(GRN+/A152T-)的患者与21名同时携带c.709-1G>A GRN突变和p.A152T MAPT变体(GRN+/A152T+)的患者的临床特征。比较了两组之间的神经心理学数据(n = 17)和血浆前颗粒蛋白水平(n = 23),并对7名受试者进行了神经病理学研究。我们对两个最大家族中的六个短串联重复标记进行了基因分型。通过分析单倍型块中的连锁不平衡衰减,我们估计了同时携带这两种遗传变异的第一个祖先出现的时间。GRN+/A152T+和GRN+/A152T-患者具有相似的临床和神经心理学特征以及血浆前颗粒蛋白水平。所有患者均被诊断为FTD疾病,包括行为变异型FTD或非流利/语法缺失型原发性进行性失语,并且具有相似的神经心理学缺陷模式,主要表现为执行功能、记忆和语言方面的缺陷。所有7名有脑尸检结果的参与者(6名GRN+/A152T+,1名GRN+/A152T-)均表现为伴有TDP-43包涵体的额颞叶变性(A型分类),这是GRN携带者的特征。此外,所有7名参与者均表现出轻度至中度的tau包涵体负担:5例缺乏β-淀粉样蛋白病理,2例有阿尔茨海默病病理。一个个体中这两个基因的共现是近期发生的,估计第一个GRN+/A152T+个体的出生时间在过去50代以内(95%概率)。

结论

在我们的样本中,p.A152T MAPT变体似乎对GRN携带者的临床表型没有明显影响。在这些GRN携带者中,p.A152T是否赋予tau病理超出预期的倾向仍是一个悬而未决的问题。

https://cdn.ncbi.nlm.nih.gov/pmc/blobs/f1a6/5464560/09e3c8e99c7b/pone.0178093.g003.jpg
https://cdn.ncbi.nlm.nih.gov/pmc/blobs/f1a6/5464560/ec76ce700e7b/pone.0178093.g001.jpg
https://cdn.ncbi.nlm.nih.gov/pmc/blobs/f1a6/5464560/f774b7cbdf07/pone.0178093.g002.jpg
https://cdn.ncbi.nlm.nih.gov/pmc/blobs/f1a6/5464560/09e3c8e99c7b/pone.0178093.g003.jpg
https://cdn.ncbi.nlm.nih.gov/pmc/blobs/f1a6/5464560/ec76ce700e7b/pone.0178093.g001.jpg
https://cdn.ncbi.nlm.nih.gov/pmc/blobs/f1a6/5464560/f774b7cbdf07/pone.0178093.g002.jpg
https://cdn.ncbi.nlm.nih.gov/pmc/blobs/f1a6/5464560/09e3c8e99c7b/pone.0178093.g003.jpg

相似文献

1
The unexpected co-occurrence of GRN and MAPT p.A152T in Basque families: Clinical and pathological characteristics.巴斯克家族中GRN和MAPT p.A152T的意外共现:临床和病理特征
PLoS One. 2017 Jun 8;12(6):e0178093. doi: 10.1371/journal.pone.0178093. eCollection 2017.
2
Distinct clinical and pathological phenotypes in frontotemporal dementia associated with MAPT, PGRN and C9orf72 mutations.与微管相关蛋白tau(MAPT)、原纤维蛋白(PGRN)和9号染色体开放阅读框72(C9orf72)基因突变相关的额颞叶痴呆的不同临床和病理表型。
Amyotroph Lateral Scler Frontotemporal Degener. 2015;16(7-8):497-505. doi: 10.3109/21678421.2015.1074700. Epub 2015 Oct 16.
3
Phenotypic variability associated with progranulin haploinsufficiency in patients with the common 1477C-->T (Arg493X) mutation: an international initiative.常见的1477C→T(Arg493X)突变患者中与前颗粒蛋白单倍剂量不足相关的表型变异性:一项国际倡议。
Lancet Neurol. 2007 Oct;6(10):857-68. doi: 10.1016/S1474-4422(07)70221-1.
4
A distinct clinical, neuropsychological and radiological phenotype is associated with progranulin gene mutations in a large UK series.在英国的一个大型队列研究中,一种独特的临床、神经心理学和放射学表型与颗粒蛋白前体基因突变相关。
Brain. 2008 Mar;131(Pt 3):706-20. doi: 10.1093/brain/awm320. Epub 2008 Jan 29.
5
Cerebral blood flow in presymptomatic MAPT and GRN mutation carriers: A longitudinal arterial spin labeling study.有症状前MAPT和GRN突变携带者的脑血流:一项纵向动脉自旋标记研究。
Neuroimage Clin. 2016 Aug 3;12:460-5. doi: 10.1016/j.nicl.2016.08.001. eCollection 2016.
6
Frequency and clinical characteristics of progranulin mutation carriers in the Manchester frontotemporal lobar degeneration cohort: comparison with patients with MAPT and no known mutations.曼彻斯特额颞叶痴呆队列中前颗粒蛋白突变携带者的频率及临床特征:与微管相关蛋白tau(MAPT)突变患者及无已知突变患者的比较
Brain. 2008 Mar;131(Pt 3):721-31. doi: 10.1093/brain/awm331. Epub 2008 Jan 11.
7
GRN and MAPT Mutations in 2 Frontotemporal Dementia Research Centers in Brazil.巴西两个额颞叶痴呆研究中心的GRN和MAPT突变
Alzheimer Dis Assoc Disord. 2016 Oct-Dec;30(4):310-317. doi: 10.1097/WAD.0000000000000153.
8
Analyses MAPT, GRN, and C9orf72 mutations in Chinese patients with frontotemporal dementia.分析中国额颞叶痴呆患者的微管相关蛋白tau(MAPT)、原纤维蛋白(GRN)和9号染色体开放阅读框72(C9orf72)基因突变。
Neurobiol Aging. 2016 Oct;46:235.e11-5. doi: 10.1016/j.neurobiolaging.2016.05.013. Epub 2016 May 20.
9
Cerebrospinal Fluid YKL-40 and Chitotriosidase Levels in Frontotemporal Dementia Vary by Clinical, Genetic and Pathological Subtype.脑脊髓液 YKL-40 和壳三糖酶水平在额颞叶痴呆的临床、遗传和病理亚型中存在差异。
Dement Geriatr Cogn Disord. 2020;49(1):56-76. doi: 10.1159/000506282. Epub 2020 Apr 28.
10
Genetic Features of MAPT, GRN, C9orf72 and CHCHD10 Gene Mutations in Chinese Patients with Frontotemporal Dementia.中国额颞叶痴呆患者中MAPT、GRN、C9orf72和CHCHD10基因突变的遗传特征
Curr Alzheimer Res. 2017;14(10):1102-1108. doi: 10.2174/1567205014666170426105713.

引用本文的文献

1
Alzheimer's disease research progress in the Mediterranean region: The Alzheimer's Association International Conference Satellite Symposium.地中海地区阿尔茨海默病研究进展:阿尔茨海默病协会国际会议卫星研讨会。
Alzheimers Dement. 2022 Oct;18(10):1957-1968. doi: 10.1002/alz.12588. Epub 2022 Feb 20.
2
Emerging genetic complexity and rare genetic variants in neurodegenerative brain diseases.神经退行性脑疾病中的新兴遗传复杂性和罕见遗传变异。
Genome Med. 2021 Apr 14;13(1):59. doi: 10.1186/s13073-021-00878-y.
3
Frontotemporal dementia: latest evidence and clinical implications.

本文引用的文献

1
Human iPSC-Derived Neuronal Model of Tau-A152T Frontotemporal Dementia Reveals Tau-Mediated Mechanisms of Neuronal Vulnerability.人诱导多能干细胞衍生的tau-A152T额颞叶痴呆神经元模型揭示了tau介导的神经元易损机制。
Stem Cell Reports. 2016 Sep 13;7(3):325-340. doi: 10.1016/j.stemcr.2016.08.001. Epub 2016 Sep 1.
2
Reduced Tau protein expression is associated with frontotemporal degeneration with progranulin mutation.Tau 蛋白表达减少与颗粒蛋白基因突变所致额颞叶变性有关。
Acta Neuropathol Commun. 2016 Jul 19;4(1):74. doi: 10.1186/s40478-016-0345-0.
3
MAPT H1 Haplotype is Associated with Late-Onset Alzheimer's Disease Risk in APOEɛ4 Noncarriers: Results from the Dementia Genetics Spanish Consortium.
额颞叶痴呆:最新证据及临床意义
Ther Adv Psychopharmacol. 2018 Jan;8(1):33-48. doi: 10.1177/2045125317739818. Epub 2017 Nov 10.
微管相关蛋白tau基因H1单倍型与APOEɛ4非携带者晚发性阿尔茨海默病风险相关:来自西班牙痴呆症遗传学联盟的结果
J Alzheimers Dis. 2016;49(2):343-52. doi: 10.3233/JAD-150555.
4
Neurogenetic disorders in the Basque population.
Ann Hum Genet. 2015 Jan;79(1):57-75. doi: 10.1111/ahg.12088. Epub 2014 Dec 1.
5
No interaction between tau and TDP-43 pathologies in either frontotemporal lobar degeneration or motor neurone disease.在额颞叶变性或运动神经元病中,tau 和 TDP-43 病理学之间没有相互作用。
Neuropathol Appl Neurobiol. 2014 Dec;40(7):844-54. doi: 10.1111/nan.12155.
6
Double trouble? Progranulin mutation and C9ORF72 repeat expansion in a case of primary non-fluent aphasia.双重麻烦?一例原发性非流利性失语症中的原纤维蛋白突变和C9ORF72重复序列扩增
J Neurol Sci. 2014 Jun 15;341(1-2):176-8. doi: 10.1016/j.jns.2014.03.030. Epub 2014 Mar 19.
7
Genetic correction of tauopathy phenotypes in neurons derived from human induced pluripotent stem cells.从诱导多能干细胞分化的神经元中对 tau 病表型进行基因矫正。
Stem Cell Reports. 2013 Aug 29;1(3):226-34. doi: 10.1016/j.stemcr.2013.08.001. eCollection 2013.
8
A pathogenic progranulin mutation and C9orf72 repeat expansion in a family with frontotemporal dementia.一个患有额颞叶痴呆的家族中存在致病性原纤维蛋白突变和C9orf72重复序列扩增。
Neuropathol Appl Neurobiol. 2014 Jun;40(4):502-13. doi: 10.1111/nan.12100.
9
C9ORF72 repeat expansions in cases with previously identified pathogenic mutations.C9ORF72 重复扩展在先前已确定致病性突变的病例中。
Neurology. 2013 Oct 8;81(15):1332-41. doi: 10.1212/WNL.0b013e3182a8250c. Epub 2013 Sep 11.
10
Pallidonigroluysian atrophy associated with p.A152T variant in MAPT.与微管相关蛋白tau(MAPT)基因p.A152T变异相关的苍白球黑质路易体萎缩症
Parkinsonism Relat Disord. 2013 Sep;19(9):838-41. doi: 10.1016/j.parkreldis.2013.04.023. Epub 2013 May 18.