Suppr超能文献

新型微粉化和超微粉化N-棕榈酰乙醇胺制剂在复杂性区域疼痛综合征胫骨骨折小鼠模型中的作用

Effect of a new formulation of micronized and ultramicronized N-palmitoylethanolamine in a tibia fracture mouse model of complex regional pain syndrome.

作者信息

Fusco Roberta, Gugliandolo Enrico, Campolo Michela, Evangelista Maurizio, Di Paola Rosanna, Cuzzocrea Salvatore

机构信息

Department of Chemical, Biological, Pharmaceutical and Environmental Sciences, University of Messina, Messina, Italy.

Institute of Anaesthesiology and Reanimation, Catholic University of the Sacred Heart, Rome, Italy.

出版信息

PLoS One. 2017 Jun 8;12(6):e0178553. doi: 10.1371/journal.pone.0178553. eCollection 2017.

Abstract

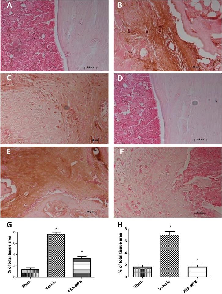
Complex regional pain syndrome type 1 (CRPS-I) is a disabling and frequently chronic condition. It involves the extremities and is a frequent consequence of distal tibia and radius fractures. The inflamed appearance of the affected CRPS-I limb suggests that local production of inflammatory mediators may be implicated in the ensuing etiology. A rodent tibia fracture model, characterized by inflammation, chronic unilateral hindlimb warmth, edema, protein extravasation, allodynia and hyperalgesia resembles the clinical features of patients with acute CRPS-I. N-palmitoylethanolamine (PEA), a member of the family of naturally-occurring N-acylethanolamines, is well-known for its ability to modulate inflammatory processes and regulate pain sensitivity. However, the large particle size and lipidic nature of PEA may limit its bioavailability and solubility when given orally. Micronized formulations are frequently used to enhance the dissolution rate of drug and reduce its variability of absorption when orally administered. The aim of this study was to assess the effects of a formulation of micronized and ultramicronized PEA (PEA-MPS), given orally in a mouse model of CRPS-I. CD-1 male mice were subjected to distal tibia fracture and divided into two groups: control and treated with PEA-MPS (PEA micronized 300 mg/kg and ultramicronized 600 mg/kg). Sensibility to pain was monitored in all mice throughout the course of the experiment. Twenty-eight days after tibia fracture induction animals were sacrificed and biochemical parameters evaluated. The PEA-MPS-treated group showed an improved healing process, fracture recovery and fibrosis score. PEA-MPS administration decreased mast cell density, nerve growth factor, matrix metalloproteinase 9 and cytokine expression. This treatment also reduced (poly-ADP)ribose polymerase activation, peroxynitrite formation and apoptosis. Our results suggest that PEA-MPS may be a new therapeutic strategy in the treatment of CRPS-I.

摘要

1型复杂性区域疼痛综合征(CRPS-I)是一种致残且常为慢性的病症。它累及四肢,是胫骨干远端和桡骨骨折常见的后果。CRPS-I患肢的炎症表现提示局部炎症介质的产生可能与后续病因有关。一种以炎症、慢性单侧后肢发热、水肿、蛋白质外渗、痛觉过敏和超敏反应为特征的啮齿动物胫骨骨折模型类似于急性CRPS-I患者的临床特征。N-棕榈酰乙醇胺(PEA)是天然存在的N-酰基乙醇胺家族的一员,以其调节炎症过程和调节疼痛敏感性的能力而闻名。然而,PEA的大粒径和脂质性质可能会限制其口服时的生物利用度和溶解度。微粉化制剂常用于提高药物的溶解速率并降低其口服给药时吸收的变异性。本研究的目的是评估微粉化和超微粉化PEA制剂(PEA-MPS)口服给药对CRPS-I小鼠模型的影响。将CD-1雄性小鼠进行胫骨干远端骨折,并分为两组:对照组和用PEA-MPS治疗组(微粉化PEA 300 mg/kg和超微粉化PEA 600 mg/kg)。在整个实验过程中监测所有小鼠的疼痛敏感性。胫骨骨折诱导28天后处死动物并评估生化参数。PEA-MPS治疗组显示愈合过程、骨折恢复和纤维化评分得到改善。给予PEA-MPS可降低肥大细胞密度、神经生长因子、基质金属蛋白酶9和细胞因子表达。这种治疗还减少了(多聚ADP)核糖聚合酶激活、过氧亚硝酸盐形成和细胞凋亡。我们的结果表明,PEA-MPS可能是治疗CRPS-I的一种新的治疗策略。

https://cdn.ncbi.nlm.nih.gov/pmc/blobs/91dc/5464592/837ac85bc404/pone.0178553.g001.jpg

文献检索

告别复杂PubMed语法,用中文像聊天一样搜索,搜遍4000万医学文献。AI智能推荐,让科研检索更轻松。

立即免费搜索

文件翻译

保留排版,准确专业,支持PDF/Word/PPT等文件格式,支持 12+语言互译。

免费翻译文档

深度研究

AI帮你快速写综述,25分钟生成高质量综述,智能提取关键信息,辅助科研写作。

立即免费体验