• 文献检索
  • 文档翻译
  • 深度研究
  • 学术资讯
  • Suppr Zotero 插件Zotero 插件
  • 邀请有礼
  • 套餐&价格
  • 历史记录
应用&插件
Suppr Zotero 插件Zotero 插件浏览器插件Mac 客户端Windows 客户端微信小程序
定价
高级版会员购买积分包购买API积分包
服务
文献检索文档翻译深度研究API 文档MCP 服务
关于我们
关于 Suppr公司介绍联系我们用户协议隐私条款
关注我们

Suppr 超能文献

核心技术专利:CN118964589B侵权必究
粤ICP备2023148730 号-1Suppr @ 2026

文献检索

告别复杂PubMed语法,用中文像聊天一样搜索,搜遍4000万医学文献。AI智能推荐,让科研检索更轻松。

立即免费搜索

文件翻译

保留排版,准确专业,支持PDF/Word/PPT等文件格式,支持 12+语言互译。

免费翻译文档

深度研究

AI帮你快速写综述,25分钟生成高质量综述,智能提取关键信息,辅助科研写作。

立即免费体验

单独使用相思豆毒素(pCramoll)以及与氟康唑联合使用对感染小鼠具有治疗益处。

Treatment with pCramoll Alone and in Combination with Fluconazole Provides Therapeutic Benefits in Infected Mice.

作者信息

Jandú Jannyson J, Costa Marliete C, Santos Julliana R A, Andrade Fernanda M, Magalhães Thais F, Silva Márcia V, Castro Maria C A B, Coelho Luanna C B B, Gomes Aline G, Paixão Tatiane A, Santos Daniel A, Correia Maria T S

机构信息

Departamento de Bioquímica, Universidade Federal de PernambucoRecife, Brazil.

Departamento de Microbiologia, Universidade Federal de Minas GeraisBelo Horizonte, Brazil.

出版信息

Front Cell Infect Microbiol. 2017 May 24;7:211. doi: 10.3389/fcimb.2017.00211. eCollection 2017.

DOI:10.3389/fcimb.2017.00211
PMID:28596945
原文链接:https://pmc.ncbi.nlm.nih.gov/articles/PMC5442327/
Abstract

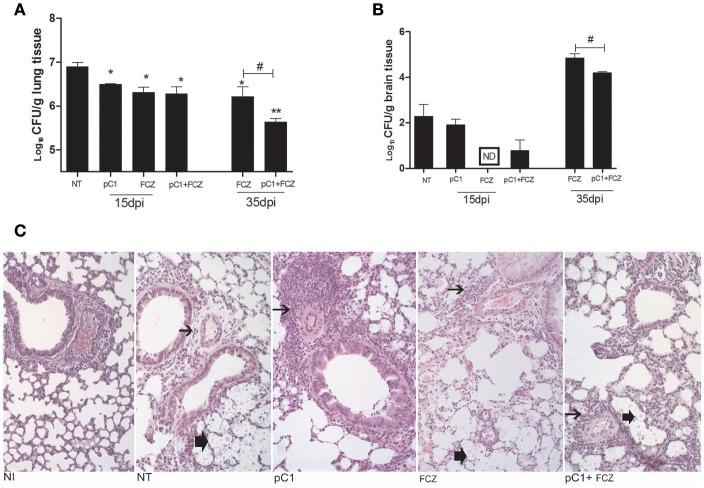
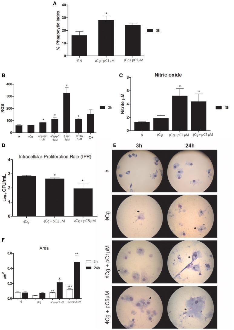
is one of the main causative agents of cryptococcosis in immunocompetent individuals. Treatment of the infection is based on the use of antimycotics, however, the toxicity of these drugs and the increase of drug-resistant strains have driven the search for more effective and less toxic therapies for cryptococcosis. pCramoll are isolectins purified from seeds of , a native forage plant from Brazil, which has become a versatile tool for biomedical application. We evaluated the effect of pCramoll alone and in combination with fluconazole for the treatment of mice infected with . pCramoll alone or in combination with fluconazole increased the survival, reduced the morbidity and improved mice behavior i.e., neuropsychiatric state, motor behavior, autonomic function, muscle tone and strength and reflex/sensory function. These results were associated with (i) decreased pulmonary and cerebral fungal burden and (ii) increased inflammatory infiltrate and modulatory of IFNγ, IL-6, IL-10, and IL-17A cytokines in mice treated with pCramoll. Indeed, bone marrow-derived macrophages pulsed with pCramoll had increased ability to engulf , with an enhanced production of reactive oxygen species and decrease of intracellular fungal proliferation. These findings point toward the use of pCramoll in combination with fluconazole as a viable, alternative therapy for cryptococcosis management.

摘要

是免疫功能正常个体中隐球菌病的主要病原体之一。该感染的治疗基于抗真菌药物的使用,然而,这些药物的毒性以及耐药菌株的增加促使人们寻找更有效且毒性更小的隐球菌病治疗方法。pCramoll是从巴西本土饲料植物的种子中纯化得到的异凝集素,它已成为生物医学应用的一种多功能工具。我们评估了pCramoll单独使用以及与氟康唑联合使用对感染小鼠的治疗效果。单独使用pCramoll或与氟康唑联合使用均可提高生存率、降低发病率并改善小鼠行为,即神经精神状态、运动行为、自主功能、肌张力和力量以及反射/感觉功能。这些结果与以下情况相关:(i)肺部和脑部真菌负荷降低;(ii)用pCramoll治疗的小鼠中炎性浸润增加以及IFNγ、IL - 6、IL - 10和IL - 17A细胞因子的调节。事实上,用pCramoll脉冲处理的骨髓来源巨噬细胞吞噬能力增强,活性氧产生增加,细胞内真菌增殖减少。这些发现表明pCramoll与氟康唑联合使用可作为隐球菌病治疗的一种可行替代疗法。

https://cdn.ncbi.nlm.nih.gov/pmc/blobs/e0c0/5442327/03f8f987b3ee/fcimb-07-00211-g0004.jpg
https://cdn.ncbi.nlm.nih.gov/pmc/blobs/e0c0/5442327/75aecc5d2951/fcimb-07-00211-g0001.jpg
https://cdn.ncbi.nlm.nih.gov/pmc/blobs/e0c0/5442327/4c4629399757/fcimb-07-00211-g0002.jpg
https://cdn.ncbi.nlm.nih.gov/pmc/blobs/e0c0/5442327/112d35efe4ab/fcimb-07-00211-g0003.jpg
https://cdn.ncbi.nlm.nih.gov/pmc/blobs/e0c0/5442327/03f8f987b3ee/fcimb-07-00211-g0004.jpg
https://cdn.ncbi.nlm.nih.gov/pmc/blobs/e0c0/5442327/75aecc5d2951/fcimb-07-00211-g0001.jpg
https://cdn.ncbi.nlm.nih.gov/pmc/blobs/e0c0/5442327/4c4629399757/fcimb-07-00211-g0002.jpg
https://cdn.ncbi.nlm.nih.gov/pmc/blobs/e0c0/5442327/112d35efe4ab/fcimb-07-00211-g0003.jpg
https://cdn.ncbi.nlm.nih.gov/pmc/blobs/e0c0/5442327/03f8f987b3ee/fcimb-07-00211-g0004.jpg

相似文献

1
Treatment with pCramoll Alone and in Combination with Fluconazole Provides Therapeutic Benefits in Infected Mice.单独使用相思豆毒素(pCramoll)以及与氟康唑联合使用对感染小鼠具有治疗益处。
Front Cell Infect Microbiol. 2017 May 24;7:211. doi: 10.3389/fcimb.2017.00211. eCollection 2017.
2
Influenza A Virus as a Predisposing Factor for Cryptococcosis.甲型流感病毒作为隐球菌病的一个诱发因素。
Front Cell Infect Microbiol. 2017 Sep 26;7:419. doi: 10.3389/fcimb.2017.00419. eCollection 2017.
3
A subdose of fluconazole alters the virulence of Cryptococcus gattii during murine cryptococcosis and modulates type I interferon expression.氟康唑的亚剂量会改变加氏隐球菌在小鼠隐球菌病期间的毒力,并调节I型干扰素的表达。
Med Mycol. 2017 Feb 1;55(2):203-212. doi: 10.1093/mmy/myw056. Epub 2016 Aug 2.
4
Fluconazole alters the polysaccharide capsule of Cryptococcus gattii and leads to distinct behaviors in murine Cryptococcosis.氟康唑会改变加氏隐球菌的多糖荚膜,并在小鼠隐球菌病中导致不同的表现。
PLoS One. 2014 Nov 13;9(11):e112669. doi: 10.1371/journal.pone.0112669. eCollection 2014.
5
Atorvastatin as a promising anticryptococcal agent.阿托伐他汀作为一种有前途的抗隐球菌药物。
Int J Antimicrob Agents. 2017 Jun;49(6):695-702. doi: 10.1016/j.ijantimicag.2017.04.005. Epub 2017 Apr 24.
6
Pharmacokinetics/pharmacodynamic correlations of fluconazole in murine model of cryptococcosis.氟康唑在隐球菌病小鼠模型中的药代动力学/药效学相关性
Eur J Pharm Sci. 2016 Sep 20;92:235-43. doi: 10.1016/j.ejps.2016.05.022. Epub 2016 May 25.
7
Curcumin enhances the activity of fluconazole against Cryptococcus gattii-induced cryptococcosis infection in mice.姜黄素可增强氟康唑对小鼠由加氏隐球菌引起的隐球菌病感染的活性。
J Appl Microbiol. 2016 Jan;120(1):41-8. doi: 10.1111/jam.12966. Epub 2015 Dec 8.
8
In vitro and in vivo antifungal activities of T-2307, a novel arylamidine, against Cryptococcus gattii: an emerging fungal pathogen.新型芳脒T-2307对新型隐球菌(一种新出现的真菌病原体)的体外和体内抗真菌活性
J Antimicrob Chemother. 2017 Jun 1;72(6):1709-1713. doi: 10.1093/jac/dkx020.
9
High-dose fluconazole in combination with amphotericin B is more efficient than monotherapy in murine model of cryptococcosis.氟康唑大剂量联合两性霉素 B 比单药治疗更有效在隐球菌病的小鼠模型。
Sci Rep. 2017 Jul 5;7(1):4661. doi: 10.1038/s41598-017-04588-7.
10
Interferon-γ promotes phagocytosis of Cryptococcus neoformans but not Cryptococcus gattii by murine macrophages.γ干扰素可促进小鼠巨噬细胞对新型隐球菌的吞噬作用,但对格特隐球菌无此作用。
J Infect Chemother. 2015 Dec;21(12):831-6. doi: 10.1016/j.jiac.2015.08.001. Epub 2015 Oct 23.

引用本文的文献

1
Can Plant Lectins Help to Elucidate Insect Lectin-Mediated Immune Response?植物凝集素能否有助于阐明昆虫凝集素介导的免疫反应?
Insects. 2021 May 27;12(6):497. doi: 10.3390/insects12060497.
2
Schinus terebinthifolia leaf lectin (SteLL) has anti-infective action and modulates the response of Staphylococcus aureus-infected macrophages.巴西番樱桃叶凝集素(SteLL)具有抗感染作用,并调节金黄色葡萄球菌感染的巨噬细胞的反应。
Sci Rep. 2019 Dec 3;9(1):18159. doi: 10.1038/s41598-019-54616-x.
3
Structure-function and application of plant lectins in disease biology and immunity.

本文引用的文献

1
Lectins from (ScLL) and (ArtinM) Are Able to Induce Beneficial Immunomodulatory Effects in a Murine Model for Treatment of Infection.来自[物种名称1](ScLL)和[物种名称2](ArtinM)的凝集素能够在小鼠治疗[感染类型]感染的模型中诱导有益的免疫调节作用。
Front Cell Infect Microbiol. 2016 Nov 25;6:164. doi: 10.3389/fcimb.2016.00164. eCollection 2016.
2
Evaluation of antifungal combination against Cryptococcus spp.针对新型隐球菌属的抗真菌联合用药评估
Mycoses. 2016 Sep;59(9):585-93. doi: 10.1111/myc.12510. Epub 2016 May 2.
3
The absence of microbiota delays the inflammatory response to Cryptococcus gattii.
植物凝集素的结构-功能及其在疾病生物学和免疫中的应用。
Food Chem Toxicol. 2019 Dec;134:110827. doi: 10.1016/j.fct.2019.110827. Epub 2019 Sep 19.
4
Methodologies for and evaluation of efficacy of antifungal and antibiofilm agents and surface coatings against fungal biofilms.抗真菌和抗生物膜剂以及表面涂层针对真菌生物膜的作用方法及疗效评估
Microb Cell. 2018 Jun 14;5(7):300-326. doi: 10.15698/mic2018.07.638.
5
Targeting the Immune System with Plant Lectins to Combat Microbial Infections.利用植物凝集素靶向免疫系统以对抗微生物感染。
Front Pharmacol. 2017 Oct 4;8:671. doi: 10.3389/fphar.2017.00671. eCollection 2017.
微生物群的缺失会延迟对加氏隐球菌的炎症反应。
Int J Med Microbiol. 2016 Jun;306(4):187-95. doi: 10.1016/j.ijmm.2016.03.010. Epub 2016 Apr 6.
4
DAP12 Inhibits Pulmonary Immune Responses to Cryptococcus neoformans.DAP12抑制肺部对新型隐球菌的免疫反应。
Infect Immun. 2016 May 24;84(6):1879-86. doi: 10.1128/IAI.00222-16. Print 2016 Jun.
5
Cryptococcus and Phagocytes: Complex Interactions that Influence Disease Outcome.隐球菌与吞噬细胞:影响疾病转归的复杂相互作用
Front Microbiol. 2016 Feb 9;7:105. doi: 10.3389/fmicb.2016.00105. eCollection 2016.
6
Genetically Modified Live Attenuated Leishmania donovani Parasites Induce Innate Immunity through Classical Activation of Macrophages That Direct the Th1 Response in Mice.基因改造的减毒活杜氏利什曼原虫寄生虫通过巨噬细胞的经典激活诱导先天性免疫,从而在小鼠中引导Th1反应。
Infect Immun. 2015 Oct;83(10):3800-15. doi: 10.1128/IAI.00184-15. Epub 2015 Jul 13.
7
Heteroresistance to Itraconazole Alters the Morphology and Increases the Virulence of Cryptococcus gattii.对伊曲康唑的异质性耐药改变了加氏隐球菌的形态并增加了其毒力。
Antimicrob Agents Chemother. 2015 Aug;59(8):4600-9. doi: 10.1128/AAC.00466-15. Epub 2015 May 26.
8
Insights into animal and plant lectins with antimicrobial activities.对具有抗菌活性的动植物凝集素的见解。
Molecules. 2015 Jan 5;20(1):519-41. doi: 10.3390/molecules20010519.
9
Immunity to Cryptococcus neoformans and C. gattii during cryptococcosis.隐球菌病期间对新型隐球菌和格特隐球菌的免疫
Fungal Genet Biol. 2015 May;78:76-86. doi: 10.1016/j.fgb.2014.11.006. Epub 2014 Dec 12.
10
Fluconazole alters the polysaccharide capsule of Cryptococcus gattii and leads to distinct behaviors in murine Cryptococcosis.氟康唑会改变加氏隐球菌的多糖荚膜,并在小鼠隐球菌病中导致不同的表现。
PLoS One. 2014 Nov 13;9(11):e112669. doi: 10.1371/journal.pone.0112669. eCollection 2014.