Suppr超能文献

流行性肾病的电子显微镜检查。肾小管基底膜。

Electron microscopy of nephropathia epidemica. Renal tubular basement membrane.

作者信息

Collan Y, Lähdevirta J, Jokinen E J

出版信息

Am J Pathol. 1978 Jul;92(1):167-72.

Abstract

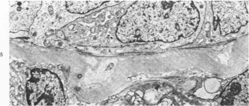
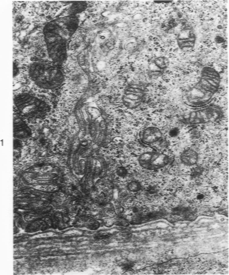
Tubular basement membranes in kidney biopsies from 18 patients with nephropathia epidemica were studied by electron microscopy. Both in the cortex and in the medulla there was splitting of the basement membrane. Thickened basement membrane around occasional tubules contained membrane vesicles, usually empty but also with a core and a diameter of approximately 180 nm. Membranous convoluted structures and light finely fibrillar areas in the basement membranes were seen. Splitting of the basement membrane was most prominent in the medulla, and the membrane was filled with round to oval particles 55 to 470 nm in diameter. Of the possible mechanisms of damage at the basement membrane level in this disease, the findings suggest liberation of antigen from the tubular cells and reaction of circulating antibodies with the antigen in the basement membrane.

摘要

对18例流行性肾病患者肾活检标本的肾小管基底膜进行了电子显微镜研究。皮质和髓质的基底膜均有分裂现象。偶尔可见肾小管周围增厚的基底膜含有膜泡,通常为空泡,但也有含核心、直径约180nm的膜泡。在基底膜中可见膜性卷曲结构和轻度细纤维状区域。基底膜分裂在髓质最为明显,膜内充满直径55至470nm的圆形至椭圆形颗粒。关于该疾病基底膜水平损伤的可能机制,研究结果提示抗原从肾小管细胞释放,循环抗体与基底膜中的抗原发生反应。

https://cdn.ncbi.nlm.nih.gov/pmc/blobs/b7e7/2018600/458e0949cc4a/amjpathol00735-0181-a.jpg

文献检索

告别复杂PubMed语法,用中文像聊天一样搜索,搜遍4000万医学文献。AI智能推荐,让科研检索更轻松。

立即免费搜索

文件翻译

保留排版,准确专业,支持PDF/Word/PPT等文件格式,支持 12+语言互译。

免费翻译文档

深度研究

AI帮你快速写综述,25分钟生成高质量综述,智能提取关键信息,辅助科研写作。

立即免费体验