Wang Lian, Pan Saibo, Wu Ming
Department of Thoracic Surgery, the Second Affiliated Hospital, Zhejiang University School of Medicine, Hangzhou, China.
Medicine (Baltimore). 2017 Jul;96(27):e7449. doi: 10.1097/MD.0000000000007449.
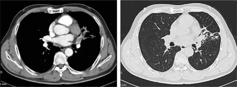
Video-assisted thoracoscopic sleeve lobectomy is safe and feasible for lung cancer. We describe a case of video-assisted thoracoscopic sleeve lobectomy via a novel single intercostal space (SIC) three-port approach.
This case demonstrates that a SIC three-port thoracoscopic approach is effective in sleeve lobectomy, and possesses potential advantages in perioperative pain management and rehabilitation.
电视辅助胸腔镜袖状肺叶切除术对于肺癌是安全可行的。我们描述了一例通过一种新型单肋间三孔法进行电视辅助胸腔镜袖状肺叶切除术的病例。
该病例表明单肋间三孔胸腔镜手术方法在袖状肺叶切除术中是有效的,并且在围手术期疼痛管理和康复方面具有潜在优势。