Suppr超能文献

基于 John 方程的一致性条件和在环形轨迹锥束 CT 中的投影损毁恢复。

John's Equation-based Consistency Condition and Corrupted Projection Restoration in Circular Trajectory Cone Beam CT.

机构信息

School of Biomedical Engineering, Southern Medical University, Guangzhou, 510515, China.

Cyber Medical Corporation, Xi'an, 710000, China.

出版信息

Sci Rep. 2017 Jul 7;7(1):4920. doi: 10.1038/s41598-017-05249-5.

Abstract

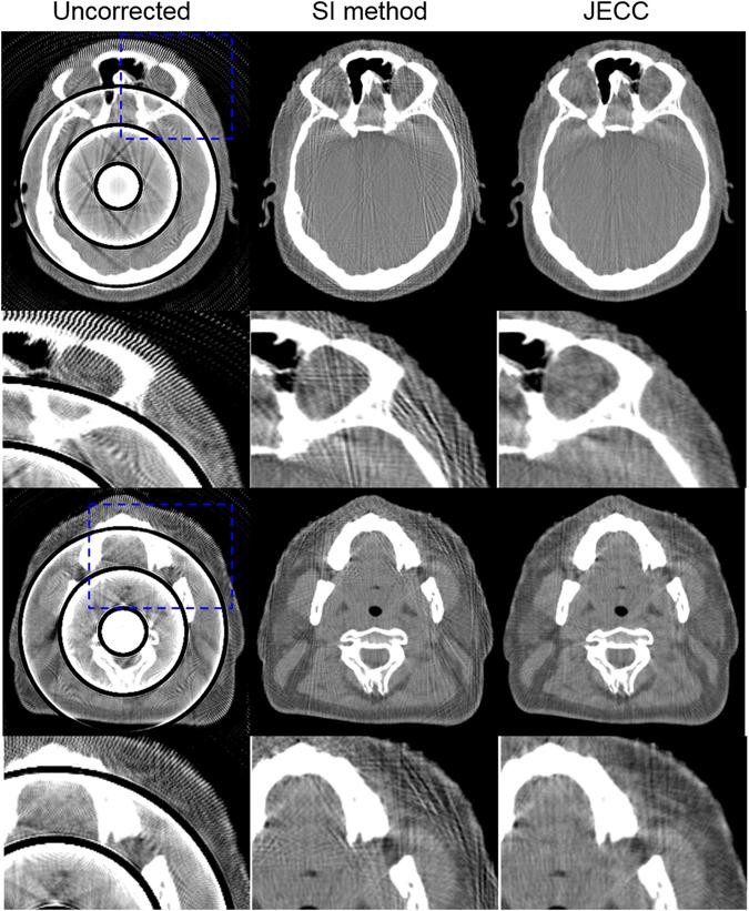
In transmitted X-ray tomography imaging, the acquired projections may be corrupted for various reasons, such as defective detector cells and beam-stop array scatter correction problems. In this study, we derive a consistency condition for cone-beam projections and propose a method to restore lost data in corrupted projections. In particular, the relationship of the geometry parameters in circular trajectory cone-beam computed tomography (CBCT) is utilized to convert an ultra-hyperbolic partial differential equation (PDE) into a second-order PDE. The second-order PDE is then transformed into a first-order ordinary differential equation in the frequency domain. The left side of the equation for the newly derived consistency condition is the projection derivative of the current and adjacent views, whereas the right side is the projection derivative of the geometry parameters. A projection restoration method is established based on the newly derived equation to restore corrupted data in projections in circular trajectory CBCT. The proposed method is tested in beam-stop array scatter correction, metal artifact reduction, and abnormal pixel correction cases to evaluate the performance of the consistency condition and corrupted projection restoration method. Qualitative and quantitative results demonstrate that the present method has considerable potential in restoring lost data in corrupted projections.

摘要

在透射 X 射线断层成像中,由于探测器单元损坏和射束挡块阵列散射校正问题等各种原因,采集的投影可能会受到损坏。在本研究中,我们推导出了锥束投影的一致性条件,并提出了一种在损坏的投影中恢复丢失数据的方法。具体来说,我们利用圆轨迹锥束计算机断层扫描(CBCT)中的几何参数关系,将超双曲型偏微分方程(PDE)转换为二阶 PDE。然后,二阶 PDE 在频域中转换为一阶常微分方程。新推导的一致性条件方程的左侧是当前和相邻视图的投影导数,而右侧是几何参数的投影导数。基于新推导的方程,建立了一种投影恢复方法,用于恢复圆轨迹 CBCT 中投影中的损坏数据。该方法在射束挡块阵列散射校正、金属伪影减少和异常像素校正情况下进行了测试,以评估一致性条件和损坏投影恢复方法的性能。定性和定量结果表明,该方法在恢复损坏投影中的丢失数据方面具有很大的潜力。

https://cdn.ncbi.nlm.nih.gov/pmc/blobs/f0fc/5501796/4238e531df26/41598_2017_5249_Fig1_HTML.jpg

文献AI研究员

20分钟写一篇综述,助力文献阅读效率提升50倍。

立即体验

用中文搜PubMed

大模型驱动的PubMed中文搜索引擎

马上搜索

文档翻译

学术文献翻译模型,支持多种主流文档格式。

立即体验