Suppr超能文献

基质辅助激光解吸电离飞行时间质谱法作为一种新型工具,用于估计肝组织样本的死后间隔时间。

MALDI-TOF MS as a Novel Tool for the Estimation of Postmortem Interval in Liver Tissue Samples.

机构信息

School of Forensic Science and Medicine, Xi'an Jiaotong University, Xi'an, 710061, China.

Shanghai Key Laboratory of Forensic Medicine, Shanghai Forensic Service Platform, Institute of Forensic Science, Ministry of Justice, P.R.China, Shanghai, 200063, China.

出版信息

Sci Rep. 2017 Jul 7;7(1):4887. doi: 10.1038/s41598-017-05216-0.

Abstract

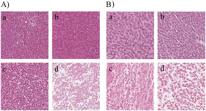
Estimation of the postmortem interval (PMI) is a complicated task in forensic medicine, especially during homicide and unwitnessed death investigations. Many biological, chemical, and physical indicators can be used to determine the postmortem interval, but most are not accurate. Here, we present a novel matrix-assisted laser desorption/ionization time-of-flight mass spectrometry (MALDI-TOF MS) method that can be used for the estimation of PMI using molecular images and multivariate analyses. In this study, we demonstrate that both rat and human liver tissues of various PMIs (0, 2, 4, and 6days) can be discriminated using MALDI imaging and principal component analysis (PCA). Using genetic algorithm (GA), supervised neural network (SNN), and quick classifier (QC) methods, we built 6 classification models, which showed high recognition capability and good cross-validation. The histological changes in all the samples at different time points were also consistent with the changes seen in MALDI imaging. Our work suggests that MALDI-TOF MS, along with multivariate analysis, can be used to determine intermediate PMIs.

摘要

死后间隔时间(PMI)的估计是法医学中的一项复杂任务,尤其是在涉及凶杀和无人见证的死亡调查时。许多生物、化学和物理指标可用于确定死后间隔时间,但大多数都不够准确。在这里,我们提出了一种新的基质辅助激光解吸/电离飞行时间质谱(MALDI-TOF MS)方法,可用于通过分子图像和多元分析来估计 PMI。在这项研究中,我们证明了 MALDI 成像和主成分分析(PCA)可以区分不同 PMI(0、2、4 和 6 天)的大鼠和人肝组织。使用遗传算法(GA)、监督神经网络(SNN)和快速分类器(QC)方法,我们构建了 6 个分类模型,这些模型表现出了很高的识别能力和良好的交叉验证效果。所有样本在不同时间点的组织学变化也与 MALDI 成像中观察到的变化一致。我们的工作表明,MALDI-TOF MS 结合多元分析可用于确定中间 PMI。

https://cdn.ncbi.nlm.nih.gov/pmc/blobs/a7e4/5501804/ed4f793d66d5/41598_2017_5216_Fig1_HTML.jpg

文献AI研究员

20分钟写一篇综述,助力文献阅读效率提升50倍。

立即体验

用中文搜PubMed

大模型驱动的PubMed中文搜索引擎

马上搜索

文档翻译

学术文献翻译模型,支持多种主流文档格式。

立即体验