Suppr超能文献

煤矿粉尘脱屑性慢性间质性肺炎:粉尘相关弥漫性纤维化和肺气肿的先兆

Coal Mine Dust Desquamative Chronic Interstitial Pneumonia: A Precursor of Dust-Related Diffuse Fibrosis and of Emphysema.

作者信息

Jelic Tomislav M, Estalilla Oscar C, Sawyer-Kaplan Phyllis R, Plata Milton J, Powers Jeremy T, Emmett Mary, Kuenstner John T

机构信息

Department of Pathology and Laboratory Medicine, Charleston Area Medical Center, Charleston, 3200 MacCorkle Ave, Charleston WV 25304, USA.

Charleston Area Medical Center Health Education and Research Institute, Center for Health Services and Outcomes Research, 3200 MacCorkle Ave, Charleston WV 25304, USA.

出版信息

Int J Occup Environ Med. 2017 Jul;8(3):153-165. doi: 10.15171/ijoem.2017.1066.

Abstract

BACKGROUND

Diseases associated with coal mine dust continue to affect coal miners. Elucidation of initial pathological changes as a precursor of coal dust-related diffuse fibrosis and emphysema, may have a role in treatment and prevention.

OBJECTIVE

To identify the precursor of dust-related diffuse fibrosis and emphysema.

METHODS

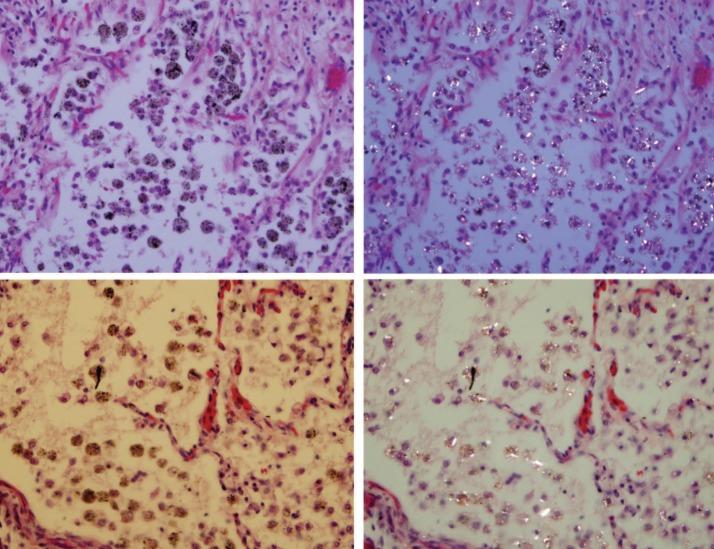
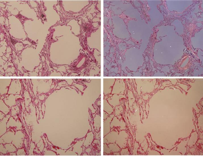
Birefringent silica/silicate particles were counted by standard microscope under polarized light in the alveolar macrophages and fibrous tissue in 25 consecutive autopsy cases of complicated coal worker's pneumoconiosis and in 21 patients with tobacco-related respiratory bronchiolitis.

RESULTS

Coal miners had 331 birefringent particles/high power field while smokers had 4 (p<0.001). Every coal miner had intra-alveolar macrophages with silica/silicate particles and interstitial fibrosis ranging from minimal to extreme. All coal miners, including those who never smoked, had emphysema. Fibrotic septa of centrilobular emphysema contained numerous silica/silicate particles while only a few were present in adjacent normal lung tissue. In coal miners who smoked, tobacco-associated interstitial fibrosis was replaced by fibrosis caused by silica/silicate particles.

CONCLUSION

The presence of silica/silicate particles and anthracotic pigment-laden macrophages inside the alveoli with various degrees of interstitial fibrosis indicated a new disease: coal mine dust desquamative chronic interstitial pneumonia, a precursor of both dust-related diffuse fibrosis and emphysema. In studied coal miners, fibrosis caused by smoking is insignificant in comparison with fibrosis caused by silica/silicate particles. Counting birefringent particles in the macrophages from bronchioalveolar lavage may help detect coal mine dust desquamative chronic interstitial pneumonia, and may initiate early therapy and preventive measures.

摘要

背景

与煤矿粉尘相关的疾病持续影响着煤矿工人。阐明作为煤尘相关弥漫性纤维化和肺气肿先兆的初始病理变化,可能在治疗和预防中发挥作用。

目的

确定粉尘相关弥漫性纤维化和肺气肿的先兆。

方法

在25例连续尸检的复杂煤工尘肺病例以及21例与烟草相关的呼吸性细支气管炎患者的肺泡巨噬细胞和纤维组织中,通过偏光显微镜对双折射二氧化硅/硅酸盐颗粒进行计数。

结果

煤矿工人每高倍视野有331个双折射颗粒,而吸烟者每高倍视野有4个(p<0.001)。每位煤矿工人的肺泡内巨噬细胞均含有二氧化硅/硅酸盐颗粒,且存在程度不一的间质纤维化。所有煤矿工人,包括从不吸烟的工人,均患有肺气肿。小叶中心型肺气肿的纤维间隔含有大量二氧化硅/硅酸盐颗粒,而相邻正常肺组织中仅存在少量颗粒。在吸烟的煤矿工人中,与烟草相关的间质纤维化被二氧化硅/硅酸盐颗粒所致的纤维化所取代。

结论

肺泡内存在二氧化硅/硅酸盐颗粒以及含煤尘色素的巨噬细胞,并伴有不同程度的间质纤维化,提示一种新的疾病:煤矿粉尘脱屑性慢性间质性肺炎,它是粉尘相关弥漫性纤维化和肺气肿的先兆。在所研究的煤矿工人中,与二氧化硅/硅酸盐颗粒所致的纤维化相比,吸烟所致的纤维化不明显。对支气管肺泡灌洗巨噬细胞中的双折射颗粒进行计数,可能有助于检测煤矿粉尘脱屑性慢性间质性肺炎,并可启动早期治疗和预防措施。

https://cdn.ncbi.nlm.nih.gov/pmc/blobs/9adf/6679630/8d470952962b/ijoem-8-153-g001.jpg

相似文献

2
Lung Pathology in U.S. Coal Workers with Rapidly Progressive Pneumoconiosis Implicates Silica and Silicates.
Am J Respir Crit Care Med. 2016 Mar 15;193(6):673-80. doi: 10.1164/rccm.201505-1014OC.
3
Pathologic Findings in Severe Coal Workers' Pneumoconiosis in Contemporary US Coal Miners.
Arch Pathol Lab Med. 2024 Jul 1;148(7):805-817. doi: 10.5858/arpa.2022-0491-OA.
4
Lung disease caused by exposure to coal mine and silica dust.
Semin Respir Crit Care Med. 2008 Dec;29(6):651-61. doi: 10.1055/s-0028-1101275. Epub 2009 Feb 16.
6
Coal mine dust lung disease. New lessons from old exposure.
Am J Respir Crit Care Med. 2013 Jun 1;187(11):1178-85. doi: 10.1164/rccm.201301-0042CI.
7
Characterizing Lung Particulates Using Quantitative Microscopy in Coal Miners With Severe Pneumoconiosis.
Arch Pathol Lab Med. 2024 Mar 1;148(3):327-335. doi: 10.5858/arpa.2022-0427-OA.
9
Chronic interstitial pneumonia with honeycombing in coal workers.
Sarcoidosis Vasc Diffuse Lung Dis. 2002 Oct;19(3):211-9.
10
Respiratory disease mortality among US coal miners; results after 37 years of follow-up.
Occup Environ Med. 2014 Jan;71(1):30-9. doi: 10.1136/oemed-2013-101597. Epub 2013 Nov 1.

引用本文的文献

1
Impact of coal mine dust exposure and cigarette smoking on lung disease in Appalachian coalminers.
Respir Res. 2025 May 14;26(1):184. doi: 10.1186/s12931-025-03260-3.
3
Combined Pulmonary Fibrosis and Emphysema: When Scylla and Charybdis Ally.
Cells. 2023 Apr 28;12(9):1278. doi: 10.3390/cells12091278.
4
The impact of coal mine dust characteristics on pathways to respiratory harm: investigating the pneumoconiotic potency of coals.
Environ Geochem Health. 2023 Oct;45(10):7363-7388. doi: 10.1007/s10653-023-01583-y. Epub 2023 May 2.

本文引用的文献

1
Lung Pathology in U.S. Coal Workers with Rapidly Progressive Pneumoconiosis Implicates Silica and Silicates.
Am J Respir Crit Care Med. 2016 Mar 15;193(6):673-80. doi: 10.1164/rccm.201505-1014OC.
2
[The long-term therapeutic effects of silicosis by repeat the whole lung lavage].
Zhonghua Lao Dong Wei Sheng Zhi Ye Bing Za Zhi. 2013 Sep;31(9):681-4.
3
Occupational exposures to respirable crystalline silica during hydraulic fracturing.
J Occup Environ Hyg. 2013;10(7):347-56. doi: 10.1080/15459624.2013.788352.
4
Treatment of acute silicoproteinosis by whole-lung lavage.
Semin Cardiothorac Vasc Anesth. 2013 Jun;17(2):152-9. doi: 10.1177/1089253213486524. Epub 2013 Apr 30.
5
Coal mine dust lung disease. New lessons from old exposure.
Am J Respir Crit Care Med. 2013 Jun 1;187(11):1178-85. doi: 10.1164/rccm.201301-0042CI.
6
[Long-term therapeutic effects of whole lung lavage in the management of silicosis].
Zhonghua Lao Dong Wei Sheng Zhi Ye Bing Za Zhi. 2012 Sep;30(9):690-3.
7
8
Combined pulmonary fibrosis and emphysema syndrome: a review.
Chest. 2012 Jan;141(1):222-231. doi: 10.1378/chest.11-1062.
9
Silicosis in denim sandblasters.
Chest. 2011 Nov;140(5):1300-1304. doi: 10.1378/chest.10-1856. Epub 2011 May 5.
10
Emphysema and chronic obstructive pulmonary disease in coal miners.
Curr Opin Pulm Med. 2011 Mar;17(2):123-5. doi: 10.1097/MCP.0b013e3283431674.

文献AI研究员

20分钟写一篇综述,助力文献阅读效率提升50倍。

立即体验

用中文搜PubMed

大模型驱动的PubMed中文搜索引擎

马上搜索

文档翻译

学术文献翻译模型,支持多种主流文档格式。

立即体验