Suppr超能文献

伴有食管支气管瘘和支气管结石症的硅肺结核:一例报告

Silicotuberculosis with oesophagobronchial fistulas and broncholithiasis: a case report.

作者信息

Zhang Hua, Li Li, Xiao Hua, Sun Xiao-Wei, Wang Zhan, Zhang Chun-Ling

机构信息

1 Department of Respiratory Medicine, Qilu Hospital of Shandong University, Jinan, China.

3 Department of Occupational Disease, Qingdao Central Hospital, Shandong, China.

出版信息

J Int Med Res. 2018 Feb;46(2):612-618. doi: 10.1177/0300060516680440. Epub 2017 Jan 12.

Abstract

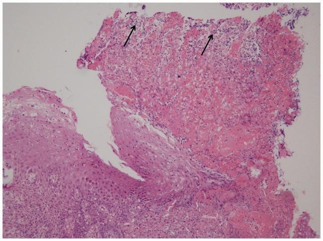
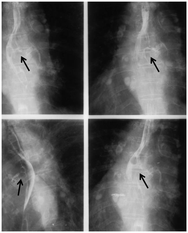
A 76-year-old woman was admitted to the hospital four times from November 2007 to June 2009. In this complex case, the patient had silicosis complicated by broncholithiasis, oesophagobronchial fistulas, and relapsed tuberculosis. She had worked as a stone crusher for 3 years and was exposed to a large amount of quartz dust. Barium oesophagography, gastroesophageal endoscopy, and biopsy suggested oesophageal-related chronic inflammation and ulceration, which may have caused the repeated oesophagobronchial fistulas. Bronchoscopy revealed a free broncholithiasis in the left mainstem bronchus. The patient was admitted a fourth time because of silicotuberculosis relapse. After 9 months of antituberculosis treatment, the patient recovered and was still clinically well at the time of this writing.

摘要

一名76岁女性在2007年11月至2009年6月期间4次入院。在这个复杂病例中,患者患有矽肺,并发支气管结石、食管支气管瘘和复发性肺结核。她曾做过3年碎石工,接触过大量石英粉尘。食管钡餐造影、胃食管内镜检查及活检提示食管相关慢性炎症和溃疡,这可能是反复发生食管支气管瘘的原因。支气管镜检查发现左主支气管有一枚游离的支气管结石。患者因矽肺结核复发第4次入院。经过9个月的抗结核治疗,患者康复,在撰写本文时临床状况仍良好。

https://cdn.ncbi.nlm.nih.gov/pmc/blobs/9e3c/5971486/1f0411446bdd/10.1177_0300060516680440-fig1.jpg

文献AI研究员

20分钟写一篇综述,助力文献阅读效率提升50倍。

立即体验

用中文搜PubMed

大模型驱动的PubMed中文搜索引擎

马上搜索

文档翻译

学术文献翻译模型,支持多种主流文档格式。

立即体验