Department of Medicine, Division of Hematology/Oncology, The University of Arizona, 1501 N Campbell Ave, Tucson, AZ, 85724, USA.
The University of Arizona Cancer Center, Suite 2912, 1515 N Campbell Ave, Tucson, AZ, 85724, USA.
J Immunother Cancer. 2017 Jul 18;5(1):58. doi: 10.1186/s40425-017-0263-0.
Angiosarcomas are tumors of malignant endothelial origin that have a poor prognosis with a five-year survival of less than 40%. These tumors can be found in all age groups, but are more common in older patients; with the cutaneous form most common in older white men. Combined modality therapy including surgery and radiation appears to have a better outcome than each modality alone. When metastatic, agents such as liposomal doxorubicin, paclitaxel and ifosfamide have activity but it is short-lived and not curative. Immunotherapy targeting either the PD-1 receptor or PD-L1 ligand has recently been shown to have activity in multiple cancers including melanoma, renal, and non-small lung cancer. Although these agents have been used in sarcoma therapy, their ability to treat angiosarcoma has not been reported.
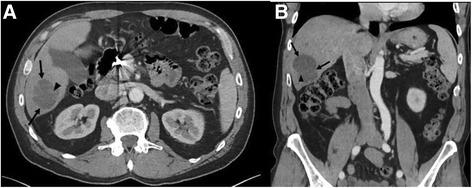
Here we describe the case of a 63-year-old man who presented initially with angiosarcoma of the nose and received surgery for the primary. Over 4 years he had recurrent disease in the face and liver and was treated with nab-paclitaxel, surgery, and radioembolization, but continued to have progressive disease. His tumor was found to express PD-L1 and he received off-label pembrolizumab 2 mg/kg every 21 days for 13 cycles with marked shrinkage of his liver disease and no new facial lesions. Secondary to this therapy he developed hepatitis and has been treated with decreasing doses of prednisone. During the 8 months off therapy he has developed no new or progressive lesions.
Although occasional responses to immunotherapy have been reported for sarcomas, this case report demonstrates that angiosarcoma can express PD-L1 and have a sustained response to PD-1 directed therapy.
血管肉瘤是一种恶性内皮来源的肿瘤,其五年生存率低于 40%。这些肿瘤可发生于所有年龄段,但多见于老年患者;皮肤型血管肉瘤多见于老年白人男性。包括手术和放疗在内的联合治疗模式似乎比单一模式的疗效更好。当发生转移时,阿霉素脂质体、紫杉醇和异环磷酰胺等药物具有一定的活性,但持续时间短,无法治愈。针对 PD-1 受体或 PD-L1 配体的免疫疗法最近已被证明在多种癌症中具有活性,包括黑色素瘤、肾细胞癌和非小细胞肺癌。尽管这些药物已被用于肉瘤治疗,但尚未有报道其治疗血管肉瘤的能力。
本例患者为 63 岁男性,最初表现为鼻血管肉瘤,接受了原发性肿瘤切除术。4 年多来,他面部和肝脏反复出现疾病,并接受了nab-紫杉醇、手术和放射栓塞治疗,但疾病仍持续进展。他的肿瘤表达 PD-L1,接受了非适应证的帕博利珠单抗(2mg/kg,每 21 天一次)治疗 13 个周期,肝脏疾病显著缩小,且未出现新的面部病变。由于该治疗,他发生了肝炎,并接受了递减剂量的泼尼松治疗。停药 8 个月期间,未出现新的或进展性病变。
尽管免疫治疗偶尔会对肉瘤产生反应,但本例报告表明血管肉瘤可以表达 PD-L1,并对 PD-1 靶向治疗有持续反应。