Chou Jen-Wei, Lin Yin-Lan, Cheng Ken-Sheng, Wu Po-Yuan, Reanne Ju Teressa
School of Medicine, China Medical University, Taiwan.
Division of Gastroenterology and Hepatology, Department of Internal Medicine, China Medical University Hospital, Taiwan.
Intern Med. 2017;56(14):1831-1837. doi: 10.2169/internalmedicine.56.7595. Epub 2017 Jul 15.
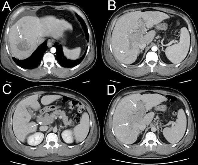
Dermatomyositis or polymyositis as a paraneoplastic syndrome of hepatocellular carcinoma (HCC) is an uncommon event. Few cases have been reported in the literature. We herein report the case of a 55-year-old man with chronic hepatitis B and alcoholism who presented with skin rash. Abdominal computed tomography revealed multiple hypervascular liver tumors consistent with HCC. He subsequently developed dysphagia with proximal limb weakness. Laboratory tests and electromyography demonstrated inflammatory myopathy. We therefore diagnosed the patient with HCC-induced dermatomyositis. Prednisolone and anti-viral therapy were administered; however, the patient died two months later due to the progression of the disease. We review the cases of HCC-induced dermatomyositis and polymyositis in the literature.
皮肌炎或多肌炎作为肝细胞癌(HCC)的副肿瘤综合征是一种罕见事件。文献中报道的病例很少。我们在此报告一例55岁患有慢性乙型肝炎和酒精中毒的男性患者,其出现皮疹。腹部计算机断层扫描显示多个与HCC一致的高血供肝脏肿瘤。随后他出现吞咽困难并伴有近端肢体无力。实验室检查和肌电图显示为炎性肌病。因此,我们诊断该患者为HCC诱发的皮肌炎。给予泼尼松龙和抗病毒治疗;然而,患者两个月后因疾病进展死亡。我们回顾了文献中HCC诱发的皮肌炎和多肌炎病例。