Suppr超能文献

经病理证实的IgG4相关性腹膜后纤维化自发缓解

Pathologically Proven Spontaneous Remission of IgG4-related Retroperitoneal Fibrosis.

作者信息

Yamakawa Hideaki, Sekine Akimasa, Yamanaka Yumie, Sadoyama Shinko, Baba Tomohisa, Hagiwara Eri, Okudela Koji, Ogura Takashi

机构信息

Department of Respiratory Medicine, Kanagawa Cardiovascular and Respiratory Center, Japan.

Department of Respiratory Medicine, Tokyo Jikei University Hospital, Japan.

出版信息

Intern Med. 2017;56(14):1867-1871. doi: 10.2169/internalmedicine.56.7996. Epub 2017 Jul 15.

Abstract

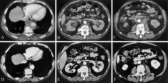
Some forms of idiopathic retroperitoneal fibrosis (RF) have recently been considered to be a part of the spectrum of immunoglobulin G4 (IgG4)-related disease. This case report is the first description of a spontaneous remission in a patient with pathologically proven IgG4-related RF. Although the pathogenesis and long-term disease behavior of IgG4-related RF remains unknown, we believe that an initial assessment consisting of only careful monitoring might be one important strategy, especially in asymptomatic IgG4-related RF patients without nephropathy, while carefully monitoring these patients for the risk of recurrence.

摘要

某些形式的特发性腹膜后纤维化(RF)最近被认为是免疫球蛋白G4(IgG4)相关疾病谱的一部分。本病例报告首次描述了一例经病理证实的IgG4相关RF患者的自发缓解情况。尽管IgG4相关RF的发病机制和疾病长期行为尚不清楚,但我们认为,仅由仔细监测组成的初始评估可能是一种重要策略,尤其是对于没有肾病的无症状IgG4相关RF患者,同时要仔细监测这些患者的复发风险。

https://cdn.ncbi.nlm.nih.gov/pmc/blobs/5fe4/5548681/4dc8d487c220/1349-7235-56-1867-g001.jpg

相似文献

1
Pathologically Proven Spontaneous Remission of IgG4-related Retroperitoneal Fibrosis.
Intern Med. 2017;56(14):1867-1871. doi: 10.2169/internalmedicine.56.7996. Epub 2017 Jul 15.
3
Retroperitoneal fibrosis associated with immunoglobulin G4-related disease.
World J Gastroenterol. 2013 Jan 7;19(1):35-41. doi: 10.3748/wjg.v19.i1.35.
4
Retroperitoneal fibrosis. Steroid treatment response seems to depend on its association to IgG4 related disease.
Med Hypotheses. 2019 Jan;122:120-123. doi: 10.1016/j.mehy.2018.11.005. Epub 2018 Nov 15.
5
Clinical features of 10 patients with IgG4-related retroperitoneal fibrosis.
Intern Med. 2013;52(14):1545-51. doi: 10.2169/internalmedicine.52.0306. Epub 2013 Jul 15.
8
Retroperitoneal and aortic manifestations of immunoglobulin G4-related disease.
Semin Diagn Pathol. 2012 Nov;29(4):212-8. doi: 10.1053/j.semdp.2012.07.003.
9
Evidence for clonal fibroblast proliferation and autoimmune process in idiopathic retroperitoneal fibrosis.
Hum Pathol. 2012 Nov;43(11):1875-80. doi: 10.1016/j.humpath.2012.01.012. Epub 2012 May 4.
10
IgG4-related retroperitoneal fibrosis: a newly characterized disease.
Int J Rheum Dis. 2016 Nov;19(11):1049-1055. doi: 10.1111/1756-185X.12863. Epub 2016 Apr 29.

引用本文的文献

1
Remission of idiopathic retroperitoneal fibrosis by ofatumumab as a disease-modifying therapy for multiple sclerosis.
eNeurologicalSci. 2022 Sep 27;29:100428. doi: 10.1016/j.ensci.2022.100428. eCollection 2022 Dec.
2
IgG4-Related Laryngeal Disease as a Possible Cause of Idiopathic Subglottic Stenosis: A Case Report.
Iran J Otorhinolaryngol. 2021 Mar;33(115):119-125. doi: 10.22038/ijorl.2020.47106.2547.
3
Idiopathic Retroperitoneal Fibrosis Presenting as Low Back Pain.
Cureus. 2019 Feb 14;11(2):e4075. doi: 10.7759/cureus.4075.

本文引用的文献

2
IgG4-related disease.
Annu Rev Pathol. 2014;9:315-47. doi: 10.1146/annurev-pathol-012513-104708. Epub 2013 Oct 2.
3
IgG4-related lung disease.
Am J Respir Crit Care Med. 2013 Sep 1;188(5):527-9. doi: 10.1164/rccm.201306-1121ED.
4
Retroperitoneal fibrosis associated with immunoglobulin G4-related disease.
World J Gastroenterol. 2013 Jan 7;19(1):35-41. doi: 10.3748/wjg.v19.i1.35.
5
Retroperitoneal fibrosis.
Best Pract Res Clin Rheumatol. 2012 Aug;26(4):439-48. doi: 10.1016/j.berh.2012.07.004.
6
The role of IgG4 in cutaneous pathology.
Rom J Morphol Embryol. 2012;53(2):221-31.
7
Consensus statement on the pathology of IgG4-related disease.
Mod Pathol. 2012 Sep;25(9):1181-92. doi: 10.1038/modpathol.2012.72. Epub 2012 May 18.
8
Comprehensive diagnostic criteria for IgG4-related disease (IgG4-RD), 2011.
Mod Rheumatol. 2012 Feb;22(1):21-30. doi: 10.1007/s10165-011-0571-z. Epub 2012 Jan 5.
9
Prednisone versus tamoxifen in patients with idiopathic retroperitoneal fibrosis: an open-label randomised controlled trial.
Lancet. 2011 Jul 23;378(9788):338-46. doi: 10.1016/S0140-6736(11)60934-3. Epub 2011 Jul 4.
10
[A case of IgG4-positive inflammatory pseudotumor which rapidly resolved].
Nihon Kokyuki Gakkai Zasshi. 2011 Mar;49(3):172-7.

文献AI研究员

20分钟写一篇综述,助力文献阅读效率提升50倍。

立即体验

用中文搜PubMed

大模型驱动的PubMed中文搜索引擎

马上搜索

文档翻译

学术文献翻译模型,支持多种主流文档格式。

立即体验