Suppr超能文献

误诊为糖尿病足溃疡的恶性黑色素瘤:一例报告。

Malignant melanoma misdiagnosed as diabetic foot ulcer: A case report.

作者信息

Gao Wei, Chen Dawei, Ran Xingwu

机构信息

Department of Endocrinology and Metabolism Health Management Center Diabetic Foot Care Center, West China Hospital, Sichuan University, Chengdu, Sichuan, China.

出版信息

Medicine (Baltimore). 2017 Jul;96(29):e7541. doi: 10.1097/MD.0000000000007541.

Abstract

RATIONALE

Acral lentiginous melanoma (AML) does not exhibit the classic signs of malignant melanoma. ALM is frequently misdiagnosed because of its unusual sites and atypical clinical morphologies, which lead to poor prognosis.

PATIENT CONCERNS

A female patient aged 78 years was presented to our center with two ulcers on her right foot. Diabetic foot ulcer was considered as the primary diagnosis. The ulcers failed to improve after 2 weeks' therapy.

DIAGNOSES

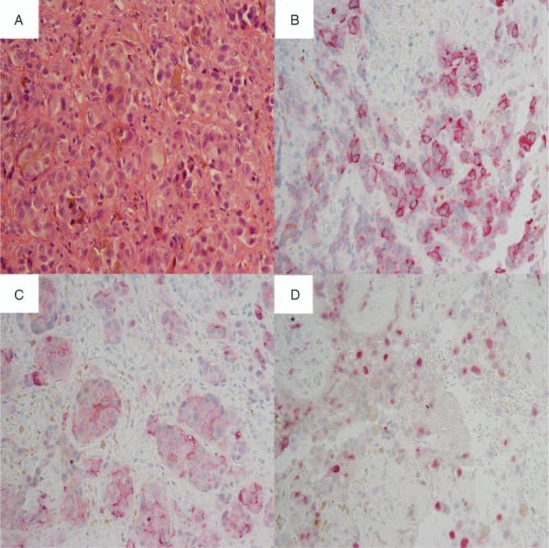
An incisional biopsy of the lesion revealed malignant melanoma.

INTERVENTIONS

The patient received wide excision, skin grafting as well as biotherapy.

OUTCOMES

The lesion was healed and no other metastasis has been founded until now.

LESSONS

Clinicians must maintain a high level of suspicion in distinguishing malignant melanoma from other more benign skin lesions of the foot. The need for early biopsy of ulcer, even when clinical suspicion is low, can not be overemphasized. Only in this way can we reduce misdiagnosis rate and improve survival rate in patients with foot ulcer.

摘要

理论依据

肢端雀斑样痣黑色素瘤(AML)不表现出恶性黑色素瘤的典型体征。由于其不寻常的部位和非典型的临床形态,肢端雀斑样痣黑色素瘤常被误诊,这导致预后不良。

患者情况

一名78岁女性患者因右足两处溃疡就诊于我院。初步诊断为糖尿病足溃疡。经过2周治疗,溃疡未见好转。

诊断

病变组织的切开活检显示为恶性黑色素瘤。

干预措施

患者接受了广泛切除、植皮及生物治疗。

结果

病变愈合,目前未发现其他转移灶。

经验教训

临床医生在鉴别恶性黑色素瘤与足部其他更良性的皮肤病变时必须保持高度怀疑。即使临床怀疑度较低,对溃疡进行早期活检的必要性也再怎么强调都不为过。只有这样,我们才能降低足部溃疡患者的误诊率并提高生存率。

https://cdn.ncbi.nlm.nih.gov/pmc/blobs/753d/5521911/88e21765d2da/medi-96-e7541-g001.jpg

文献AI研究员

20分钟写一篇综述,助力文献阅读效率提升50倍。

立即体验

用中文搜PubMed

大模型驱动的PubMed中文搜索引擎

马上搜索

文档翻译

学术文献翻译模型,支持多种主流文档格式。

立即体验