Suppr超能文献

同步性原发性肾淋巴瘤与肾细胞癌:同一肾脏内的碰撞瘤

Synchronous Primary Renal Lymphoma and Renal Cell Carcinoma: Collision Tumors in the Same Kidney.

作者信息

Kocher Neil J, Leung Stephan, Sarwani Nabeel E, Warrick Joshua I, Raman Jay D

机构信息

Division of Urology, Department of Surgery, Penn State Health Milton S. Hershey Medical Center, Hershey, Pennsylvania.

Department of Radiology, Penn State Health Milton S. Hershey Medical Center, Hershey, Pennsylvania.

出版信息

J Endourol Case Rep. 2017 Jul 1;3(1):87-89. doi: 10.1089/cren.2017.0055. eCollection 2017.

Abstract

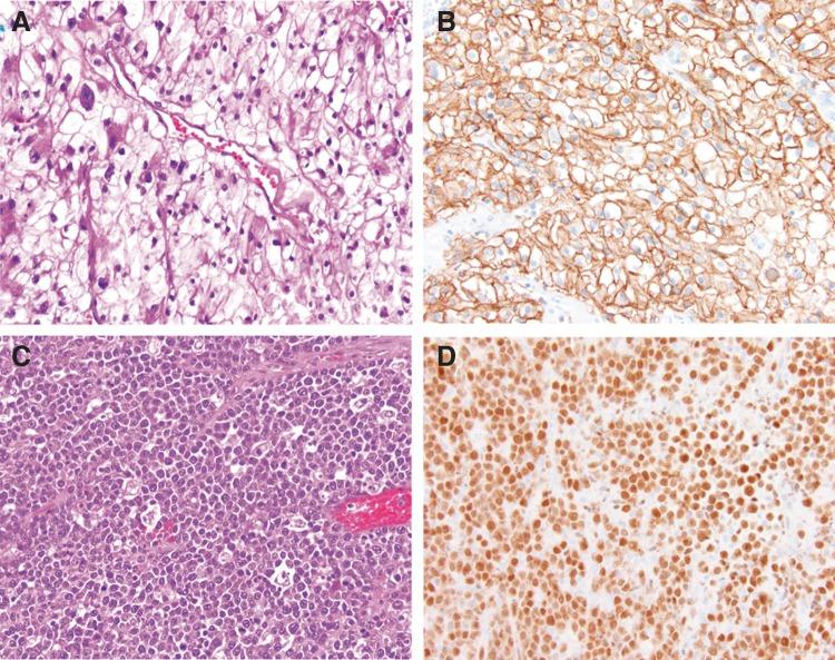
Primary renal lymphoma (PRL) is an exceptionally rare disease with under 50 reported cases in the literature. PRL is an aggressive condition that can present with nonspecific symptoms and local invasion mimicking renal cell carcinoma (RCC). We present an unusual case involving a collision tumor between PRL and RCC. The patient is a 62-year-old immunosuppressed man with an incidental left renal mass on cross-sectional imaging. Renal mass biopsy confirmed clear cell type RCC. He underwent robot-assisted, laparoscopic left radical nephrectomy for presumed RCC without evidence for extrarenal disease or discernable lymphadenopathy. Final pathology revealed a collision tumor, including PRL and RCC. To our knowledge, this is the first reported case within the literature describing a collision tumor between PRL and RCC. Although rare, it is important to consider PRL in the differential diagnosis of a solid renal mass, especially in patients with a prior history of transplantation and/or chronic immunosuppression.

摘要

原发性肾淋巴瘤(PRL)是一种极为罕见的疾病,文献报道的病例不足50例。PRL是一种侵袭性疾病,可表现为非特异性症状和类似肾细胞癌(RCC)的局部浸润。我们报告了一例罕见病例,为PRL与RCC的碰撞瘤。患者为一名62岁的免疫抑制男性,横断面成像偶然发现左肾肿物。肾肿物活检确诊为透明细胞型RCC。他因疑似RCC接受了机器人辅助腹腔镜左肾根治性切除术,未发现肾外疾病或可辨别的淋巴结病证据。最终病理显示为碰撞瘤,包括PRL和RCC。据我们所知,这是文献中首次报道的PRL与RCC碰撞瘤病例。尽管罕见,但在实性肾肿物的鉴别诊断中考虑PRL很重要,尤其是在有移植和/或慢性免疫抑制病史的患者中。

https://cdn.ncbi.nlm.nih.gov/pmc/blobs/edcb/5515098/60a545d2a5ce/fig-1.jpg

文献检索

告别复杂PubMed语法,用中文像聊天一样搜索,搜遍4000万医学文献。AI智能推荐,让科研检索更轻松。

立即免费搜索

文件翻译

保留排版,准确专业,支持PDF/Word/PPT等文件格式,支持 12+语言互译。

免费翻译文档

深度研究

AI帮你快速写综述,25分钟生成高质量综述,智能提取关键信息,辅助科研写作。

立即免费体验