• 文献检索
  • 文档翻译
  • 深度研究
  • 学术资讯
  • Suppr Zotero 插件Zotero 插件
  • 邀请有礼
  • 套餐&价格
  • 历史记录
应用&插件
Suppr Zotero 插件Zotero 插件浏览器插件Mac 客户端Windows 客户端微信小程序
定价
高级版会员购买积分包购买API积分包
服务
文献检索文档翻译深度研究API 文档MCP 服务
关于我们
关于 Suppr公司介绍联系我们用户协议隐私条款
关注我们

Suppr 超能文献

核心技术专利:CN118964589B侵权必究
粤ICP备2023148730 号-1Suppr @ 2026

文献检索

告别复杂PubMed语法,用中文像聊天一样搜索,搜遍4000万医学文献。AI智能推荐,让科研检索更轻松。

立即免费搜索

文件翻译

保留排版,准确专业,支持PDF/Word/PPT等文件格式,支持 12+语言互译。

免费翻译文档

深度研究

AI帮你快速写综述,25分钟生成高质量综述,智能提取关键信息,辅助科研写作。

立即免费体验

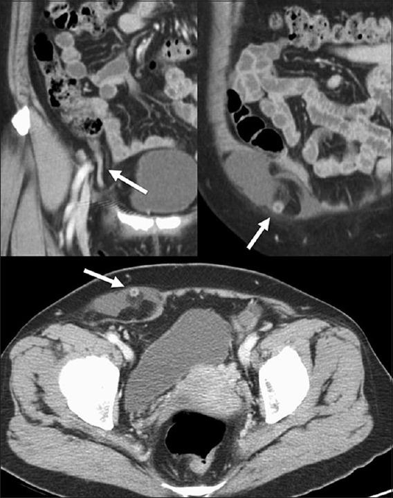
Incarcerated Amyand's hernia.

作者信息

Chiang Ching-Chung, Liu Pang-Hsu, Chou Chih-Pin, Liu Chung-Hsien, Tsai Ming-Jen

机构信息

Department of General Surgery, Ditmanson Medical Foundation Chia-Yi Christian Hospital, Chiayi, Taiwan.

Department of Emergency Medicine, Ditmanson Medical Foundation Chia-Yi Christian Hospital, Chiayi, Taiwan.

出版信息

Tzu Chi Med J. 2017 Apr-Jun;29(2):129-130. doi: 10.4103/tcmj.tcmj_27_17.

DOI:10.4103/tcmj.tcmj_27_17
PMID:28757782
原文链接:https://pmc.ncbi.nlm.nih.gov/articles/PMC5509206/
Abstract
摘要
https://cdn.ncbi.nlm.nih.gov/pmc/blobs/579c/5509206/958fe98910d9/TCMJ-29-129-g002.jpg
https://cdn.ncbi.nlm.nih.gov/pmc/blobs/579c/5509206/29aa2afb49c0/TCMJ-29-129-g001.jpg
https://cdn.ncbi.nlm.nih.gov/pmc/blobs/579c/5509206/958fe98910d9/TCMJ-29-129-g002.jpg
https://cdn.ncbi.nlm.nih.gov/pmc/blobs/579c/5509206/29aa2afb49c0/TCMJ-29-129-g001.jpg
https://cdn.ncbi.nlm.nih.gov/pmc/blobs/579c/5509206/958fe98910d9/TCMJ-29-129-g002.jpg

相似文献

1
Incarcerated Amyand's hernia.嵌顿性艾米安德疝
Tzu Chi Med J. 2017 Apr-Jun;29(2):129-130. doi: 10.4103/tcmj.tcmj_27_17.
2
Left-side incarcerated Amyand's hernia with appendix and caecum provoke by early banana diet: a case report.早期香蕉饮食引发的左侧嵌顿性艾米安德疝伴阑尾和盲肠:一例报告
BMC Gastroenterol. 2021 Apr 13;21(1):165. doi: 10.1186/s12876-021-01752-2.
3
Amyand's hernia containing appendiceal neuroma presenting as incarcerated inguinal hernia: A rare case report from Ethiopia.艾米安德疝合并阑尾神经瘤表现为嵌顿性腹股沟疝:来自埃塞俄比亚的罕见病例报告
Int J Surg Case Rep. 2024 Feb;115:109222. doi: 10.1016/j.ijscr.2024.109222. Epub 2024 Jan 6.
4
Left-sided incarcerated Amyand's hernia with cecum and terminal ileum: a case report.左侧嵌顿性盲肠及回肠末端艾米安德疝:病例报告
Int Med Case Rep J. 2017 Oct 19;10:349-352. doi: 10.2147/IMCRJ.S147177. eCollection 2017.
5
Appendiceal Carcinoid Tumor within Amyand's Hernia: A Case Report and Review of the Literature.艾米安德疝内的阑尾类癌肿瘤:一例报告并文献复习
Turk J Emerg Med. 2019 Feb 12;19(2):73-75. doi: 10.1016/j.tjem.2019.01.004. eCollection 2019 Apr.
6
[Amyand's hernia: a report of two cases and review of the bibliography].[艾米安德疝:两例报告及文献复习]
Cir Cir. 2014 Mar-Apr;82(2):195-9.
7
Amyand's hernia presenting as an unusual inguinal mass: a case report.以罕见腹股沟肿块为表现的艾米安德疝:一例报告
Ann Transl Med. 2017 Sep;5(17):346. doi: 10.21037/atm.2017.06.59.
8
A case report of incarcerated inguinal hernia: Amyand's hernia with adenocarcinoma tumor.嵌顿性腹股沟疝病例报告:伴有腺癌肿瘤的艾米安德疝
Int J Surg Case Rep. 2021 Apr;81:105716. doi: 10.1016/j.ijscr.2021.105716. Epub 2021 Mar 3.
9
Amyand's hernia: a review.Amyand 疝:综述。
Am J Surg. 2014 Jun;207(6):989-95. doi: 10.1016/j.amjsurg.2013.07.043. Epub 2013 Nov 7.
10
Fishbone-Induced Appendicular Perforation: A Rare Case Report of Amyand's Hernia.鱼骨致阑尾穿孔:一例罕见的艾米安德疝病例报告
Cureus. 2023 Apr 8;15(4):e37313. doi: 10.7759/cureus.37313. eCollection 2023 Apr.

本文引用的文献

1
Incarcerated amyand hernia.嵌顿性艾米安德疝
World J Gastrointest Surg. 2015 Mar 27;7(3):47-51. doi: 10.4240/wjgs.v7.i3.47.
2
Left-sided amyand hernia: report of two cases with review of literature.左侧艾米安德疝:两例报告并文献复习
European J Pediatr Surg Rep. 2014 Jun;2(1):63-6. doi: 10.1055/s-0033-1347131. Epub 2013 May 9.
3
Amyand hernia with appendicitis.伴有阑尾炎的艾米疝
Clin Pract. 2011 Apr 22;1(2):e24. doi: 10.4081/cp.2011.e24. eCollection 2011 May 16.
4
Amyand's hernia: a review.艾米安德疝:综述
Med Sci Monit. 2014 Jan 28;20:140-6. doi: 10.12659/MSM.889873.
5
Amyand's hernia: a review.Amyand 疝:综述。
Am J Surg. 2014 Jun;207(6):989-95. doi: 10.1016/j.amjsurg.2013.07.043. Epub 2013 Nov 7.
6
Diagnosis of inguinal region hernias with axial CT: the lateral crescent sign and other key findings.轴向 CT 诊断腹股沟疝:外侧新月征及其他关键表现。
Radiographics. 2011 Mar-Apr;31(2):E1-12. doi: 10.1148/rg.312105129.
7
Amyand hernia: a classification to improve management.艾米安德疝:一种改善治疗的分类方法。
Hernia. 2008 Jun;12(3):325-6. doi: 10.1007/s10029-008-0331-y. Epub 2008 Jan 24.
8
Prosthetic repair of a perforated Amyand's hernia: hazardous or feasible?穿孔性艾米安德疝的假体修复:危险还是可行?
Hernia. 2007 Dec;11(6):551-2; author reply 553-4. doi: 10.1007/s10029-007-0265-9. Epub 2007 Aug 21.