Suppr超能文献

沙特阿拉伯巴氏涂片数据的十一年回顾:我们需要更多关注腺性异常!

Eleven-year review of data on Pap smears in Saudi Arabia: We need more focus on glandular abnormalities!

作者信息

Nasser Haitham, AlAyyaf Mohammad, Atallah Azza, Aminulislam Mohammad, Rizwan Lubna, Aodah Abdulsalam, Alkahtani Yasser, Alshammari Haifa, Alsayed Ahmed, Szpunar Susan

机构信息

Dr. Haitham Nasser, Department of Histopathology,, King Saud Medical City,, Riyadh 11575, T: +966-11-4355555;, F: +966-11-4353045,

出版信息

Ann Saudi Med. 2017 Jul-Aug;37(4):265-271. doi: 10.5144/0256-4947.2017.265.

Abstract

BACKGROUND

We reviewed data from Saudi Arabia on epithelial cell abnormalities (ECA) detected by Pap smear after noticing a slight increase in the incidence of cervical glandular abnormalities in our regional laboratory in recent years.

OBJECTIVE

Clarify data on adenocarcinoma (ADCA) on Pap smears in Saudi Arabia.

DESIGN

Descriptive, retrospective study.

SETTINGS

Regional laboratory, Riyadh.

PATIENTS AND METHODS

We reviewed all Pap smears of adult females between 2006 and 2016 and compared our data with previously published results from Saudi Arabia.

MAIN OUTCOME MEASURE(S): Descriptive data on ECAs.

RESULTS

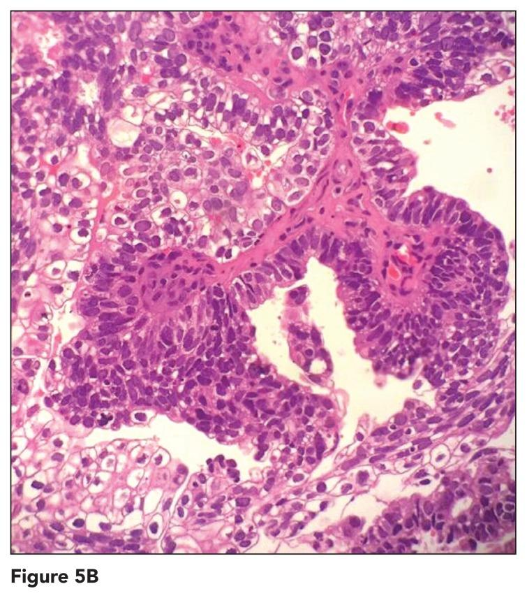
Among 19759 cases, atypical squamous cell of undetermined significance (ASC-US) was the most prevalent ECA (1.16%). ADCA occurred more than squamous cell carcinoma (SCC). In a comparison of published data before 2014 and after 2014 (including ours), there was a significant rise in ADCA (28 vs 48 cases; P=.004) with a significant drop in SCC, high-grade squamous intraepithelial lesions (HSIL) and low-grade squamous intraepithelial lesions (LSIL) (P < .0001, .004, and < .0001, respectively).

CONCLUSION

We recommend that pathologists and cytotechnologists be vigilant in screening Pap smears in our population, particularly for glandular abnormalities. We also recommend use of Pap smears in the initial workup of women with suspected gynecological abnormalities, regardless of evolutions in HPV testing.

LIMITATIONS

The pooling of data instead of analyzing by study year.

摘要

背景

近年来,我们地区实验室检测到宫颈腺上皮异常的发病率略有上升,在此之后,我们回顾了沙特阿拉伯巴氏涂片检测到的上皮细胞异常(ECA)的数据。

目的

明确沙特阿拉伯巴氏涂片腺癌(ADCA)的数据。

设计

描述性回顾性研究。

地点

利雅得地区实验室。

患者和方法

我们回顾了2006年至2016年间成年女性的所有巴氏涂片,并将我们的数据与沙特阿拉伯先前发表的结果进行了比较。

主要观察指标

ECA的描述性数据。

结果

在19759例病例中,意义不明确的非典型鳞状细胞(ASC-US)是最常见的ECA(1.16%)。ADCA的发生率高于鳞状细胞癌(SCC)。在比较2014年之前和2014年之后(包括我们的数据)的已发表数据时,ADCA有显著上升(28例对48例;P = 0.004),而SCC、高级别鳞状上皮内病变(HSIL)和低级别鳞状上皮内病变(LSIL)则显著下降(P分别<0.0001、0.004和<0.0001)。

结论

我们建议病理学家和细胞技术人员在对我们人群的巴氏涂片进行筛查时保持警惕,特别是对于腺上皮异常。我们还建议在对疑似妇科异常的女性进行初步检查时使用巴氏涂片,无论HPV检测有何进展。

局限性

数据汇总而非按研究年份进行分析。

https://cdn.ncbi.nlm.nih.gov/pmc/blobs/db6b/6150586/17da63edff5c/asm-37-4-265-g001a.jpg

相似文献

1
Eleven-year review of data on Pap smears in Saudi Arabia: We need more focus on glandular abnormalities!
Ann Saudi Med. 2017 Jul-Aug;37(4):265-271. doi: 10.5144/0256-4947.2017.265.
4
A Study of Pap Smears in HIV-Positive and HIV-Negative Women from a Tertiary Care Center in South India.
Acta Cytol. 2019;63(1):50-55. doi: 10.1159/000496211. Epub 2019 Feb 5.
5
Implementation of the ThinPrep Imaging System in a tertiary military medical center.
Cancer. 2009 Aug 25;117(4):264-70. doi: 10.1002/cncy.20033.
10
Prevalence and characteristics of abnormal Papanicolaou smear in Central Saudi Arabia.
Saudi Med J. 2015 Jan;36(1):117-22. doi: 10.15537/smj.2015.1.9141.

引用本文的文献

1
Cervical cancer screening: a comparative study of TruScreen vs. Pap Smear.
BMC Womens Health. 2025 Apr 21;25(1):198. doi: 10.1186/s12905-025-03733-z.
2
Prevalence of abnormal pap smears in the western region of Saudi Arabia from 2010 to 2022.
Cytojournal. 2023 Nov 23;20:44. doi: 10.25259/Cytojournal_17_2023. eCollection 2023.
5
Modelling risk assessment for cervical cancer in symptomatic Saudi women.
Saudi Med J. 2019 May;40(5):447-451. doi: 10.15537/smj.2019.5.24085.

本文引用的文献

2
Vaccines against human papillomavirus infections: protection against cancer, genital warts or both?
Clin Microbiol Infect. 2016 Dec 1;22 Suppl 5:S125-S127. doi: 10.1016/j.cmi.2016.12.017.
3
Cost-effectiveness of increasing cervical cancer screening coverage in the Middle East: An example from Lebanon.
Vaccine. 2017 Jan 23;35(4):564-569. doi: 10.1016/j.vaccine.2016.12.015. Epub 2016 Dec 22.
5
Sociodemographic characteristics and sexual behavior as risk factors for human papillomavirus infection in Saudi Arabia.
Int J Infect Dis. 2016 May;46:94-9. doi: 10.1016/j.ijid.2016.04.004. Epub 2016 Apr 7.
7
Prevalence and characteristics of abnormal Papanicolaou smear in Central Saudi Arabia.
Saudi Med J. 2015 Jan;36(1):117-22. doi: 10.15537/smj.2015.1.9141.

文献AI研究员

20分钟写一篇综述,助力文献阅读效率提升50倍。

立即体验

用中文搜PubMed

大模型驱动的PubMed中文搜索引擎

马上搜索

文档翻译

学术文献翻译模型,支持多种主流文档格式。

立即体验