• 文献检索
  • 文档翻译
  • 深度研究
  • 学术资讯
  • Suppr Zotero 插件Zotero 插件
  • 邀请有礼
  • 套餐&价格
  • 历史记录
应用&插件
Suppr Zotero 插件Zotero 插件浏览器插件Mac 客户端Windows 客户端微信小程序
定价
高级版会员购买积分包购买API积分包
服务
文献检索文档翻译深度研究API 文档MCP 服务
关于我们
关于 Suppr公司介绍联系我们用户协议隐私条款
关注我们

Suppr 超能文献

核心技术专利:CN118964589B侵权必究
粤ICP备2023148730 号-1Suppr @ 2026

文献检索

告别复杂PubMed语法,用中文像聊天一样搜索,搜遍4000万医学文献。AI智能推荐,让科研检索更轻松。

立即免费搜索

文件翻译

保留排版,准确专业,支持PDF/Word/PPT等文件格式,支持 12+语言互译。

免费翻译文档

深度研究

AI帮你快速写综述,25分钟生成高质量综述,智能提取关键信息,辅助科研写作。

立即免费体验

Pdx1-Cre 驱动的条件性基因缺失提示 PAK4 对于小鼠胰腺发育不是必需的。

Pdx1-Cre-driven conditional gene depletion suggests PAK4 as dispensable for mouse pancreas development.

机构信息

Department of Biosciences and Nutrition, Karolinska Institutet, Stockholm, Sweden.

Susan Lehman Cullman Laboratory for Cancer Research, Department of Chemical Biology, Ernest Mario School of Pharmacy, Rutgers, The State University of New Jersey, Piscataway, New Jersey, USA.

出版信息

Sci Rep. 2017 Aug 1;7(1):7031. doi: 10.1038/s41598-017-07322-5.

DOI:10.1038/s41598-017-07322-5
PMID:28765528
原文链接:https://pmc.ncbi.nlm.nih.gov/articles/PMC5539201/
Abstract

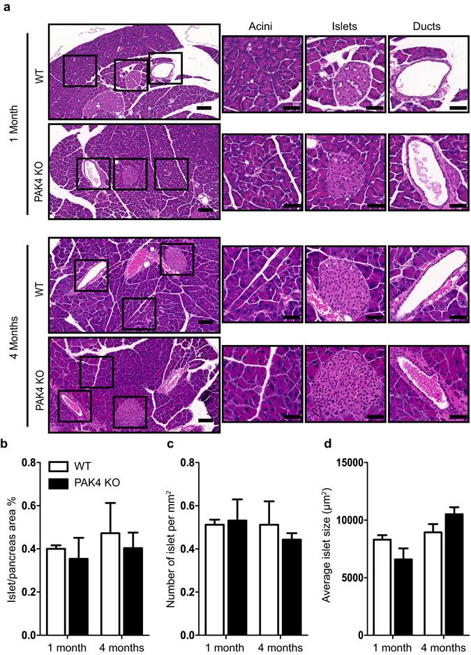
Constitutive depletion of p21-activated kinase 4 (PAK4) in the mouse causes embryonic lethality associated with heart and brain defects. Given that conventional gene depletion of PAK1 or PAK3 caused functional deficits in the mouse pancreas, while gene depletion of PAK5 or PAK6 did not, we asked if PAK4 might have a functional role in pancreas development. We therefore introduced conditional, Pdx1-Cre-mediated, pancreatic PAK4 gene depletion in the mouse, verified by loss of PAK4 protein expression in the pancreas. PAK4 knock-out (KO) mice were born at Mendelian ratios in both genders. Further, morphological and immunohistochemical examinations and quantifications indicated that exocrine, endocrine and ductal compartments retained the normal proportions and distributions upon PAK4 gene depletion. In addition, body weight records and a glucose tolerance test revealed no differences between WT and PAK4 KO mice. Together, this suggests that PAK4 is dispensable for mouse pancreas development. This will facilitate future use of our Pdx1-Cre-driven conditional PAK4 KO mouse model for testing in vivo potential functions of PAK4 in pancreatic disease models such as for pancreatitis and different pancreatic cancer forms.

摘要

在小鼠中组成性耗尽 p21 激活激酶 4(PAK4)会导致胚胎致死,伴有心脏和大脑缺陷。鉴于传统的 PAK1 或 PAK3 基因耗竭会导致小鼠胰腺的功能缺陷,而 PAK5 或 PAK6 基因耗竭不会,我们想知道 PAK4 是否在胰腺发育中具有功能作用。因此,我们在小鼠中引入了条件性、Pdx1-Cre 介导的胰腺 PAK4 基因耗竭,通过胰腺中 PAK4 蛋白表达的丧失来验证。PAK4 敲除(KO)小鼠在两性中均按孟德尔比例出生。此外,形态学和免疫组织化学检查和定量分析表明,在外分泌、内分泌和导管区室中,PAK4 基因耗竭后保留了正常的比例和分布。此外,体重记录和葡萄糖耐量试验显示 WT 和 PAK4 KO 小鼠之间没有差异。综上所述,这表明 PAK4 对于小鼠胰腺的发育不是必需的。这将促进我们使用 Pdx1-Cre 驱动的条件性 PAK4 KO 小鼠模型来测试 PAK4 在胰腺炎和不同胰腺癌形式等胰腺疾病模型中的体内潜在功能。

https://cdn.ncbi.nlm.nih.gov/pmc/blobs/b1dc/5539201/78aa4b38deb5/41598_2017_7322_Fig4_HTML.jpg
https://cdn.ncbi.nlm.nih.gov/pmc/blobs/b1dc/5539201/8894b43330df/41598_2017_7322_Fig1_HTML.jpg
https://cdn.ncbi.nlm.nih.gov/pmc/blobs/b1dc/5539201/48310708942f/41598_2017_7322_Fig2_HTML.jpg
https://cdn.ncbi.nlm.nih.gov/pmc/blobs/b1dc/5539201/50861ce13d79/41598_2017_7322_Fig3_HTML.jpg
https://cdn.ncbi.nlm.nih.gov/pmc/blobs/b1dc/5539201/78aa4b38deb5/41598_2017_7322_Fig4_HTML.jpg
https://cdn.ncbi.nlm.nih.gov/pmc/blobs/b1dc/5539201/8894b43330df/41598_2017_7322_Fig1_HTML.jpg
https://cdn.ncbi.nlm.nih.gov/pmc/blobs/b1dc/5539201/48310708942f/41598_2017_7322_Fig2_HTML.jpg
https://cdn.ncbi.nlm.nih.gov/pmc/blobs/b1dc/5539201/50861ce13d79/41598_2017_7322_Fig3_HTML.jpg
https://cdn.ncbi.nlm.nih.gov/pmc/blobs/b1dc/5539201/78aa4b38deb5/41598_2017_7322_Fig4_HTML.jpg

相似文献

1
Pdx1-Cre-driven conditional gene depletion suggests PAK4 as dispensable for mouse pancreas development.Pdx1-Cre 驱动的条件性基因缺失提示 PAK4 对于小鼠胰腺发育不是必需的。
Sci Rep. 2017 Aug 1;7(1):7031. doi: 10.1038/s41598-017-07322-5.
2
Normal mammary gland development after MMTV-Cre mediated conditional PAK4 gene depletion.MMTV-Cre 介导的条件性 PAK4 基因缺失后乳腺的正常发育。
Sci Rep. 2019 Oct 8;9(1):14436. doi: 10.1038/s41598-019-50819-4.
3
Inhibition of P21-activated kinases 1 and 4 synergistically suppresses the growth of pancreatic cancer by stimulating anti-tumour immunity.抑制 P21 激活激酶 1 和 4 协同作用通过刺激抗肿瘤免疫来抑制胰腺癌的生长。
Cell Commun Signal. 2024 May 27;22(1):287. doi: 10.1186/s12964-024-01670-2.
4
A key role for Pak4 in proliferation and differentiation of neural progenitor cells.Pak4 在神经祖细胞的增殖和分化中起关键作用。
Dev Biol. 2011 May 15;353(2):206-16. doi: 10.1016/j.ydbio.2011.02.026. Epub 2011 Mar 4.
5
Differential roles and regulation of the protein kinases PAK4, PAK5 and PAK6 in melanoma cells.蛋白激酶 PAK4、PAK5 和 PAK6 在黑色素瘤细胞中的差异作用和调控。
Biochem J. 2022 Aug 31;479(16):1709-1725. doi: 10.1042/BCJ20220184.
6
Wnt/beta-catenin signaling is required for development of the exocrine pancreas.Wnt/β-连环蛋白信号通路是外分泌胰腺发育所必需的。
BMC Dev Biol. 2007 Jan 12;7:4. doi: 10.1186/1471-213X-7-4.
7
The homeodomain protein PDX1 is required at mid-pancreatic development for the formation of the exocrine pancreas.同源结构域蛋白PDX1在胰腺发育中期对于外分泌胰腺的形成是必需的。
Dev Biol. 2005 Oct 1;286(1):225-37. doi: 10.1016/j.ydbio.2005.07.026.
8
Functional deficits in PAK5, PAK6 and PAK5/PAK6 knockout mice.PAK5、PAK6 和 PAK5/PAK6 基因敲除小鼠的功能缺陷。
PLoS One. 2013 Apr 8;8(4):e61321. doi: 10.1371/journal.pone.0061321. Print 2013.
9
Rbp-j regulates expansion of pancreatic epithelial cells and their differentiation into exocrine cells during mouse development.在小鼠发育过程中,Rbp - j调节胰腺上皮细胞的增殖及其向外分泌细胞的分化。
Dev Dyn. 2007 Oct;236(10):2779-91. doi: 10.1002/dvdy.21310.
10
Pdx1- and Ngn3-Cre-mediated PLAG1 expression in the pancreas leads to endocrine hormone imbalances that affect glucose metabolism.Pdx1- 和 Ngn3-Cre 介导的胰腺中 PLAG1 的表达导致影响葡萄糖代谢的内分泌激素失衡。
Cell Transplant. 2011;20(8):1285-97. doi: 10.3727/096368910X550242. Epub 2011 Feb 3.

引用本文的文献

1
The Important Role of p21-Activated Kinases in Pancreatic Exocrine Function.p21激活激酶在胰腺外分泌功能中的重要作用。
Biology (Basel). 2025 Jan 22;14(2):113. doi: 10.3390/biology14020113.
2
Extracellular Vesicle ITGAM and ITGB2 Mediate Severe Acute Pancreatitis-Related Acute Lung Injury.细胞外囊泡 ITGAM 和 ITGB2 介导重症急性胰腺炎相关的急性肺损伤。
ACS Nano. 2023 Apr 25;17(8):7562-7575. doi: 10.1021/acsnano.2c12722. Epub 2023 Apr 6.
3
Normal mammary gland development after MMTV-Cre mediated conditional PAK4 gene depletion.

本文引用的文献

1
PAK4 interacts with p85 alpha: implications for pancreatic cancer cell migration.PAK4 与 p85 alpha 相互作用:对胰腺癌细胞迁移的影响。
Sci Rep. 2017 Feb 16;7:42575. doi: 10.1038/srep42575.
2
Novel p21-Activated Kinase 4 (PAK4) Allosteric Modulators Overcome Drug Resistance and Stemness in Pancreatic Ductal Adenocarcinoma.新型p21激活激酶4(PAK4)变构调节剂克服胰腺导管腺癌的耐药性和干性
Mol Cancer Ther. 2017 Jan;16(1):76-87. doi: 10.1158/1535-7163.MCT-16-0205. Epub 2016 Nov 15.
3
Structure, biochemistry, and biology of PAK kinases.
MMTV-Cre 介导的条件性 PAK4 基因缺失后乳腺的正常发育。
Sci Rep. 2019 Oct 8;9(1):14436. doi: 10.1038/s41598-019-50819-4.
4
P21-activated kinase 4 in pancreatic acinar cells is activated by numerous gastrointestinal hormones/neurotransmitters and growth factors by novel signaling, and its activation stimulates secretory/growth cascades.胰腺腺泡细胞中的 P21 激活激酶 4 通过新的信号通路被多种胃肠激素/神经递质和生长因子激活,其激活刺激分泌/生长级联反应。
Am J Physiol Gastrointest Liver Physiol. 2018 Aug 1;315(2):G302-G317. doi: 10.1152/ajpgi.00005.2018. Epub 2018 Apr 19.
PAK激酶的结构、生物化学及生物学特性
Gene. 2017 Mar 20;605:20-31. doi: 10.1016/j.gene.2016.12.014. Epub 2016 Dec 19.
4
Pancreatic regulation of glucose homeostasis.胰腺对葡萄糖稳态的调节。
Exp Mol Med. 2016 Mar 11;48(3):e219. doi: 10.1038/emm.2016.6.
5
p-21 activated kinase 4 (PAK4) maintains stem cell-like phenotypes in pancreatic cancer cells through activation of STAT3 signaling.p21 活化激酶 4(PAK4)通过激活 STAT3 信号通路维持胰腺癌细胞的干细胞样表型。
Cancer Lett. 2016 Jan 28;370(2):260-7. doi: 10.1016/j.canlet.2015.10.028. Epub 2015 Nov 3.
6
The role of p21-activated kinases in pancreatic cancer.p21激活激酶在胰腺癌中的作用。
Pancreas. 2015 Apr;44(3):363-9. doi: 10.1097/MPA.0000000000000276.
7
p21-Activated Kinase 4 (PAK4) as a Predictive Marker of Gemcitabine Sensitivity in Pancreatic Cancer Cell Lines.p21激活激酶4(PAK4)作为胰腺癌细胞系中吉西他滨敏感性的预测标志物
Cancer Res Treat. 2015 Jul;47(3):501-8. doi: 10.4143/crt.2014.054. Epub 2014 Nov 24.
8
p-21 activated kinase 4 promotes proliferation and survival of pancreatic cancer cells through AKT- and ERK-dependent activation of NF-κB pathway.p21活化激酶4通过AKT和ERK依赖的NF-κB途径激活促进胰腺癌细胞的增殖和存活。
Oncotarget. 2014 Sep 30;5(18):8778-89. doi: 10.18632/oncotarget.2398.
9
Genetics and treatment options for recurrent acute and chronic pancreatitis.复发性急性和慢性胰腺炎的遗传学及治疗选择
Curr Treat Options Gastroenterol. 2014 Sep;12(3):359-71. doi: 10.1007/s11938-014-0022-y.
10
Treatment options for acute pancreatitis.急性胰腺炎的治疗选择。
Nat Rev Gastroenterol Hepatol. 2014 Aug;11(8):462-9. doi: 10.1038/nrgastro.2014.39. Epub 2014 Mar 25.