Suppr超能文献

累及食管全长的原发性NK/T细胞淋巴瘤的影像学及临床特征:一例报告

Radiological and clinical features of primary NK/T-cell lymphoma involving the whole length of the esophagus: A case report.

作者信息

Liang Pan, Ren Xiu-Chun, Gao Jian-Bo

机构信息

Department of Radiology, The First Affiliated Hospital, Zhengzhou University, Zhengzhou, Henan 450052, P.R. China.

出版信息

Oncol Lett. 2017 Aug;14(2):2147-2152. doi: 10.3892/ol.2017.6456. Epub 2017 Jun 22.

Abstract

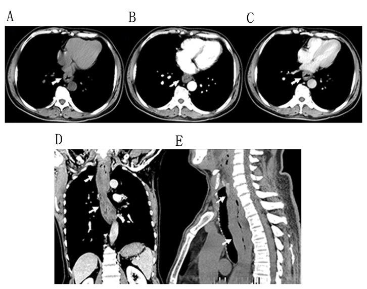
Primary esophageal natural killer (NK)/T-cell lymphoma is a markedly rare tumor. There were only 6 cases of the disease identified prior to June 2015. In the present study, the aforementioned cases were validated, and relevant computed tomography (CT) results and clinical features of primary esophageal NK/T-cell lymphoma were determined, to increase awareness of this type of tumor. CT features and clinical presentations of a patient with pathologically confirmed esophageal NK/T-cell lymphoma was analyzed. The patient exhibited non-specific clinical symptoms and CT images revealed diffuse thickening of the entire length of the esophagus. The patient received cycles of systemic chemotherapy and subsequent chest CT images demonstrated prompt and marked shrinkage of the tumor. At the time of writing, the patient has survived for 24 months and experiences a good quality of life without postprandial fullness or difficulty swallowing solid food. In addition, the characteristics of 6 patients with complete clinical features of this type of tumor, on the basis of a review of published studies (online PubMed, Medline, Google Scholar, Chinese Biomedicine Database and China Journal Full Text Database search), were retrospectively analyzed. Although primary esophageal NK/T-cell lymphoma is a markedly rare tumor, it is considered to be included in differential diagnosis of patients presenting with a fungal or viral infection, therapy-related mucositis or reflux esophagitis. The final diagnosis of primary esophageal NK/T-cell lymphoma is on the basis of a combination of clinical, CT and histopathological results.

摘要

原发性食管自然杀伤(NK)/T细胞淋巴瘤是一种极为罕见的肿瘤。在2015年6月之前仅确诊6例该疾病。在本研究中,对上述病例进行了验证,并确定了原发性食管NK/T细胞淋巴瘤的相关计算机断层扫描(CT)结果及临床特征,以提高对这类肿瘤的认识。分析了1例经病理证实的食管NK/T细胞淋巴瘤患者的CT特征及临床表现。该患者表现出非特异性临床症状,CT图像显示食管全长弥漫性增厚。患者接受了多周期全身化疗,随后的胸部CT图像显示肿瘤迅速且显著缩小。在撰写本文时,该患者已存活24个月,生活质量良好,无餐后饱胀感或吞咽固体食物困难。此外,在回顾已发表研究(通过在线检索PubMed、Medline、谷歌学术、中国生物医学数据库和中国期刊全文数据库)的基础上,对6例具有这类肿瘤完整临床特征的患者的特点进行了回顾性分析。虽然原发性食管NK/T细胞淋巴瘤是一种极为罕见的肿瘤,但在对表现为真菌或病毒感染、治疗相关的黏膜炎或反流性食管炎的患者进行鉴别诊断时应考虑该病。原发性食管NK/T细胞淋巴瘤的最终诊断基于临床、CT及组织病理学结果的综合判断。

https://cdn.ncbi.nlm.nih.gov/pmc/blobs/8c24/5530134/8828964a188b/ol-14-02-2147-g00.jpg

文献AI研究员

20分钟写一篇综述,助力文献阅读效率提升50倍。

立即体验

用中文搜PubMed

大模型驱动的PubMed中文搜索引擎

马上搜索

文档翻译

学术文献翻译模型,支持多种主流文档格式。

立即体验