Suppr超能文献

极罕见的无色素性恶性雀斑样痣黑色素瘤伴颅顶侵犯。

Very Rare Amelanotic Lentigo Maligna Melanoma with Skull Roof Invasion.

作者信息

Wollina Uwe, Hansel Gesina, Schmidt Nadine, Schönlebe Jacqueline, Kittner Thomas, Nowak Andreas

机构信息

Department of Dermatology and Allergology, Academic Teaching Hospital Dresden-Friedrichstadt in Dresden, Dresden, Germany.

Städtisches Klinikum Dresden - Institute of Pathology "Georg Schmorl", Dresden, Germany.

出版信息

Open Access Maced J Med Sci. 2017 Jul 19;5(4):458-461. doi: 10.3889/oamjms.2017.113. eCollection 2017 Jul 25.

Abstract

BACKGROUND

Lentigo malignant melanoma is a melanoma subtype of chronic sun-damaged skin in elderly Caucasians. Amelanotic variants of lentigo malignant are extremely rare.

CASE PRESENTATION

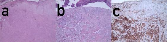
This is a case report of an 80-year-old male patient who presented with a non-pigmented exophytic tumour of his bald head. After complete surgical excision under the suspicion of squamous cell carcinoma, three-dimensional histologic examination confirmed an amelanotic lentigo malignant melanoma with a tumour thickness of 1.76 mm, resected R0. Five years later he developed the first relapse, the other year a satellite metastasis was surgically removed. One year later, this patient had developed a large relapsing lentigo malignant melanoma with skull roof invasion. There was no evidence of distant metastatic spread. Amelanotic lentigo malignant melanoma is a very rare tumour.

CONCLUSIONS

Serial excision or slow Mohs and Mohs micrographic surgery are the treatments of choice especially in the head and neck area. These tumours may be locally very aggressive as it is shown by skull invasion in the present case.

摘要

背景

雀斑样痣恶性黑色素瘤是老年白种人慢性日光损伤皮肤的黑色素瘤亚型。雀斑样痣恶性黑色素瘤的无色素变体极为罕见。

病例报告

本文报告一例80岁男性患者,其光头部位出现一个无色素的外生性肿瘤。在怀疑为鳞状细胞癌的情况下进行了完整手术切除,三维组织学检查证实为无色素雀斑样痣恶性黑色素瘤,肿瘤厚度为1.76 mm,切除切缘为R0。五年后出现首次复发,次年手术切除了一个卫星转移灶。一年后,该患者出现一个复发性大的雀斑样痣恶性黑色素瘤,侵犯颅顶。无远处转移扩散证据。无色素雀斑样痣恶性黑色素瘤是一种非常罕见的肿瘤。

结论

连续切除或慢速莫氏手术及莫氏显微外科手术是首选治疗方法,尤其是在头颈部区域。如本病例中颅顶侵犯所示,这些肿瘤在局部可能具有很强的侵袭性。

https://cdn.ncbi.nlm.nih.gov/pmc/blobs/ab00/5535657/1eb5e58b421a/OAMJMS-5-458-g001.jpg

文献AI研究员

20分钟写一篇综述,助力文献阅读效率提升50倍。

立即体验

用中文搜PubMed

大模型驱动的PubMed中文搜索引擎

马上搜索

文档翻译

学术文献翻译模型,支持多种主流文档格式。

立即体验