Suppr超能文献

髋部短暂性骨质疏松症:成人髋部疼痛的神秘病因。

Transient Osteoporosis of the Hip: A Mysterious Cause of Hip Pain in Adults.

作者信息

Vaishya Raju, Agarwal Amit Kumar, Kumar Virender, Vijay Vipul, Vaish Abhishek

机构信息

Department of Orthopaedics, Indraprastha Apollo Hospitals, New Delhi, India.

出版信息

Indian J Orthop. 2017 Jul-Aug;51(4):455-460. doi: 10.4103/ortho.IJOrtho_607_16.

Abstract

BACKGROUND

Transient osteoporosis of the hip (TOH) is a poorly understood and forgotten clinical entity. The diagnosis is often delayed, and inappropriate treatment is provided, due to the lack of its awareness among the clinicians.

MATERIALS AND METHODS

Twelve patients (11 male and one female) within the age group of 35-50 years, were identified retrospectively from the hospital records between July 2011 and June 2015 who had evidence of TOH on clinical and radiological parameters.

RESULTS

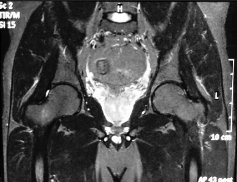
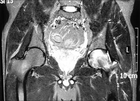
All the patients were treated conservatively by nonweight bearing mobilization, anti-inflammatory drugs, bisphosphonates, calcium, and Vitamin D supplements. None of our patients had any symptoms after 6 months of conservative management. The disease did not progress, and there was no evidence of hip joint involvement in any of the cases. Plain radiographs were not diagnostic in the early detection of TOH. Magnetic resonance imaging was found to be highly specific and sensitive in diagnosing TOH. The clinical condition of TOH is characterized by its acute onset of hip pain in middle-aged people, and its symptoms are out of proportion to the radiological findings.

CONCLUSION

The TOH is a nondestructive and self-limiting condition of the hip, which responds well to the conservative treatment. We believe that TOH could be a subset of complex regional pain syndrome type 1, as it has many similarities in clinical presentation and management. Awareness of this entity is important to the clinicians for an early diagnosis and to avoid unnecessary treatment for other mimicking conditions.

摘要

背景

髋部短暂性骨质疏松症(TOH)是一种了解甚少且常被忽视的临床病症。由于临床医生对其认识不足,诊断往往延迟,且治疗不当。

材料与方法

回顾性分析2011年7月至2015年6月期间医院记录中年龄在35 - 50岁的12例患者(11例男性,1例女性),这些患者在临床和影像学参数上有TOH的证据。

结果

所有患者均通过非负重活动、抗炎药物、双膦酸盐、钙剂和维生素D补充剂进行保守治疗。保守治疗6个月后,所有患者均无任何症状。疾病未进展,所有病例均无髋关节受累的证据。X线平片在TOH早期检测中无诊断价值。磁共振成像在诊断TOH方面具有高度特异性和敏感性。TOH的临床特征为中年患者急性髋部疼痛,其症状与影像学表现不成比例。

结论

TOH是一种髋部的非破坏性自限性病症,对保守治疗反应良好。我们认为TOH可能是1型复杂性区域疼痛综合征的一个亚型,因为它在临床表现和治疗方面有许多相似之处。临床医生认识这一病症对于早期诊断以及避免对其他类似病症进行不必要的治疗很重要。

https://cdn.ncbi.nlm.nih.gov/pmc/blobs/6491/5525527/91d592c959a4/IJOrtho-51-455-g002.jpg

文献检索

告别复杂PubMed语法,用中文像聊天一样搜索,搜遍4000万医学文献。AI智能推荐,让科研检索更轻松。

立即免费搜索

文件翻译

保留排版,准确专业,支持PDF/Word/PPT等文件格式,支持 12+语言互译。

免费翻译文档

深度研究

AI帮你快速写综述,25分钟生成高质量综述,智能提取关键信息,辅助科研写作。

立即免费体验