Suppr超能文献

慢性亚砷酸钠暴露对大鼠附睾中VEGF和VEGFR2蛋白表达的影响

Effects of Chronic Exposure to Sodium Arsenite on Expressions of VEGF and VEGFR2 Proteins in the Epididymis of Rats.

作者信息

Yan-Ping Dai, Xiao-Qin Gao, Xiao Ping Ma, Ying Quan Yue

机构信息

Department of Histology and Embryology, Guizhou Medical University, Guiyang, Guizhou 550004, China.

People's Hospital in Yueyanglou District, Yueyang, Hunan 414000, China.

出版信息

Biomed Res Int. 2017;2017:2597256. doi: 10.1155/2017/2597256. Epub 2017 Jul 16.

Abstract

OBJECTIVE

To study the expressions of VEGF and VEGFR2 at protein level in the epididymis of rats with arsenism.

METHODS

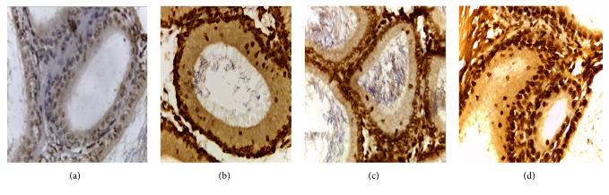
Forty male Sprague-Dawley rats were randomly divided into four groups: the high dose arsenic infected group (60.0 mg/L in water), the middle dose arsenic infected group (12.0 mg/L in water), the low dose arsenic infected group (2.4 mg/L in water), and the control group (distilled water). Rats were treated with arsenic through drinking water for 6 consecutive months. At the end of the experiment, the average densitometry values of apoptotic cells in epididymis tubules were determined by TUNEL method; the protein and mRNA levels of VEGF and VEGFR2 were observed by immunohistochemistry, Western blot, and real time fluorescent quantitative PCR, respectively.

RESULTS

Compared with the control group, in each infected group, the average densitometry values of apoptotic cells in the epididymis tubules were significantly lower. Compared with control group, protein and mRNA levels of VEGF and VEGFR2 in each infected group were obviously declined. The correlations between protein and mRNA levels of VEGF and VEGFR2 were positively exhibited ( = 0.843, 0.869, < 0.05).

CONCLUSIONS

Arsenism affects the expressions of VEGF and VEGFR2 in the epididymis of rats and results in apoptosis of pathophysiology of male infertility.

摘要

目的

研究砷中毒大鼠附睾中血管内皮生长因子(VEGF)和血管内皮生长因子受体2(VEGFR2)蛋白水平的表达。

方法

将40只雄性Sprague-Dawley大鼠随机分为四组:高剂量砷染毒组(饮水中含60.0mg/L砷)、中剂量砷染毒组(饮水中含12.0mg/L砷)、低剂量砷染毒组(饮水中含2.4mg/L砷)和对照组(蒸馏水)。大鼠连续6个月通过饮水染砷。实验结束时,采用TUNEL法测定附睾小管凋亡细胞的平均光密度值;分别采用免疫组织化学、蛋白质印迹法和实时荧光定量PCR观察VEGF和VEGFR2的蛋白及mRNA水平。

结果

与对照组相比,各染毒组附睾小管凋亡细胞的平均光密度值均显著降低。与对照组相比,各染毒组VEGF和VEGFR2的蛋白及mRNA水平均明显下降。VEGF和VEGFR2的蛋白与mRNA水平呈正相关(r = 0.843、0.869,P < 0.05)。

结论

砷中毒影响大鼠附睾中VEGF和VEGFR2的表达,导致男性不育病理生理学上的细胞凋亡。

https://cdn.ncbi.nlm.nih.gov/pmc/blobs/bc28/5534313/9a80d3c0b453/BMRI2017-2597256.001.jpg

文献检索

告别复杂PubMed语法,用中文像聊天一样搜索,搜遍4000万医学文献。AI智能推荐,让科研检索更轻松。

立即免费搜索

文件翻译

保留排版,准确专业,支持PDF/Word/PPT等文件格式,支持 12+语言互译。

免费翻译文档

深度研究

AI帮你快速写综述,25分钟生成高质量综述,智能提取关键信息,辅助科研写作。

立即免费体验