• 文献检索
  • 文档翻译
  • 深度研究
  • 学术资讯
  • Suppr Zotero 插件Zotero 插件
  • 邀请有礼
  • 套餐&价格
  • 历史记录
应用&插件
Suppr Zotero 插件Zotero 插件浏览器插件Mac 客户端Windows 客户端微信小程序
定价
高级版会员购买积分包购买API积分包
服务
文献检索文档翻译深度研究API 文档MCP 服务
关于我们
关于 Suppr公司介绍联系我们用户协议隐私条款
关注我们

Suppr 超能文献

核心技术专利:CN118964589B侵权必究
粤ICP备2023148730 号-1Suppr @ 2026

文献检索

告别复杂PubMed语法,用中文像聊天一样搜索,搜遍4000万医学文献。AI智能推荐,让科研检索更轻松。

立即免费搜索

文件翻译

保留排版,准确专业,支持PDF/Word/PPT等文件格式,支持 12+语言互译。

免费翻译文档

深度研究

AI帮你快速写综述,25分钟生成高质量综述,智能提取关键信息,辅助科研写作。

立即免费体验

T1加权黑血成像可提高多发性硬化症中强化病灶的检测率。

T1w dark blood imaging improves detection of contrast enhancing lesions in multiple sclerosis.

作者信息

Thaler Christian, Schneider Tanja, Sedlacik Jan, Kutzner Daniel, Stellmann Jan-Patrick, Heesen Christoph, Fiehler Jens, Siemonsen Susanne

机构信息

Department of Diagnostic and Interventional Neuroradiology, University Medical Centre Hamburg-Eppendorf, Hamburg, Germany.

Department of Neurology, University Medical Centre Hamburg-Eppendorf, Hamburg, Germany.

出版信息

PLoS One. 2017 Aug 10;12(8):e0183099. doi: 10.1371/journal.pone.0183099. eCollection 2017.

DOI:10.1371/journal.pone.0183099
PMID:28797082
原文链接:https://pmc.ncbi.nlm.nih.gov/articles/PMC5552307/
Abstract

PURPOSE

In multiple sclerosis (MS) the sensitivity for detection of contrast enhancing lesions (CEL) in T1-weighted scans is essential for diagnostics and therapy decisions. The purpose of our study was to evaluate the sensitivity of T1w MPRAGE scans in comparison to T1w dark blood technique (T1-DB) for CEL in MS.

MATERIALS AND METHODS

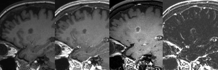
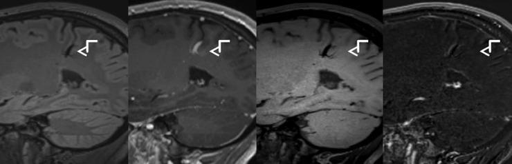
3T MR imaging was performed in 37 MS patients, including T2-weighted imaging, T1w MPRAGE before and after gadolinium injection (unenhanced-T1 and T1-CE) and T1-DB imaging. After gadolinium application, the T1-DB scan was performed prior to T1-CE. From unenhanced-T1 and T1-CE scans, subtraction images (T1-SUB) were calculated. The number of CEL was determined separately on T1-CE and T1-DB by two raters independently. Lesions only detected on T1-DB scans then were verified on T1-SUB. Only lesions detected by both raters were included in further analysis.

RESULTS

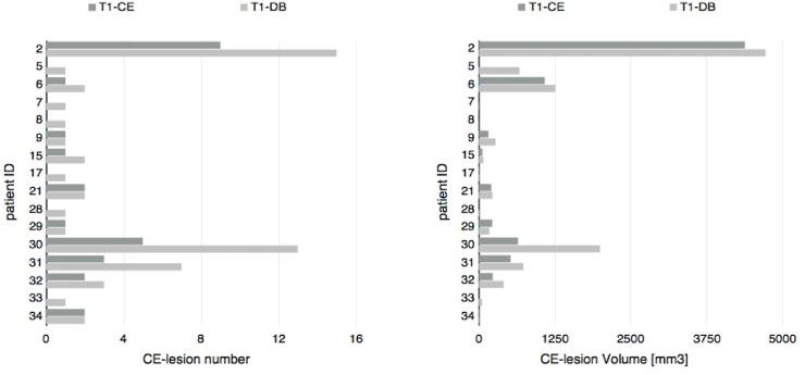
In 16 patients, at least one CEL was detected by both rater, either on T1-CE or T1-DB. All lesions that were detected on T1-CE were also detected on T1-DB images. The total number of contrast enhancing lesions detected on T1-DB images (n = 54) by both raters was significantly higher than the corresponding number of lesions identified on T1-CE (n = 27) (p = 0.01); all of these lesions could be verified on SUB images. In 21 patients, no CEL was detected in any of the sequences.

CONCLUSIONS

The application of T1-DB technique increases the sensitivity for CEL in MS, especially for those lesions that show only subtle increase in intensity after Gadolinium application but remain hypo- or iso-intense to surrounding tissue.

摘要

目的

在多发性硬化症(MS)中,T1加权扫描中检测对比增强病灶(CEL)的敏感性对于诊断和治疗决策至关重要。我们研究的目的是评估T1加权MPRAGE扫描与T1加权黑血技术(T1-DB)相比对MS中CEL的敏感性。

材料与方法

对37例MS患者进行3T磁共振成像,包括T2加权成像、钆注射前后的T1加权MPRAGE(未增强T1和T1-CE)以及T1-DB成像。应用钆后,在T1-CE之前进行T1-DB扫描。从未增强T1和T1-CE扫描中计算减法图像(T1-SUB)。两名评估者分别在T1-CE和T1-DB上确定CEL的数量。然后在T1-SUB上验证仅在T1-DB扫描中检测到的病灶。仅两名评估者均检测到的病灶纳入进一步分析。

结果

在16例患者中,两名评估者在T1-CE或T1-DB上均检测到至少一个CEL。在T1-CE上检测到的所有病灶在T1-DB图像上也被检测到。两名评估者在T1-DB图像上检测到的对比增强病灶总数(n = 54)显著高于在T1-CE上识别的相应病灶数(n = 27)(p = 0.01);所有这些病灶均可在SUB图像上得到验证。在21例患者中,任何序列均未检测到CEL。

结论

T1-DB技术的应用提高了MS中CEL的敏感性,特别是对于那些在应用钆后强度仅轻微增加但对周围组织仍呈低或等强度的病灶。

https://cdn.ncbi.nlm.nih.gov/pmc/blobs/207d/5552307/6bcaae91d254/pone.0183099.g006.jpg
https://cdn.ncbi.nlm.nih.gov/pmc/blobs/207d/5552307/562674b10c28/pone.0183099.g001.jpg
https://cdn.ncbi.nlm.nih.gov/pmc/blobs/207d/5552307/069ceedeb0cd/pone.0183099.g002.jpg
https://cdn.ncbi.nlm.nih.gov/pmc/blobs/207d/5552307/29b12d0d013f/pone.0183099.g003.jpg
https://cdn.ncbi.nlm.nih.gov/pmc/blobs/207d/5552307/d869d17db769/pone.0183099.g004.jpg
https://cdn.ncbi.nlm.nih.gov/pmc/blobs/207d/5552307/7b9b72ca5b57/pone.0183099.g005.jpg
https://cdn.ncbi.nlm.nih.gov/pmc/blobs/207d/5552307/6bcaae91d254/pone.0183099.g006.jpg
https://cdn.ncbi.nlm.nih.gov/pmc/blobs/207d/5552307/562674b10c28/pone.0183099.g001.jpg
https://cdn.ncbi.nlm.nih.gov/pmc/blobs/207d/5552307/069ceedeb0cd/pone.0183099.g002.jpg
https://cdn.ncbi.nlm.nih.gov/pmc/blobs/207d/5552307/29b12d0d013f/pone.0183099.g003.jpg
https://cdn.ncbi.nlm.nih.gov/pmc/blobs/207d/5552307/d869d17db769/pone.0183099.g004.jpg
https://cdn.ncbi.nlm.nih.gov/pmc/blobs/207d/5552307/7b9b72ca5b57/pone.0183099.g005.jpg
https://cdn.ncbi.nlm.nih.gov/pmc/blobs/207d/5552307/6bcaae91d254/pone.0183099.g006.jpg

相似文献

1
T1w dark blood imaging improves detection of contrast enhancing lesions in multiple sclerosis.T1加权黑血成像可提高多发性硬化症中强化病灶的检测率。
PLoS One. 2017 Aug 10;12(8):e0183099. doi: 10.1371/journal.pone.0183099. eCollection 2017.
2
T1- Thresholds in Black Holes Increase Clinical-Radiological Correlation in Multiple Sclerosis Patients.T1 - 黑洞中的阈值增加了多发性硬化症患者的临床 - 放射学相关性。
PLoS One. 2015 Dec 11;10(12):e0144693. doi: 10.1371/journal.pone.0144693. eCollection 2015.
3
Accuracy of Unenhanced MRI in the Detection of New Brain Lesions in Multiple Sclerosis.磁共振非增强扫描对多发性硬化症中新发脑损害的检测准确性。
Radiology. 2019 May;291(2):429-435. doi: 10.1148/radiol.2019181568. Epub 2019 Mar 12.
4
Comparison of contrast-enhanced T1-weighted FLAIR with BLADE, and spin-echo T1-weighted sequences in intracranial MRI.颅内磁共振成像中对比增强T1加权液体衰减反转恢复序列与刀锋序列及自旋回波T1加权序列的比较。
Diagn Interv Radiol. 2009 Jun;15(2):75-80.
5
Brain MR post-gadolinium contrast in multiple sclerosis: the role of magnetization transfer and image subtraction in detecting more enhancing lesions.多发性硬化症的脑磁共振成像钆对比剂增强扫描:磁化传递和图像相减在检测更多强化病灶中的作用
Neuroradiology. 2004 Mar;46(3):205-10. doi: 10.1007/s00234-003-1146-2. Epub 2004 Feb 19.
6
Multiple sclerosis lesions and irreversible brain tissue damage: a comparative ultrahigh-field strength magnetic resonance imaging study.多发性硬化病变与不可逆性脑组织损伤:一项超高场强磁共振成像对比研究
Arch Neurol. 2012 Jun;69(6):739-45. doi: 10.1001/archneurol.2011.2450.
7
Contrast-enhanced double inversion recovery sequence for patients with multiple sclerosis: feasibility of subtraction images between pre- and post-contrast images.用于多发性硬化症患者的对比增强双反转恢复序列:对比剂注射前后图像相减的可行性研究
Acta Radiol. 2023 Feb;64(2):719-724. doi: 10.1177/02841851221080831. Epub 2022 Mar 21.
8
Altered signal intensity of active enhancing inflammatory lesions using post-contrast double inversion recovery MR sequence.使用对比剂后双反转恢复磁共振序列观察活动性强化炎症性病变的信号强度改变
Eur Radiol. 2017 Feb;27(2):637-641. doi: 10.1007/s00330-016-4416-1. Epub 2016 May 27.
9
Short-term evolution of new multiple sclerosis lesions enhancing on standard and triple dose gadolinium-enhanced brain MRI scans.在标准剂量和三倍剂量钆增强脑部磁共振成像扫描中强化的新发多发性硬化病变的短期演变
J Neurol Sci. 1999 Apr 1;164(2):148-52. doi: 10.1016/s0022-510x(99)00054-4.
10
The contribution of enhancing lesions in monitoring multiple sclerosis treatment: is gadolinium always necessary?强化病灶在监测多发性硬化症治疗中的作用:钆增强剂是否总是必需?
J Neurol. 2020 Sep;267(9):2642-2647. doi: 10.1007/s00415-020-09894-1. Epub 2020 May 12.

引用本文的文献

1
Contrast-enhanced 3D black-blood magnetic resonance imaging for diagnosis of cerebral venous thrombosis.对比增强 3D 黑血磁共振成像在脑静脉血栓诊断中的应用。
Neuroradiol J. 2024 Dec;37(6):738-743. doi: 10.1177/19714009241260798. Epub 2024 Jun 10.
2
Intravascular large cell B lymphoma presenting as central nervous system pseudo-vasculitis: A rare diagnostic challenge.血管内大 B 细胞淋巴瘤表现为中枢神经系统假性血管炎:一种罕见的诊断挑战。
Neuroradiol J. 2024 Oct;37(5):651-655. doi: 10.1177/19714009231212351. Epub 2023 Nov 7.
3
Nonlesional Sources of Contrast Enhancement on Postgadolinium "Black-Blood" 3D T1-SPACE Images in Patients with Multiple Sclerosis.

本文引用的文献

1
Comparison between gadolinium-enhanced 2D T1-weighted gradient-echo and spin-echo sequences in the detection of active multiple sclerosis lesions on 3.0T MRI.在 3.0T MRI 上检测活动期多发性硬化病变时,钆增强 2D T1 加权梯度回波与自旋回波序列的比较。
Eur Radiol. 2017 Apr;27(4):1361-1368. doi: 10.1007/s00330-016-4503-3. Epub 2016 Jul 25.
2
Diagnosis of non-acute cerebral venous thrombosis with 3D T1-weighted black blood sequence at 3T.3T磁共振3D T1加权黑血序列诊断非急性脑静脉血栓形成
J Neurol Sci. 2016 Aug 15;367:46-50. doi: 10.1016/j.jns.2016.05.052. Epub 2016 May 26.
3
Estimating Brain Lesion Volume Change in Multiple Sclerosis by Subtraction of Magnetic Resonance Images.
多发性硬化症患者钆后“黑血”3D T1-SPACE 图像上非病灶性对比增强源。
AJNR Am J Neuroradiol. 2022 Jun;43(6):872-880. doi: 10.3174/ajnr.A7529. Epub 2022 May 26.
4
Improvement of the Diagnostic Performance of Facial Neuritis Using Contrast-Enhanced 3D T1 Black-Blood Imaging: Comparison with Contrast-Enhanced 3D T1-Spoiled Gradient-Echo Imaging.使用对比增强三维T1加权黑血成像改善面神经炎的诊断效能:与对比增强三维T1加权扰相梯度回波成像的比较
J Clin Med. 2021 Apr 24;10(9):1850. doi: 10.3390/jcm10091850.
通过磁共振图像相减估计多发性硬化症中的脑病变体积变化
J Neuroimaging. 2016 Jul;26(4):395-402. doi: 10.1111/jon.12344. Epub 2016 Mar 28.
4
MRI criteria for the diagnosis of multiple sclerosis: MAGNIMS consensus guidelines.多发性硬化诊断的MRI标准:MAGNIMS共识指南。
Lancet Neurol. 2016 Mar;15(3):292-303. doi: 10.1016/S1474-4422(15)00393-2. Epub 2016 Jan 26.
5
Early Detection and Quantification of Cerebral Venous Thrombosis by Magnetic Resonance Black-Blood Thrombus Imaging.磁共振黑血血栓成像对脑静脉血栓形成的早期检测与定量分析
Stroke. 2016 Feb;47(2):404-9. doi: 10.1161/STROKEAHA.115.011369. Epub 2015 Dec 15.
6
Revised Recommendations of the Consortium of MS Centers Task Force for a Standardized MRI Protocol and Clinical Guidelines for the Diagnosis and Follow-Up of Multiple Sclerosis.多发性硬化症中心联盟特别工作组关于标准化MRI方案及多发性硬化症诊断与随访临床指南的修订建议。
AJNR Am J Neuroradiol. 2016 Mar;37(3):394-401. doi: 10.3174/ajnr.A4539. Epub 2015 Nov 12.
7
Comparison of contrast-enhanced modified T1-weighted 3D TSE black-blood and 3D MP-RAGE sequences for the detection of cerebral metastases and brain tumours.对比增强改良T1加权3D TSE黑血序列与3D MP-RAGE序列在检测脑转移瘤和脑肿瘤中的比较。
Eur Radiol. 2016 Jun;26(6):1818-25. doi: 10.1007/s00330-015-3975-x. Epub 2015 Sep 3.
8
T1-Weighted Hypersignal in the Deep Cerebellar Nuclei After Repeated Administrations of Gadolinium-Based Contrast Agents in Healthy Rats: Difference Between Linear and Macrocyclic Agents.健康大鼠反复注射钆基造影剂后小脑深部核团的T1加权高信号:线性与大环试剂的差异
Invest Radiol. 2015 Aug;50(8):473-80. doi: 10.1097/RLI.0000000000000181.
9
Contrast enhancement of intracranial lesions at 1.5 T: comparison among 2D spin echo, black-blood (BB) Cube, and BB Cube-FLAIR sequences.1.5T 颅内病变的对比增强:2D 自旋回波、黑血(BB)Cube 和 BB Cube-FLAIR 序列的比较。
Eur Radiol. 2015 Nov;25(11):3175-86. doi: 10.1007/s00330-015-3757-5. Epub 2015 May 1.
10
Gadolinium retention in the dentate nucleus and globus pallidus is dependent on the class of contrast agent.钆在齿状核和苍白球中的蓄积取决于造影剂的类别。
Radiology. 2015 Jun;275(3):783-91. doi: 10.1148/radiol.2015150337. Epub 2015 Apr 6.