Suppr超能文献

促多巴胺调节剂 - (KB220)用于平衡奖赏缺乏综合征(RDS)中的大脑奖赏回路。

Pro-Dopamine Regulator - (KB220) to Balance Brain Reward Circuitry in Reward Deficiency Syndrome (RDS).

作者信息

Blum Kenneth, Febo Marcelo, Fried Lyle, Baron David, Braverman Eric R, Dushaj Kristina, Li Mona, Demetrovics Zsolt, Badgaiyan Rajendra D

机构信息

Department of Psychiatry & McKnight Brain Institute, University of Florida College of Medicine, Gainesville, FL, USA.

Division of Addiction Services, Dominion Diagnostics, LLC, North Kingstown, RI, USA.

出版信息

J Reward Defic Syndr Addict Sci. 2017;3(1):3-13. Epub 2017 Apr 28.

Abstract

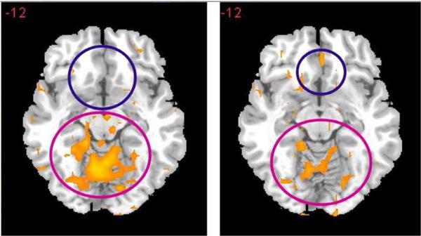
We are faced with a worldwide opiate/opioid epidemic that is devastating. According to the Centers for Disease Control and Prevention (CDC), at least 127 people, young and old, are dying every day in America due to narcotic overdose. The Food and Drug Administration (FDA) has approved Medication-Assisted Treatments (MATs) for opiate/opioids as well as alcohol and nicotine. The mechanism of action of most MATS favors either blocking of dopaminergic function or a form of Opiate Substitution Therapy (OST). These treatment options are adequate for short-term treatment of the symptoms of addiction and harm reduction but fail long-term to deal with the cause or lead to recovery. There is a need to continue to seek better treatment options. This mini-review is the history of the development of one such treatment; a glutaminergic-dopaminergic optimization complex called KB220. Growing evidence indicates that brain reward circuitry controls drug addiction, in conjunction with "anti-reward systems" as the "anti-reward systems" can be affected by both glutaminergic and dopaminergic transmission. KB220 may likely alter the function of these regions and provide for the possible eventual balancing the brain reward system and the induction of "dopamine homeostasis." Many of these concepts have been reported elsewhere and have become an integral part of the addiction science literature. However, the concise review may encourage readership to reconsider these facts and stimulate further research focused on the impact that the induction of "dopamine homeostasis" may have on recovery and relapse prevention.

摘要

我们正面临一场全球性的阿片类药物流行,其破坏性极大。根据疾病控制与预防中心(CDC)的数据,在美国,每天至少有127人,无论老少,死于麻醉品过量。美国食品药品监督管理局(FDA)已批准用于阿片类药物以及酒精和尼古丁的药物辅助治疗(MATs)。大多数MATs的作用机制有利于阻断多巴胺能功能或采用某种形式的阿片类药物替代疗法(OST)。这些治疗方案对于成瘾症状的短期治疗和减少伤害是足够的,但长期来看无法解决成瘾的根源或实现康复。因此,有必要继续寻找更好的治疗方案。这篇小型综述讲述的是一种这样的治疗方法的发展历程;一种名为KB220的谷氨酰胺能 - 多巴胺能优化复合物。越来越多的证据表明,大脑奖赏回路与“反奖赏系统”共同控制药物成瘾,因为“反奖赏系统”会受到谷氨酰胺能和多巴胺能传递的影响。KB220可能会改变这些区域的功能,并有可能最终实现大脑奖赏系统的平衡以及诱导“多巴胺稳态”。其中许多概念在其他地方已有报道,并已成为成瘾科学文献的重要组成部分。然而,这篇简要综述可能会促使读者重新审视这些事实,并激发进一步的研究,聚焦于“多巴胺稳态”的诱导对康复和预防复发可能产生的影响。

https://cdn.ncbi.nlm.nih.gov/pmc/blobs/1e14/5551501/4e89c654f1d3/nihms883957f1.jpg

文献AI研究员

20分钟写一篇综述,助力文献阅读效率提升50倍。

立即体验

用中文搜PubMed

大模型驱动的PubMed中文搜索引擎

马上搜索

文档翻译

学术文献翻译模型,支持多种主流文档格式。

立即体验