Suppr超能文献

链球菌补体抑制剂C5a肽酶的多功能免疫逃逸机制

Multi-functional mechanisms of immune evasion by the streptococcal complement inhibitor C5a peptidase.

作者信息

Lynskey Nicola N, Reglinski Mark, Calay Damien, Siggins Matthew K, Mason Justin C, Botto Marina, Sriskandan Shiranee

机构信息

Faculty of Medicine, Imperial College London, London, United Kingdom.

出版信息

PLoS Pathog. 2017 Aug 14;13(8):e1006493. doi: 10.1371/journal.ppat.1006493. eCollection 2017 Aug.

Abstract

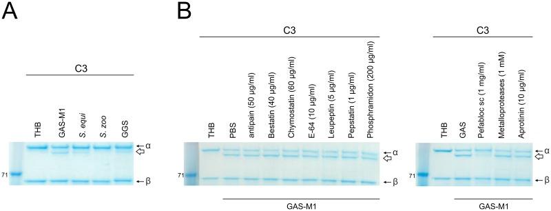
The complement cascade is crucial for clearance and control of invading pathogens, and as such is a key target for pathogen mediated host modulation. C3 is the central molecule of the complement cascade, and plays a vital role in opsonization of bacteria and recruitment of neutrophils to the site of infection. Streptococcal species have evolved multiple mechanisms to disrupt complement-mediated innate immunity, among which ScpA (C5a peptidase), a C5a inactivating enzyme, is widely conserved. Here we demonstrate for the first time that pyogenic streptococcal species are capable of cleaving C3, and identify C3 and C3a as novel substrates for the streptococcal ScpA, which are functionally inactivated as a result of cleavage 7 amino acids upstream of the natural C3 convertase. Cleavage of C3a by ScpA resulted in disruption of human neutrophil activation, phagocytosis and chemotaxis, while cleavage of C3 generated abnormally-sized C3a and C3b moieties with impaired function, in particular reducing C3 deposition on the bacterial surface. Despite clear effects on human complement, expression of ScpA reduced clearance of group A streptococci in vivo in wildtype and C5 deficient mice, and promoted systemic bacterial dissemination in mice that lacked both C3 and C5, suggesting an additional complement-independent role for ScpA in streptococcal pathogenesis. ScpA was shown to mediate streptococcal adhesion to both human epithelial and endothelial cells, consistent with a role in promoting bacterial invasion within the host. Taken together, these data show that ScpA is a multi-functional virulence factor with both complement-dependent and independent roles in streptococcal pathogenesis.

摘要

补体级联反应对于清除和控制入侵病原体至关重要,因此是病原体介导的宿主调节的关键靶点。C3是补体级联反应的核心分子,在细菌的调理作用和中性粒细胞向感染部位的募集过程中发挥着至关重要的作用。链球菌已经进化出多种机制来破坏补体介导的固有免疫,其中ScpA(C5a肽酶),一种C5a失活酶,广泛存在。在这里,我们首次证明化脓性链球菌能够切割C3,并将C3和C3a鉴定为链球菌ScpA的新底物,它们由于在天然C3转化酶上游7个氨基酸处被切割而功能失活。ScpA对C3a的切割导致人类中性粒细胞活化、吞噬作用和趋化性的破坏,而C3的切割产生了功能受损的异常大小的C3a和C3b部分,特别是减少了C3在细菌表面的沉积。尽管对人类补体有明显影响,但ScpA的表达在野生型和C5缺陷小鼠体内降低了A组链球菌的清除率,并促进了同时缺乏C3和C5的小鼠体内细菌的全身播散,这表明ScpA在链球菌发病机制中具有额外的不依赖补体的作用。ScpA被证明介导链球菌与人上皮细胞和内皮细胞的粘附,这与促进细菌在宿主体内入侵的作用一致。综上所述,这些数据表明ScpA是一种多功能毒力因子,在链球菌发病机制中具有补体依赖性和非依赖性作用。

https://cdn.ncbi.nlm.nih.gov/pmc/blobs/da0e/5555575/a4d1ada79d9b/ppat.1006493.g001.jpg

文献检索

告别复杂PubMed语法,用中文像聊天一样搜索,搜遍4000万医学文献。AI智能推荐,让科研检索更轻松。

立即免费搜索

文件翻译

保留排版,准确专业,支持PDF/Word/PPT等文件格式,支持 12+语言互译。

免费翻译文档

深度研究

AI帮你快速写综述,25分钟生成高质量综述,智能提取关键信息,辅助科研写作。

立即免费体验