• 文献检索
  • 文档翻译
  • 深度研究
  • 学术资讯
  • Suppr Zotero 插件Zotero 插件
  • 邀请有礼
  • 套餐&价格
  • 历史记录
应用&插件
Suppr Zotero 插件Zotero 插件浏览器插件Mac 客户端Windows 客户端微信小程序
定价
高级版会员购买积分包购买API积分包
服务
文献检索文档翻译深度研究API 文档MCP 服务
关于我们
关于 Suppr公司介绍联系我们用户协议隐私条款
关注我们

Suppr 超能文献

核心技术专利:CN118964589B侵权必究
粤ICP备2023148730 号-1Suppr @ 2026

文献检索

告别复杂PubMed语法,用中文像聊天一样搜索,搜遍4000万医学文献。AI智能推荐,让科研检索更轻松。

立即免费搜索

文件翻译

保留排版,准确专业,支持PDF/Word/PPT等文件格式,支持 12+语言互译。

免费翻译文档

深度研究

AI帮你快速写综述,25分钟生成高质量综述,智能提取关键信息,辅助科研写作。

立即免费体验

同侧创伤后膝上截肢患者的微创全髋关节置换术:一例报告

Minimally Invasive Total Hip Replacement in an Ipsilateral Post-traumatic above-knee Amputation: A Case Report.

作者信息

Patnaik Sanjeev, Nayak Biswaranjan, Sahoo Akshaya Kumar, Sahu Nabin Kumar

机构信息

Department of Orthopaedics, Apollo Hospital, Bhubaneswar, Odisha, India.

出版信息

J Orthop Case Rep. 2017 Mar-Apr;7(2):3-6. doi: 10.13107/jocr.2250-0685.722.

DOI:10.13107/jocr.2250-0685.722
PMID:28819590
原文链接:https://pmc.ncbi.nlm.nih.gov/articles/PMC5553831/
Abstract

INTRODUCTION

Total hip replacement (THR) is a highly successful operation in alleviating pain and improving the overall function of the hip, in end-stage arthritis of the hip, in otherwise fit patients. However, THR as a surgical option in post-traumatic hip arthritis with ipsilateral above-knee amputation is rarely reported.

CASE REPORT

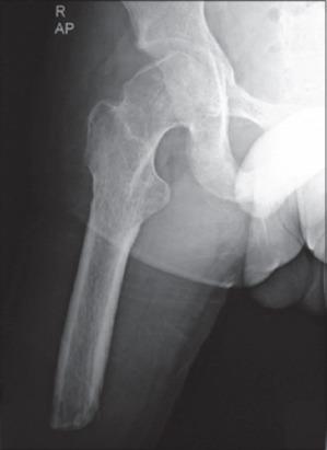
We are presenting a case report of a 30-year-old male, who had previously underwent an above-knee amputation due to road-traffic accident, presenting 24 h after the injury with segmental fracture femur and popliteal artery laceration, for which the limb could not be salvaged. He had an impacted anteroinferior dislocation of the ipsilateral hip with significant cartilage damage of the femoral head which required open reduction. Subsequently, he developed traumatic arthritis of the involved hip which required conversion to an uncemented THR, using a minimally invasive (MIS) anterolateral approach. The preoperative management, surgical technique, and postoperative rehabilitation are described to highlight the technical challenges, these lower limb amputees may present along with review of literature of such rare cases.

CONCLUSION

THR in an above-knee amputee with posttraumatic hip arthritis using MIS technique is an encouraging surgical option for early functional recovery and minimizing surgical complications.

摘要

引言

全髋关节置换术(THR)对于缓解晚期髋关节关节炎且身体状况良好的患者的疼痛并改善髋关节整体功能而言,是一项非常成功的手术。然而,作为创伤后髋关节关节炎合并同侧膝上截肢患者的手术选择,全髋关节置换术鲜有报道。

病例报告

我们报告一例30岁男性患者,该患者此前因道路交通事故接受了膝上截肢手术,受伤24小时后出现股骨干骨折和腘动脉撕裂伤,肢体无法挽救。他同侧髋关节存在嵌顿性前下脱位,股骨头软骨严重受损,需要切开复位。随后,他出现了受累髋关节的创伤性关节炎,需要采用微创(MIS)前外侧入路转换为非骨水泥型全髋关节置换术。描述了术前管理、手术技术和术后康复情况,以突出这些下肢截肢患者可能面临的技术挑战,并回顾此类罕见病例的文献。

结论

采用MIS技术对创伤后髋关节关节炎的膝上截肢患者进行全髋关节置换术,是促进早期功能恢复并将手术并发症降至最低的一项令人鼓舞的手术选择。

https://cdn.ncbi.nlm.nih.gov/pmc/blobs/120b/5553831/559b747ff368/JOCR-7-3-g005.jpg
https://cdn.ncbi.nlm.nih.gov/pmc/blobs/120b/5553831/ca31d271bc59/JOCR-7-3-g001.jpg
https://cdn.ncbi.nlm.nih.gov/pmc/blobs/120b/5553831/dbbede585b6a/JOCR-7-3-g002.jpg
https://cdn.ncbi.nlm.nih.gov/pmc/blobs/120b/5553831/678c0c466076/JOCR-7-3-g003.jpg
https://cdn.ncbi.nlm.nih.gov/pmc/blobs/120b/5553831/6d24aaa803c8/JOCR-7-3-g004.jpg
https://cdn.ncbi.nlm.nih.gov/pmc/blobs/120b/5553831/559b747ff368/JOCR-7-3-g005.jpg
https://cdn.ncbi.nlm.nih.gov/pmc/blobs/120b/5553831/ca31d271bc59/JOCR-7-3-g001.jpg
https://cdn.ncbi.nlm.nih.gov/pmc/blobs/120b/5553831/dbbede585b6a/JOCR-7-3-g002.jpg
https://cdn.ncbi.nlm.nih.gov/pmc/blobs/120b/5553831/678c0c466076/JOCR-7-3-g003.jpg
https://cdn.ncbi.nlm.nih.gov/pmc/blobs/120b/5553831/6d24aaa803c8/JOCR-7-3-g004.jpg
https://cdn.ncbi.nlm.nih.gov/pmc/blobs/120b/5553831/559b747ff368/JOCR-7-3-g005.jpg

相似文献

1
Minimally Invasive Total Hip Replacement in an Ipsilateral Post-traumatic above-knee Amputation: A Case Report.同侧创伤后膝上截肢患者的微创全髋关节置换术:一例报告
J Orthop Case Rep. 2017 Mar-Apr;7(2):3-6. doi: 10.13107/jocr.2250-0685.722.
2
Bipolar Hemiarthroplasty in a Patient with above-knee Amputation: Surgical Technique.膝上截肢患者的双极半关节成形术:手术技术
J Orthop Case Rep. 2017 Jan-Feb;7(1):54-57. doi: 10.13107/jocr.2250-0685.686.
3
From Trauma to Triumph: Navigating the Complexities of a Central Hip and Ipsilateral Knee Dislocation with Associated Fractures.从创伤到胜利:应对伴有骨折的中央髋关节和同侧膝关节脱位的复杂性
J Orthop Case Rep. 2024 Jun;14(6):118-124. doi: 10.13107/jocr.2024.v14.i06.4524.
4
When the Going Gets Tough: A Review of Total Hip Arthroplasty in Patients with Ipsilateral Above- and Below-Knee Amputation.当情况变得艰难时:同侧膝上和膝下截肢患者全髋关节置换术的回顾。
Medicina (Kaunas). 2024 Sep 22;60(9):1551. doi: 10.3390/medicina60091551.
5
[Traumatic knee dislocation with popliteal vascular disruption: retrospective study of 14 cases].[伴有腘血管损伤的创伤性膝关节脱位:14例回顾性研究]
Rev Chir Orthop Reparatrice Appar Mot. 2006 Dec;92(8):768-77. doi: 10.1016/s0035-1040(06)75945-1.
6
Ipsilateral above-knee amputation in patient with recurrent dislocation after total hip arthroplasty: A case report.全髋关节置换术后复发性脱位患者的同侧高位大腿截肢:1 例报告。
Jt Dis Relat Surg. 2024 Mar 21;35(2):433-438. doi: 10.52312/jdrs.2023.1419.
7
Total Hip Replacement and Distal Femur Shaft Non-union in a Case of Below-knee Amputation - A Case Report.一例膝下截肢患者的全髋关节置换与股骨干远端骨不连——病例报告
J Orthop Case Rep. 2021 Feb;11(2):102-106. doi: 10.13107/jocr.2021.v11.i02.2046.
8
Ipsilateral hip and knee dislocation: Case report and review of literature.同侧髋膝关节脱位:病例报告及文献综述
J Clin Orthop Trauma. 2016 Apr-Jun;7(2):115-21. doi: 10.1016/j.jcot.2016.02.012. Epub 2016 Mar 8.
9
Ipsilateral Hip and Knee Dislocation with Open Tibial Fracture: A Case Report of a Limb Threatening Injury.同侧髋膝关节脱位合并开放性胫骨骨折:一例肢体威胁性损伤的病例报告
J Orthop Case Rep. 2016 Nov-Dec;6(5):47-50. doi: 10.13107/jocr.2250-0685.626.
10
Total hip replacement in an ipsilateral above-the-knee amputation: surgical technique, rehabilitation, and review of the literature.同侧膝上截肢患者的全髋关节置换术:手术技术、康复及文献综述
Int J Low Extrem Wounds. 2013 Mar;12(1):39-43. doi: 10.1177/1534734613479380. Epub 2013 Feb 26.

引用本文的文献

1
When the Going Gets Tough: A Review of Total Hip Arthroplasty in Patients with Ipsilateral Above- and Below-Knee Amputation.当情况变得艰难时:同侧膝上和膝下截肢患者全髋关节置换术的回顾。
Medicina (Kaunas). 2024 Sep 22;60(9):1551. doi: 10.3390/medicina60091551.
2
Total hip arthroplasty (THA) in a patient with subcapital femoral neck fracture and ipsilateral above-knee amputation: A case report.股骨颈头下骨折合并同侧膝上截肢患者的全髋关节置换术:病例报告。
Trauma Case Rep. 2024 Apr 8;51:101027. doi: 10.1016/j.tcr.2024.101027. eCollection 2024 Jun.
3
Simultaneous above-knee amputation and ipsilateral total hip arthroplasty in a neglected neck of femur fracture with an insensate limb.

本文引用的文献

1
Total hip replacement in an ipsilateral above-the-knee amputation: surgical technique, rehabilitation, and review of the literature.同侧膝上截肢患者的全髋关节置换术:手术技术、康复及文献综述
Int J Low Extrem Wounds. 2013 Mar;12(1):39-43. doi: 10.1177/1534734613479380. Epub 2013 Feb 26.
2
Total hip arthroplasty following an ipsilateral above knee amputation.
Hip Int. 2013 Jan-Feb;23(1):104-7. doi: 10.5301/hipint.5000001.
3
Large femoral heads decrease the incidence of dislocation after total hip arthroplasty: a randomized controlled trial.大头股骨可降低全髋关节置换术后脱位的发生率:一项随机对照试验。
在下肢感觉丧失的情况下,同时进行膝关节以上截肢和同侧全髋关节置换术治疗被忽视的股骨颈骨折。
BMJ Case Rep. 2023 Aug 22;16(8):e255085. doi: 10.1136/bcr-2023-255085.
4
ORIF of an intertrochanteric fracture proximal to an above-knee amputation using two AO femoral distractors.
Trauma Case Rep. 2023 Feb 18;44:100806. doi: 10.1016/j.tcr.2023.100806. eCollection 2023 Apr.
5
Total hip arthroplasty for an intracapsular femoral neck fracture of high-femoral amputee.全髋关节置换术治疗高位股骨截肢患者的囊内股骨颈骨折。
Arch Clin Cases. 2022 Jul 7;9(2):50-55. doi: 10.22551/2022.35.0902.10203. eCollection 2022.
J Bone Joint Surg Am. 2012 Jun 20;94(12):1095-102. doi: 10.2106/JBJS.K.00570.
4
Total hip arthroplasty in above-knee amputees: a case report.膝上截肢者的全髋关节置换术:一例报告。
Am J Orthop (Belle Mead NJ). 2011 Feb;40(2):E17-9.
5
Total hip arthroplasty in a patient with arthrogryphosis and an ipsilateral above knee amputation.患有先天性多发性关节挛缩症且同侧膝上截肢患者的全髋关节置换术。
Hip Int. 2010 Oct-Dec;20(4):559-61. doi: 10.1177/112070001002000424.
6
Prospective and comparative study of the anterolateral mini-invasive approach versus minimally invasive posterior approach for primary total hip replacement. Early results.前路微创入路与微创后路入路行初次全髋关节置换术的前瞻性对比研究。早期结果。
Int Orthop. 2007 Oct;31(5):597-603. doi: 10.1007/s00264-006-0247-z. Epub 2006 Oct 12.
7
Total hip arthroplasty and rehabilitation in ambulatory lower extremity amputees--a case series.非卧床下肢截肢患者的全髋关节置换术与康复——病例系列
Iowa Orthop J. 2005;25:38-41.
8
Prevention and treatment of dislocation after total hip replacement using large diameter balls.使用大直径球头进行全髋关节置换术后脱位的预防与治疗
Clin Orthop Relat Res. 2004 Dec(429):108-16. doi: 10.1097/01.blo.0000150310.25603.26.
9
Mini-incision total hip replacement using an anterolateral approach: technique and results.采用前外侧入路的小切口全髋关节置换术:技术与结果
Orthop Clin North Am. 2004 Apr;35(2):143-51. doi: 10.1016/S0030-5898(03)00111-1.
10
Amputations: no longer the end of the road.
J R Coll Surg Edinb. 2001 Oct;46(5):271-3.