Suppr超能文献

马凡综合征患者由[具体病因未给出]引起的感染性心内膜炎:病例报告及文献简要综述

Infective endocarditis caused by in a patient with Marfan syndrome: Case report and brief literature review.

作者信息

Shalabi Ahmad, Ehrlich Tristan, Schäfers Hans-Joachim, Becker Sören L

机构信息

Department of Thoracic and Cardiovascular Surgery, Saarland University, Homburg/Saar, Germany.

Institute of Medical Microbiology and Hygiene, Saarland University, Homburg/Saar, Germany.

出版信息

IDCases. 2017 Aug 2;10:22-25. doi: 10.1016/j.idcr.2017.07.010. eCollection 2017.

Abstract

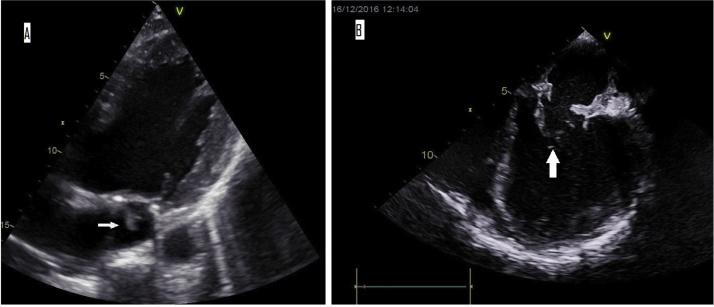
Invasive infections due to have rarely been described and mainly occur in immunocompromised individuals. We report a case of infective endocarditis caused by after previous cardiac surgery in a Lebanese patient with Marfan syndrome. We review the literature and conclude that this pathogen may be of particular medical relevance in the Mediterranean Basin.

摘要

由……引起的侵袭性感染鲜有报道,主要发生在免疫功能低下的个体中。我们报告了一例患有马凡综合征的黎巴嫩患者在先前心脏手术后由……引起的感染性心内膜炎病例。我们回顾了文献并得出结论,这种病原体在地中海盆地可能具有特殊的医学相关性。 (注:原文中“due to”和“caused by”后缺少具体病原体名称)

https://cdn.ncbi.nlm.nih.gov/pmc/blobs/bc2e/5554981/c87d403b6402/gr1.jpg

文献检索

告别复杂PubMed语法,用中文像聊天一样搜索,搜遍4000万医学文献。AI智能推荐,让科研检索更轻松。

立即免费搜索

文件翻译

保留排版,准确专业,支持PDF/Word/PPT等文件格式,支持 12+语言互译。

免费翻译文档

深度研究

AI帮你快速写综述,25分钟生成高质量综述,智能提取关键信息,辅助科研写作。

立即免费体验