Suppr超能文献

1例局部晚期三阴性乳腺癌病例报告:在基于蒽环类药物的新辅助化疗期间疾病进展后,对每周一次紫杉醇联合贝伐单抗治疗显示出病理完全缓解。

A case report of locally advanced triple negative breast cancer showing pathological complete response to weekly paclitaxel with bevacizumab treatment following disease progression during anthracycline-based neoadjuvant chemotherapy.

作者信息

Shigematsu Hideo, Ozaki Shinji, Yasui Daisuke, Hirata Taizo

机构信息

Department of Breast Surgery, National Hospital Organization Kure Medical Center and Chugoku Cancer Center, Kure-City, Hiroshima, Japan.

Department of Breast Surgery, National Hospital Organization Kure Medical Center and Chugoku Cancer Center, Kure-City, Hiroshima, Japan.

出版信息

Int J Surg Case Rep. 2017;39:293-296. doi: 10.1016/j.ijscr.2017.08.055. Epub 2017 Sep 1.

Abstract

INTRODUCTION

Neoadjuvant chemotherapy (NAC) is the standard of care for locally advanced triple negative breast cancer, however, approximately 5% of cases show disease progression during NAC. Although downstaging is essential to create an opportunity for curative surgery and to improve the local control outcome in such a case, no additional line of chemotherapy has been established.

CASE PRESENTATION

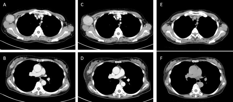
A 60-year-old woman was referred to our hospital for an axillary mass presenting three weeks ago and was diagnosed as having right locally advanced (T2N2M0, stage IIIA) triple negative breast cancer. After two courses of epirubicine and cyclophosphamide as NAC, disease progression was recognized and curative resection was considered impossible due to enlarged axillary lymph nodes showing invasion to surrounding tissue. As second-line chemotherapy, weekly paclitaxel with bevacizumab treatment was initiated and significant shrinkage was immediately obtained. A clinically complete response was diagnosed after four courses of weekly paclitaxel with bevacizumab and she underwent a right breast mastectomy with axillary lymph node dissection without major complications. Histopathological examination of surgical specimens showed no residual invasive or noninvasive disease and she was diagnosed as having a pathological complete response.

CONCLUSIONS

Although the addition of bevacizumab to standard adjuvant chemotherapy is not recommended in unselected triple negative breast cancer, the potent effect on tumor shrinkage should be considered in the treatment of locally advanced triple negative breast cancer showing disease progression during standard NAC.

摘要

引言

新辅助化疗(NAC)是局部晚期三阴性乳腺癌的标准治疗方法,然而,约5%的病例在NAC期间出现疾病进展。尽管降期对于为根治性手术创造机会并改善此类病例的局部控制结果至关重要,但尚未确立额外的化疗方案。

病例报告

一名60岁女性因三周前出现腋窝肿块被转诊至我院,被诊断为右局部晚期(T2N2M0,ⅢA期)三阴性乳腺癌。在接受两疗程表柔比星和环磷酰胺作为NAC治疗后,疾病出现进展,由于腋窝淋巴结肿大并侵犯周围组织,认为无法进行根治性切除。作为二线化疗,开始每周使用紫杉醇联合贝伐单抗治疗,肿瘤立即出现明显缩小。在接受四疗程每周紫杉醇联合贝伐单抗治疗后,诊断为临床完全缓解,她接受了右乳乳房切除术及腋窝淋巴结清扫术,未出现重大并发症。手术标本的组织病理学检查显示无残留浸润性或非浸润性疾病,她被诊断为病理完全缓解。

结论

尽管在未选择的三阴性乳腺癌中不推荐在标准辅助化疗中添加贝伐单抗,但在标准NAC期间出现疾病进展的局部晚期三阴性乳腺癌的治疗中,应考虑其对肿瘤缩小的显著效果。

https://cdn.ncbi.nlm.nih.gov/pmc/blobs/f0a1/5596259/a05a48cea699/gr1.jpg

文献AI研究员

20分钟写一篇综述,助力文献阅读效率提升50倍。

立即体验

用中文搜PubMed

大模型驱动的PubMed中文搜索引擎

马上搜索

文档翻译

学术文献翻译模型,支持多种主流文档格式。

立即体验