Suppr超能文献

中国人群中人类颈动脉粥样硬化斑块中特定肺炎衣原体和巨细胞病毒抗原的检测

Detection of specific Chlamydia pneumoniae and cytomegalovirus antigens in human carotid atherosclerotic plaque in a Chinese population.

作者信息

Cao Jiachao, Mao Yumin, Dong Bo, Guan Wei, Shi Jia, Wang Suinuan

机构信息

Department of Neurosurgery, The Third Affiliated Hospital of Soochow University, Changzhou, China.

出版信息

Oncotarget. 2017 Jul 18;8(33):55435-55442. doi: 10.18632/oncotarget.19314. eCollection 2017 Aug 15.

Abstract

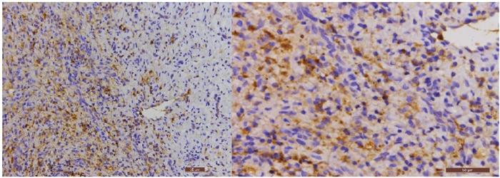
To explore the relationship between certain pathogens, such as chlamydia pneumonia (Cpn) and cytomegalovirus (CMV), and carotid atherosclerosis (AS) in a Chinese population.Twenty-five carotid atherosclerotic stenosis patients from the Beijing Tiantan Hospital (affiliated with Capital Medical University) participated in the study. After undergoing digital subtraction angiography (DSA) and/or computed tomography angiography (CTA), the degree of carotid artery stenosis was over 70% in all cases, and the patients underwent carotid endarterectomy. Plaque specimens were obtained during surgery. The streptavidin-peroxidase (SP) method was used to test the Cpn and CMV antigens in the specimens, and the relationship between the Cpn and CMV pathogen infections and AS was analyzed based on the test results. In the group of 25 carotid atherosclerotic specimens, the detection rate of the Cpn-specific antigens was 84.0% (21/25). In the control group, the detection rate was 13.3% (2/15) in the ascending aortic intima. Thus, the between-group difference was significant (P<0.01). The CMV-specific antigen detection rate was 72.0% (18/25) using the same experimental group specimens, and the detection rate was zero in the control group. Thus, there were significant between-group differences (P<0.01). Due to the high detection rate of Cpn- and CMV-specific antigens in carotid atherosclerotic plaque in a Chinese population, it can be inferred that pathogens such as Cpn and CMV are one factor associated with carotid atherosclerosis.

摘要

探讨在中国人群中某些病原体,如肺炎衣原体(Cpn)和巨细胞病毒(CMV)与颈动脉粥样硬化(AS)之间的关系。来自首都医科大学附属北京天坛医院的25例颈动脉粥样硬化狭窄患者参与了本研究。在接受数字减影血管造影(DSA)和/或计算机断层血管造影(CTA)检查后,所有病例的颈动脉狭窄程度均超过70%,患者接受了颈动脉内膜切除术。手术期间获取斑块标本。采用链霉亲和素-过氧化物酶(SP)法检测标本中的Cpn和CMV抗原,并根据检测结果分析Cpn和CMV病原体感染与AS之间的关系。在25例颈动脉粥样硬化标本组中,Cpn特异性抗原的检出率为84.0%(21/25)。在对照组中,升主动脉内膜的检出率为13.3%(2/15)。因此,组间差异具有统计学意义(P<0.01)。使用相同实验组标本,CMV特异性抗原检出率为72.0%(18/25),对照组检出率为零。因此,组间差异具有统计学意义(P<0.01)。由于在中国人群的颈动脉粥样硬化斑块中Cpn和CMV特异性抗原的检出率较高,可以推断Cpn和CMV等病原体是与颈动脉粥样硬化相关的一个因素。

https://cdn.ncbi.nlm.nih.gov/pmc/blobs/c813/5589670/a87616bedab7/oncotarget-08-55435-g001.jpg

文献AI研究员

20分钟写一篇综述,助力文献阅读效率提升50倍。

立即体验

用中文搜PubMed

大模型驱动的PubMed中文搜索引擎

马上搜索

文档翻译

学术文献翻译模型,支持多种主流文档格式。

立即体验