• 文献检索
  • 文档翻译
  • 深度研究
  • 学术资讯
  • Suppr Zotero 插件Zotero 插件
  • 邀请有礼
  • 套餐&价格
  • 历史记录
应用&插件
Suppr Zotero 插件Zotero 插件浏览器插件Mac 客户端Windows 客户端微信小程序
定价
高级版会员购买积分包购买API积分包
服务
文献检索文档翻译深度研究API 文档MCP 服务
关于我们
关于 Suppr公司介绍联系我们用户协议隐私条款
关注我们

Suppr 超能文献

核心技术专利:CN118964589B侵权必究
粤ICP备2023148730 号-1Suppr @ 2026

文献检索

告别复杂PubMed语法,用中文像聊天一样搜索,搜遍4000万医学文献。AI智能推荐,让科研检索更轻松。

立即免费搜索

文件翻译

保留排版,准确专业,支持PDF/Word/PPT等文件格式,支持 12+语言互译。

免费翻译文档

深度研究

AI帮你快速写综述,25分钟生成高质量综述,智能提取关键信息,辅助科研写作。

立即免费体验

复杂再次手术的巨大夹层主动脉瘤的治疗

Management of a complicated redo giant dissecting aortic aneurysm.

作者信息

Kara Ibrahim, Erkin Alper, Erkengel MHalil Ibrahim, Asil Kiyasettin

机构信息

Department of Cardiovascular Surgery, Faculty of Medicine, Sakarya University, Sakarya, Turkey. Email:

Department of Cardiovascular Surgery, Faculty of Medicine, Sakarya University, Sakarya, Turkey.

出版信息

Cardiovasc J Afr. 2017 Jul 23;28(4):e6-e8. doi: 10.5830/CVJA-2016-087.

DOI:10.5830/CVJA-2016-087
PMID:28906534
原文链接:https://pmc.ncbi.nlm.nih.gov/articles/PMC5646189/
Abstract

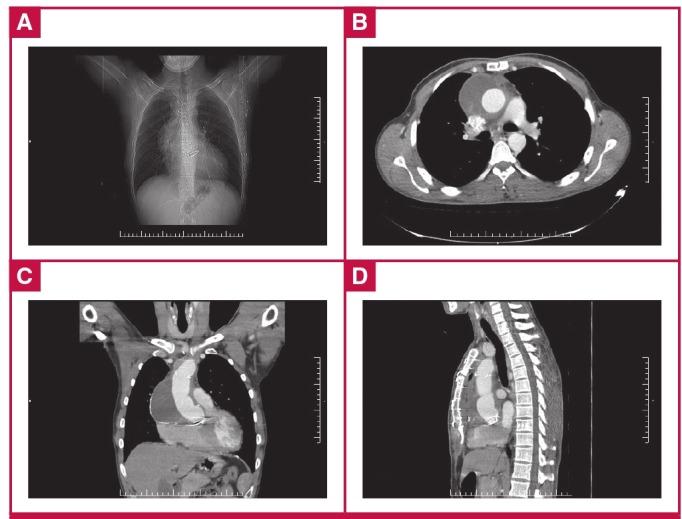
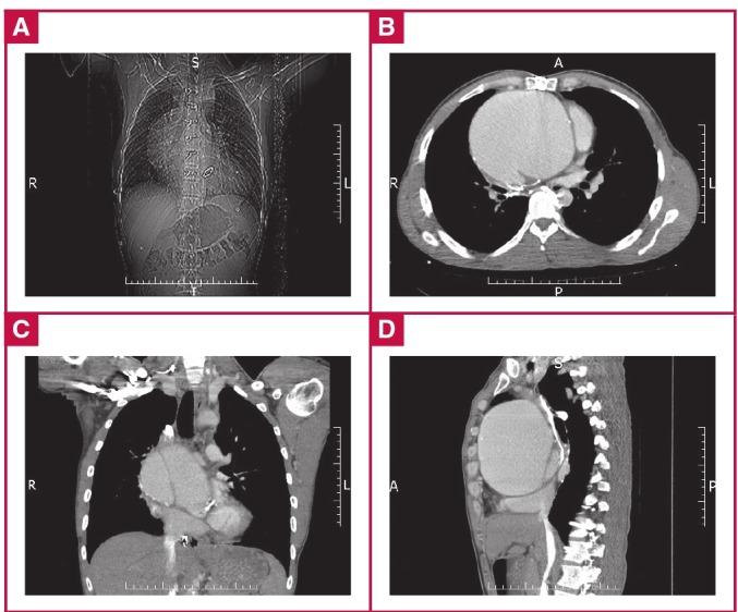
Giant aortic aneurysm is defined as an aneurysm of the aorta of greater than 10 cm in diameter. This rare condition is associated with a high risk of morbidity and mortality and it may lead to fatal complications such as rupture and/or dissection if not managed with proper surgical planning and expertise. Other than atherosclerosis, the main causes of giant ascending aortic aneurysms include Marfan and Ehlers-Danhlos syndromes. Herein we report on a young male patient who had had an aortic valve replacement five years earlier due to a bicuspid aortic valve leading to aortic failure, accompanied by aortic coarctation. He had an aneurysmal expansion rate of 1.81 cm/year to reach a final aneurysmal diameter of 13.25 cm, which, to our knowledge, represents the largest size ever reported in the literature for such lesions, and in which the redo and aneurysmal wall were adjacent to the sternal margins.

摘要

巨大主动脉瘤被定义为直径大于10厘米的主动脉瘤。这种罕见病症与高发病率和死亡率风险相关,如果没有适当的手术规划和专业技术进行处理,可能会导致诸如破裂和/或夹层等致命并发症。除动脉粥样硬化外,巨大升主动脉瘤的主要病因包括马凡综合征和埃勒斯-当洛综合征。在此,我们报告一名年轻男性患者,他五年前因二叶式主动脉瓣导致主动脉功能衰竭并伴有主动脉缩窄而接受了主动脉瓣置换术。他的动脉瘤扩张速率为每年1.81厘米,最终动脉瘤直径达到13.25厘米,据我们所知,这是此类病变在文献中报道的最大尺寸,并且再次手术区域和动脉瘤壁紧邻胸骨边缘。

https://cdn.ncbi.nlm.nih.gov/pmc/blobs/c7f2/5646189/7060850f5968/cvja-28-e7-g003.jpg
https://cdn.ncbi.nlm.nih.gov/pmc/blobs/c7f2/5646189/61e204276a33/cvja-28-e6-g001.jpg
https://cdn.ncbi.nlm.nih.gov/pmc/blobs/c7f2/5646189/3ae39b5aeaf3/cvja-28-e7-g002.jpg
https://cdn.ncbi.nlm.nih.gov/pmc/blobs/c7f2/5646189/7060850f5968/cvja-28-e7-g003.jpg
https://cdn.ncbi.nlm.nih.gov/pmc/blobs/c7f2/5646189/61e204276a33/cvja-28-e6-g001.jpg
https://cdn.ncbi.nlm.nih.gov/pmc/blobs/c7f2/5646189/3ae39b5aeaf3/cvja-28-e7-g002.jpg
https://cdn.ncbi.nlm.nih.gov/pmc/blobs/c7f2/5646189/7060850f5968/cvja-28-e7-g003.jpg

相似文献

1
Management of a complicated redo giant dissecting aortic aneurysm.复杂再次手术的巨大夹层主动脉瘤的治疗
Cardiovasc J Afr. 2017 Jul 23;28(4):e6-e8. doi: 10.5830/CVJA-2016-087.
2
Natural history of 40-50 mm root/ascending aortic aneurysms in the current era of dedicated thoracic aortic clinics.在当前专门的胸主动脉诊所时代,40 - 50毫米根部/升主动脉瘤的自然病史。
Eur J Cardiothorac Surg. 2016 Sep;50(3):562-6. doi: 10.1093/ejcts/ezw123. Epub 2016 Apr 24.
3
Aortic Arch in Marfan Syndrome Repaired Using the XL-stent.使用XL支架修复马凡综合征患者的主动脉弓。
Rev Esp Cardiol (Engl Ed). 2017 Oct;70(10):869. doi: 10.1016/j.rec.2017.03.019. Epub 2017 Apr 25.
4
[Aneurysms of the ascending aorta and aortic arch].升主动脉和主动脉弓动脉瘤
Chirurg. 2014 Sep;85(9):758, 760-66. doi: 10.1007/s00104-014-2716-z.
5
Recovery from very long aortic cross-clamping in redo complex aortic surgery.
Gen Thorac Cardiovasc Surg. 2018 Jun;66(6):361-364. doi: 10.1007/s11748-017-0823-8. Epub 2017 Aug 29.
6
Surgical management of extensive dissecting thoracic aortic aneurysm via the semi-clamshell approach.经半蛤壳式入路对广泛型夹层胸主动脉瘤的外科治疗
Gen Thorac Cardiovasc Surg. 2018 Jun;66(6):315-320. doi: 10.1007/s11748-018-0899-9. Epub 2018 Feb 22.
7
One more method for arterial cannulation in aortic arch surgery ("Penza cannulation").主动脉弓手术中动脉插管的另一种方法(“奔萨插管法”)。
Asian Cardiovasc Thorac Ann. 2018 Sep;26(7):584-586. doi: 10.1177/0218492318799901. Epub 2018 Sep 7.
8
Endovascular Treatment of Distal Aortic Arch Aneurysm Associated with Coarctation of Aorta in a Jehovah's Witness.耶和华见证会患者中远段主动脉弓动脉瘤合并主动脉缩窄的血管内治疗
Tex Heart Inst J. 2017 Dec 19;44(6):399-401. doi: 10.14503/THIJ-16-6093. eCollection 2017 Dec.
9
Hybrid aortic arch repair for dissecting aneurysm.杂交主动脉弓修复术治疗夹层动脉瘤。
J Thorac Cardiovasc Surg. 2016 Jul;152(1):162-8. doi: 10.1016/j.jtcvs.2016.03.020. Epub 2016 Mar 12.
10
Natural history of thoracic aortic aneurysms: indications for surgery, and surgical versus nonsurgical risks.胸主动脉瘤的自然病史:手术指征以及手术与非手术风险
Ann Thorac Surg. 2002 Nov;74(5):S1877-80; discussion S1892-8. doi: 10.1016/s0003-4975(02)04147-4.

引用本文的文献

1
Inflammatory Markers and Aortic Aneurysms: Exploring the Role of Hs-CRP and MHR in Ascending Aortic Aneurysm Development.炎症标志物与主动脉瘤:探讨超敏C反应蛋白和单核细胞与高密度脂蛋白胆固醇比值在升主动脉瘤发展中的作用。
Int J Gen Med. 2024 Jul 1;17:2899-2905. doi: 10.2147/IJGM.S465873. eCollection 2024.
2
A Case Report of Giant Ascending Aortic Aneurysm: Role of Multimodality Imaging.巨大升主动脉瘤病例报告:多模态成像的作用
Aorta (Stamford). 2021 Jun;9(3):106-109. doi: 10.1055/s-0041-1730005. Epub 2021 Oct 12.

本文引用的文献

1
2010 ACCF/AHA/AATS/ACR/ASA/SCA/SCAI/SIR/STS/SVM Guidelines for the diagnosis and management of patients with thoracic aortic disease. A Report of the American College of Cardiology Foundation/American Heart Association Task Force on Practice Guidelines, American Association for Thoracic Surgery, American College of Radiology,American Stroke Association, Society of Cardiovascular Anesthesiologists, Society for Cardiovascular Angiography and Interventions, Society of Interventional Radiology, Society of Thoracic Surgeons,and Society for Vascular Medicine.2010年美国心脏病学会基金会/美国心脏协会/美国胸外科医师协会/美国放射学会/美国卒中协会/心血管麻醉医师协会/心血管造影和介入学会/介入放射学会/胸外科医师学会/血管医学学会胸主动脉疾病患者诊断和管理指南。美国心脏病学会基金会/美国心脏协会实践指南工作组、美国胸外科协会、美国放射学会、美国卒中协会、心血管麻醉医师协会、心血管造影和介入学会、介入放射学会、胸外科医师学会及血管医学学会报告。
J Am Coll Cardiol. 2010 Apr 6;55(14):e27-e129. doi: 10.1016/j.jacc.2010.02.015.
2
Ascending aortic dilatation associated with bicuspid aortic valve: pathophysiology, molecular biology, and clinical implications.与二叶式主动脉瓣相关的升主动脉扩张:病理生理学、分子生物学及临床意义。
Circulation. 2009 Feb 17;119(6):880-90. doi: 10.1161/CIRCULATIONAHA.108.795401.
3
Giant ascending aortic aneurysm--a case report and review.
Heart Lung Circ. 2007 Oct;16(5):385-8. doi: 10.1016/j.hlc.2006.09.009. Epub 2007 Feb 20.
4
The risk of rupture in untreated aneurysms: the impact of size, gender, and expansion rate.未治疗动脉瘤的破裂风险:大小、性别及扩张率的影响
J Vasc Surg. 2003 Feb;37(2):280-4. doi: 10.1067/mva.2003.119.
5
Natural history of thoracic aortic aneurysms: indications for surgery, and surgical versus nonsurgical risks.胸主动脉瘤的自然病史:手术指征以及手术与非手术风险
Ann Thorac Surg. 2002 Nov;74(5):S1877-80; discussion S1892-8. doi: 10.1016/s0003-4975(02)04147-4.
6
Risk factors for aortic dissection: a necropsy study of 161 cases.主动脉夹层的危险因素:161例尸检研究
Am J Cardiol. 1984 Mar 1;53(6):849-55. doi: 10.1016/0002-9149(84)90418-1.
7
Dissecting aortic aneurysm associated with congenital bicuspid aortic valve.
Circulation. 1978 May;57(5):1022-5. doi: 10.1161/01.cir.57.5.1022.