• 文献检索
  • 文档翻译
  • 深度研究
  • 学术资讯
  • Suppr Zotero 插件Zotero 插件
  • 邀请有礼
  • 套餐&价格
  • 历史记录
应用&插件
Suppr Zotero 插件Zotero 插件浏览器插件Mac 客户端Windows 客户端微信小程序
定价
高级版会员购买积分包购买API积分包
服务
文献检索文档翻译深度研究API 文档MCP 服务
关于我们
关于 Suppr公司介绍联系我们用户协议隐私条款
关注我们

Suppr 超能文献

核心技术专利:CN118964589B侵权必究
粤ICP备2023148730 号-1Suppr @ 2026

文献检索

告别复杂PubMed语法,用中文像聊天一样搜索,搜遍4000万医学文献。AI智能推荐,让科研检索更轻松。

立即免费搜索

文件翻译

保留排版,准确专业,支持PDF/Word/PPT等文件格式,支持 12+语言互译。

免费翻译文档

深度研究

AI帮你快速写综述,25分钟生成高质量综述,智能提取关键信息,辅助科研写作。

立即免费体验

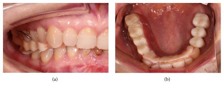
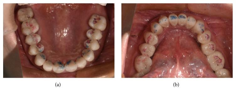
重度磨损牙合并前牙深覆(牙合)的固定修复方案

The Protocol of Fixed Reconstruction for Severely Worn Teeth Combined with Anterior Deep Bite.

作者信息

Zhao Ya-Wen, Gao Rong, Sun Hui-Qiang

机构信息

College of Stomatology, Shandong University, Jinan, Shandong 250012, China.

Shandong Provincial Key Laboratory of Oral Biomedicine, Shandong 250012, China.

出版信息

Case Rep Dent. 2017;2017:9378091. doi: 10.1155/2017/9378091. Epub 2017 Aug 23.

DOI:10.1155/2017/9378091
PMID:28912979
原文链接:https://pmc.ncbi.nlm.nih.gov/articles/PMC5587923/
Abstract

Full mouth reconstruction is one of the most effective methods to restore severe worn teeth that have suffered reduced vertical dimension. Although the use of the overlay splint restoration for a trial period allowing the patient to adapt to an increased vertical dimension is the recognized method, the specific protocol from the transitional splint to the fixed reconstruction is yet to be established. This case report describes a 50-year-old female patient who has severely worn teeth combined with an anterior deep bite and chewing pain. The protocol of the treatment process is described.

摘要

全口重建是恢复垂直距离降低的严重磨损牙齿的最有效方法之一。尽管使用覆盖式夹板修复进行一段时间的试验,让患者适应增加的垂直距离是公认的方法,但从过渡性夹板到固定重建的具体方案尚未确立。本病例报告描述了一名50岁女性患者,其牙齿严重磨损,伴有前牙深覆合和咀嚼疼痛。文中描述了治疗过程的方案。

https://cdn.ncbi.nlm.nih.gov/pmc/blobs/4a8f/5587923/cf0ab82d2f47/CRID2017-9378091.009.jpg
https://cdn.ncbi.nlm.nih.gov/pmc/blobs/4a8f/5587923/2356a6faf41f/CRID2017-9378091.001.jpg
https://cdn.ncbi.nlm.nih.gov/pmc/blobs/4a8f/5587923/1e0beff2e2d4/CRID2017-9378091.002.jpg
https://cdn.ncbi.nlm.nih.gov/pmc/blobs/4a8f/5587923/cae58469d9ae/CRID2017-9378091.003.jpg
https://cdn.ncbi.nlm.nih.gov/pmc/blobs/4a8f/5587923/9c9f0b29afb1/CRID2017-9378091.004.jpg
https://cdn.ncbi.nlm.nih.gov/pmc/blobs/4a8f/5587923/425717a0a1aa/CRID2017-9378091.005.jpg
https://cdn.ncbi.nlm.nih.gov/pmc/blobs/4a8f/5587923/4db25b3db65a/CRID2017-9378091.006.jpg
https://cdn.ncbi.nlm.nih.gov/pmc/blobs/4a8f/5587923/bac35031ceba/CRID2017-9378091.007.jpg
https://cdn.ncbi.nlm.nih.gov/pmc/blobs/4a8f/5587923/2451ba09b787/CRID2017-9378091.008.jpg
https://cdn.ncbi.nlm.nih.gov/pmc/blobs/4a8f/5587923/cf0ab82d2f47/CRID2017-9378091.009.jpg
https://cdn.ncbi.nlm.nih.gov/pmc/blobs/4a8f/5587923/2356a6faf41f/CRID2017-9378091.001.jpg
https://cdn.ncbi.nlm.nih.gov/pmc/blobs/4a8f/5587923/1e0beff2e2d4/CRID2017-9378091.002.jpg
https://cdn.ncbi.nlm.nih.gov/pmc/blobs/4a8f/5587923/cae58469d9ae/CRID2017-9378091.003.jpg
https://cdn.ncbi.nlm.nih.gov/pmc/blobs/4a8f/5587923/9c9f0b29afb1/CRID2017-9378091.004.jpg
https://cdn.ncbi.nlm.nih.gov/pmc/blobs/4a8f/5587923/425717a0a1aa/CRID2017-9378091.005.jpg
https://cdn.ncbi.nlm.nih.gov/pmc/blobs/4a8f/5587923/4db25b3db65a/CRID2017-9378091.006.jpg
https://cdn.ncbi.nlm.nih.gov/pmc/blobs/4a8f/5587923/bac35031ceba/CRID2017-9378091.007.jpg
https://cdn.ncbi.nlm.nih.gov/pmc/blobs/4a8f/5587923/2451ba09b787/CRID2017-9378091.008.jpg
https://cdn.ncbi.nlm.nih.gov/pmc/blobs/4a8f/5587923/cf0ab82d2f47/CRID2017-9378091.009.jpg

相似文献

1
The Protocol of Fixed Reconstruction for Severely Worn Teeth Combined with Anterior Deep Bite.重度磨损牙合并前牙深覆(牙合)的固定修复方案
Case Rep Dent. 2017;2017:9378091. doi: 10.1155/2017/9378091. Epub 2017 Aug 23.
2
Full mouth rehabilitation of the patient with severely worn dentition: a case report.严重磨损牙列患者的全口修复:病例报告。
J Adv Prosthodont. 2010 Sep;2(3):106-10. doi: 10.4047/jap.2010.2.3.106. Epub 2010 Sep 30.
3
Full mouth rehabilitation of a patient with reduced vertical dimension using multiple metal ce ramic restorations.使用多种金属陶瓷修复体对垂直距离减小的患者进行全口修复。
Contemp Clin Dent. 2013 Oct;4(4):531-5. doi: 10.4103/0976-237X.123066.
4
Functional and aesthetical full-mouth rehabilitation of a patient with severely worn dentition and deep bite using minimally invasive approach in current vertical dimension: A 3-year follow-up.采用微创方法在当前垂直距离下对一名牙列严重磨损和深覆合患者进行功能与美学全口修复:3年随访
Clin Case Rep. 2023 Nov 27;11(12):e8257. doi: 10.1002/ccr3.8257. eCollection 2023 Dec.
5
Rehabilitation of a deep bite patient with worn dentition using minimally invasive approach: A 3-year follow-up.采用微创方法对牙列磨损的深覆牙合患者进行修复:3年随访
Clin Case Rep. 2021 Nov 22;9(11):e05121. doi: 10.1002/ccr3.5121. eCollection 2021 Nov.
6
Alternative restorative approach for treatment of patient with extremely worn dentition.治疗牙列重度磨耗患者的替代性修复方法。
N Y State Dent J. 2009 Aug-Sep;75(5):52-5.
7
Reestablishment of occlusion through overlay removable partial dentures: a case report.通过覆盖式可摘局部义齿重建咬合:一例报告
Braz Dent J. 2012;23(2):172-4. doi: 10.1590/s0103-64402012000200014.
8
Full-mouth rehabilitation of a patient with severely worn dentition and uneven occlusal plane: a clinical report.全口修复严重磨损牙列和非均匀咬合平面的患者:临床报告。
J Prosthodont. 2012 Jan;21(1):56-64. doi: 10.1111/j.1532-849X.2011.00765.x. Epub 2011 Oct 7.
9
Full Mouth Reconstruction of a Bruxer with Severely Worn Dentition: A Clinical Report.一位磨牙症患者严重磨损牙列的全口重建:临床报告
Case Rep Dent. 2015;2015:531618. doi: 10.1155/2015/531618. Epub 2015 Jul 1.
10
Full-mouth rehabilitation of a patient with severe deep bite: a clinical report.重度深覆合患者的全口修复:一份临床报告。
J Prosthodont. 2014 Jul;23(5):406-11. doi: 10.1111/jopr.12113. Epub 2014 Jan 6.

引用本文的文献

1
Importance of an Evaluation Phase When Increasing the Occlusal Vertical Dimension: A Systematic Review.增加咬合垂直距离时评估阶段的重要性:一项系统评价
J Esthet Restor Dent. 2025 Mar;37(3):669-689. doi: 10.1111/jerd.13331. Epub 2024 Oct 15.
2
Treatment decisions of patients with Class II Division 2 malocclusion and severe tooth wear: a systematic review.Ⅱ类2分类错牙合畸形及严重牙齿磨损患者的治疗决策:一项系统评价
BDJ Open. 2024 Aug 13;10(1):65. doi: 10.1038/s41405-024-00248-x.
3
New clinical application of digital intraoral scanning technology in occlusal reconstruction: A case report.

本文引用的文献

1
Orthodontic and surgical management of a patient with severe skeletal Class II deformity and facial asymmetry: A case report with a 5-year follow-up.严重骨性II类错畸形伴面部不对称患者的正畸与外科治疗:一例5年随访病例报告
Am J Orthod Dentofacial Orthop. 2017 Apr;151(4):779-792. doi: 10.1016/j.ajodo.2016.02.034.
2
Diagnostic features of Angle's Class II div 2 malocclusion.安氏II类2分类错牙合畸形的诊断特征。
J Int Soc Prev Community Dent. 2015 Nov-Dec;5(6):513-7. doi: 10.4103/2231-0762.170528.
3
Tooth wear: a systematic review of treatment options.
数字化口内扫描技术在咬合重建中的新临床应用:一例报告。
World J Clin Cases. 2023 May 26;11(15):3522-3532. doi: 10.12998/wjcc.v11.i15.3522.
牙齿磨损:治疗选择的系统评价
J Prosthet Dent. 2014 Oct;112(4):752-9. doi: 10.1016/j.prosdent.2014.01.018. Epub 2014 Apr 12.
4
Fixed prosthodontic rehabilitation in a wear patient with Fabry's disease.费伯氏病(Fabry's disease)患者牙齿磨损行固定义齿修复
J Prosthodont. 2011 Oct;20 Suppl 2:S2-8. doi: 10.1111/j.1532-849X.2011.00764.x.
5
Full mouth rehabilitation of the patient with severely worn dentition: a case report.严重磨损牙列患者的全口修复:病例报告。
J Adv Prosthodont. 2010 Sep;2(3):106-10. doi: 10.4047/jap.2010.2.3.106. Epub 2010 Sep 30.
6
Use of a modified anterior inclined plane in the treatment on the dentoskeletal Class II division 2 patient.改良前斜面在牙颌面Ⅱ类2分类患者治疗中的应用。
J Indian Soc Pedod Prev Dent. 2010 Jul-Sep;28(3):237-40. doi: 10.4103/0970-4388.73782.
7
Tooth wear treated with direct composite restorations at an increased vertical dimension: results at 30 months.在增加垂直距离的情况下用直接复合树脂修复治疗牙齿磨损:30个月的结果。
J Prosthet Dent. 2000 Mar;83(3):287-93. doi: 10.1016/s0022-3913(00)70130-2.
8
Partial dentures for patients with advanced tooth wear.针对重度牙齿磨损患者的局部义齿
Dent Update. 1995 Mar;22(2):52-9.
9
An alternative treatment with the overlay removable partial denture: a clinical report.覆盖可摘局部义齿的替代治疗:一份临床报告。
J Prosthet Dent. 1998 Mar;79(3):249-53. doi: 10.1016/s0022-3913(98)70232-x.
10
Involvement of dental occlusion and trigeminal neuralgia: a clinical report.牙合与三叉神经痛的关系:一份临床报告。
J Prosthet Dent. 1997 Apr;77(4):343-5. doi: 10.1016/s0022-3913(97)70155-0.