Moody Hannah L, Lind Michael J, Maher Stephen G
School of Life Sciences, University of Hull, Hull HU6 7RX, UK; Hull York Medical School, Hull HU6 7RX, UK.
Hull York Medical School, Hull HU6 7RX, UK; Centre for Oncology and Haematology, Castle Hill Hospital, Hull and East Yorkshire NHS Trust, Cottingham HU16 5JQ, UK.
Mol Ther Nucleic Acids. 2017 Sep 15;8:317-329. doi: 10.1016/j.omtn.2017.07.001. Epub 2017 Jul 8.
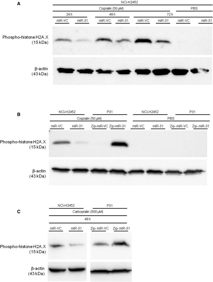
Malignant pleural mesothelioma (MPM) is associated with an extremely poor prognosis, and most patients initially are or rapidly become unresponsive to platinum-based chemotherapy. MicroRNA-31 (miR-31) is encoded on a genomic fragile site, 9p21.3, which is reportedly lost in many MPM tumors. Based on previous findings in a variety of other cancers, we hypothesized that miR-31 alters chemosensitivity and that miR-31 reconstitution may influence sensitivity to chemotherapeutics in MPM. Reintroduction of miR-31 into miR-31 null NCI-H2452 cells significantly enhanced clonogenic resistance to cisplatin and carboplatin. Although miR-31 re-expression increased chemoresistance, paradoxically, a higher relative intracellular accumulation of platinum was detected. This was coupled to a significantly decreased intranuclear concentration of platinum. Linked with a downregulation of OCT1, a bipotential transcriptional regulator with multiple miR-31 target binding sites, we subsequently identified an indirect miR-31-mediated upregulation of ABCB9, a transporter associated with drug accumulation in lysosomes, and increased uptake of platinum to lysosomes. However, when overexpressed directly, ABCB9 promoted cellular chemosensitivity, suggesting that miR-31 promotes chemoresistance largely via an ABCB9-independent mechanism. Overall, our data suggest that miR-31 loss from MPM tumors promotes chemosensitivity and may be prognostically beneficial in the context of therapeutic sensitivity.
恶性胸膜间皮瘤(MPM)的预后极差,大多数患者最初对铂类化疗药物无反应或很快就会变得无反应。微小RNA-31(miR-31)编码于基因组脆弱位点9p21.3,据报道,在许多MPM肿瘤中该位点缺失。基于此前在多种其他癌症中的研究发现,我们推测miR-31会改变化疗敏感性,且miR-31的重新表达可能会影响MPM对化疗药物的敏感性。将miR-31重新导入miR-31缺失的NCI-H2452细胞中,可显著增强对顺铂和卡铂的克隆抗性。虽然miR-31的重新表达增加了化疗抗性,但矛盾的是,检测到细胞内铂的相对积累量更高。这与细胞核内铂浓度的显著降低相关。与OCT1(一种具有多个miR-31靶标结合位点的双潜能转录调节因子)的下调相关,我们随后鉴定出miR-31间接介导的ABCB9上调,ABCB9是一种与溶酶体中药物积累相关的转运蛋白,可增加铂向溶酶体的摄取。然而,当直接过表达时,ABCB9可促进细胞的化疗敏感性,这表明miR-31主要通过一种不依赖ABCB9的机制促进化疗抗性。总体而言,我们的数据表明,MPM肿瘤中miR-31的缺失可促进化疗敏感性,在治疗敏感性方面可能具有预后益处。