Suppr超能文献

一名有急性髓系白血病病史的患者发生睾丸绿色瘤。

Chloroma of the testis in a patient with a history of acute myeloid leukemia.

作者信息

Sanei Mohammad Hossein, Shariati Matin

机构信息

Department of Pathology, School of Medicine, Isfahan University of Medical Sciences, Isfahan, Iran.

出版信息

J Res Med Sci. 2017 Jul 28;22:83. doi: 10.4103/jrms.JRMS_981_16. eCollection 2017.

Abstract

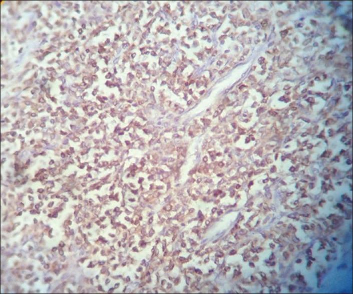
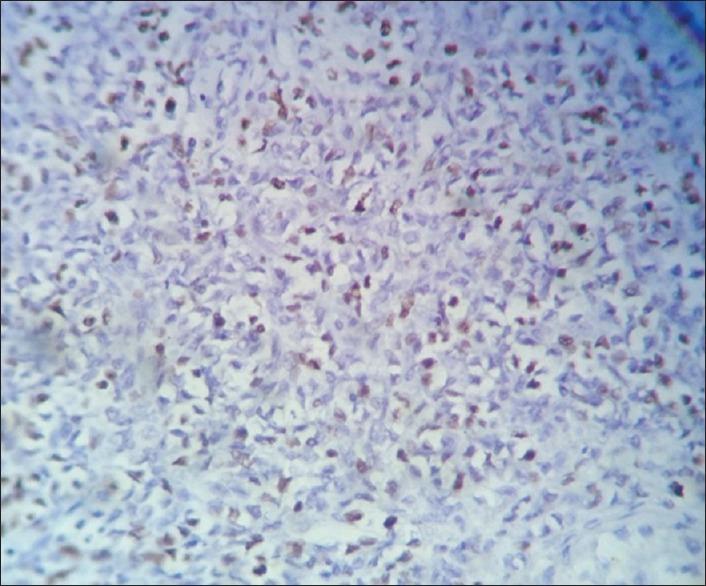
Chloroma, or granulocytic sarcoma, is a rare extramedullary solid hematologic cancer, found concomitant with acute myeloid leukemia. It is infrequently associated with other myeloproliferative disorders or chronic myelogenous leukemia. Chloroma of the testis after allogeneic bone marrow transplantation is particularly sparsely represented in the literature. It is suggested that an appropriate panel of marker studies be performed along with clinical correlation and circumspection to avoid misleading conclusions. We report an interesting case of a 32-year-old male with a clinical history of acute myelogenous leukemia, postallogeneic peripheral blood stem cell transplantation that was found to have chloroma of the right testis.

摘要

绿色瘤,即粒细胞肉瘤,是一种罕见的髓外实性血液系统癌症,常与急性髓系白血病同时出现。它很少与其他骨髓增殖性疾病或慢性粒细胞白血病相关。异基因骨髓移植后发生的睾丸绿色瘤在文献中的报道尤为稀少。建议进行适当的标志物研究,并结合临床情况谨慎判断,以避免得出误导性结论。我们报告了一例有趣的病例,一名32岁男性,有急性髓系白血病病史,在接受异基因外周血干细胞移植后,被发现右侧睾丸患有绿色瘤。

https://cdn.ncbi.nlm.nih.gov/pmc/blobs/9f94/5553242/4fdd9838d67a/JRMS-22-83-g001.jpg

文献AI研究员

20分钟写一篇综述,助力文献阅读效率提升50倍。

立即体验

用中文搜PubMed

大模型驱动的PubMed中文搜索引擎

马上搜索

文档翻译

学术文献翻译模型,支持多种主流文档格式。

立即体验