Suppr超能文献

Portal vein thrombosis after laparoscopic total colectomy for colonic inertia.

作者信息

Dilday Joshua, Sirkin Maxwell, McKinnon Chelsey, Brown Shaun

机构信息

William Beaumont Army Medical Center, Fort Bliss, El Paso, TX 79920, USA.

出版信息

J Surg Case Rep. 2017 Aug 31;2017(8):rjx075. doi: 10.1093/jscr/rjx075. eCollection 2017 Aug.

Abstract

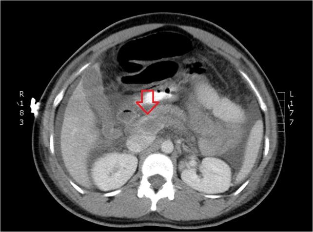
Portal vein thrombosis (PVT) has been recently documented after a variety of laparoscopic surgeries. Although it is well established in splenectomies, its prevalence in other laparoscopic procedures is rare. PVT in colectomies has been associated with inflammatory processes, such as ulcerative colitis and diverticulitis. We report a case of postoperative PVT following a total abdominal colectomy for colonic inertia. A 27-year-old female underwent an uneventful elective laparoscopic total colectomy with ileorectal anastomosis for colonic inertia, and presented on postoperative day (POD) 3 with obstipation, abdominal distention and emesis. Her abdominal pain increased on POD 4 and computed tomography revealed PVT. PVT following laparoscopic surgery is rare in cases not involving the spleen. Although previously seen in colectomies for inflammatory conditions, it can present after colonic inertia. A high index of suspicion should be maintained to diagnosis this rare complication.

摘要
https://cdn.ncbi.nlm.nih.gov/pmc/blobs/f4d6/5597789/78c5802fcc04/rjx075f01.jpg

文献AI研究员

20分钟写一篇综述,助力文献阅读效率提升50倍。

立即体验

用中文搜PubMed

大模型驱动的PubMed中文搜索引擎

马上搜索

文档翻译

学术文献翻译模型,支持多种主流文档格式。

立即体验