Suppr超能文献

摆式矫治器与琼斯矫治器的比较:一项前瞻性对照研究。

Comparison of the Pendulum appliance and the Jones Jig: A prospective comparative study.

作者信息

Shetty Sushruth, Maurya Rajkumar, Raj H V Pruthvi, Patil Anand

机构信息

Department of Orthodontics, Maaruti Dental College, Bengaluru, Karnataka, India.

Department of Orthodontics, ADC (R & R), Delhi, India.

出版信息

Eur J Dent. 2017 Jul-Sep;11(3):323-329. doi: 10.4103/ejd.ejd_295_16.

Abstract

OBJECTIVE

To compare two molar distalization devices, the Pendulum appliance (PA) and the Jones Jig (JJ) in dental Class II patients.

MATERIALS AND METHODS

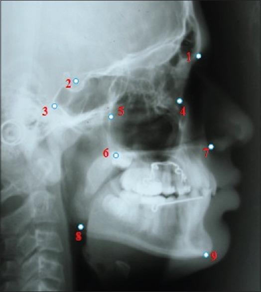
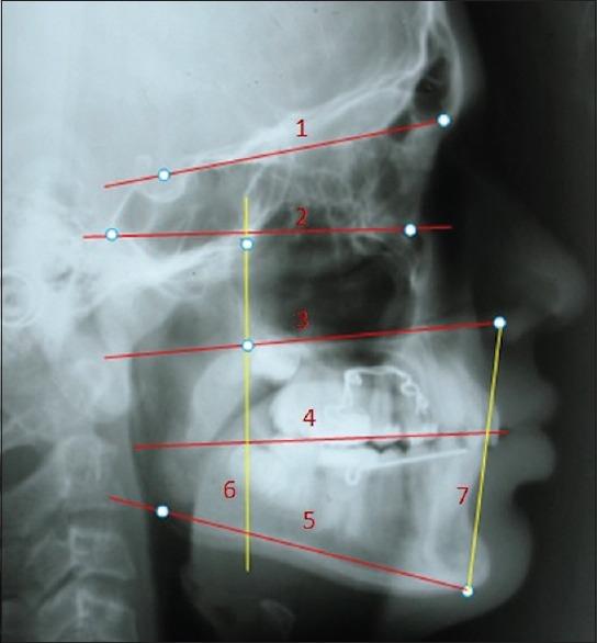
Pretreatment and postdistalization lateral cephalograms and study models of 20 subjects (6 males, 14 females) Class II malocclusion subjects were examined. PA and JJ group both consisted of 10 patients each with a mean pretreatment age of 12 years 1 month for females and 12 years 5 months for males. The PA and the JJ appliance were activated once in a month until Class II molar relationship was corrected to a super Class I molar relationship in both groups. Initial and final measurements and treatment changes were compared by means of Paired -test.

RESULTS

Maxillary first molar distalized an average of 3.85 mm in the PA and 2.75 mm in the JJ between T1 and T2; rate of molar distalization was 1.59 mm/month for PA, and the JJ appliance averaged 0.88 mm/month, distal molar tipping was greater in PA (6.2°) than in the JJ (3.9°). Average mesial movement of the premolars was 2.2 mm with PA and JJ both. JJ showed a greater rotation of first molars after distalization as compared to PA. The increase in vertical facial height was also greater for JJ as compared to PA.

CONCLUSIONS

Both the appliances were effective in molar distalization with PA requiring less distalization time (16 days less than JJ). Some adverse effects were noted with both which one should strive to control.

摘要

目的

比较两种用于矫治Ⅱ类错牙合患者的磨牙远移装置,即摆式矫治器(PA)和琼斯矫治器(JJ)。

材料与方法

对20名Ⅱ类错牙合患者(6名男性,14名女性)治疗前和远移治疗后的头颅侧位片及研究模型进行检查。PA组和JJ组各有10例患者,女性患者治疗前平均年龄为12岁1个月,男性患者为12岁5个月。PA矫治器和JJ矫治器均每月激活一次,直至两组的Ⅱ类磨牙关系均矫正为超Ⅰ类磨牙关系。通过配对t检验比较初始测量值、最终测量值及治疗变化。

结果

在T1和T2之间,PA组上颌第一磨牙平均远移3.85 mm,JJ组为2.75 mm;PA组磨牙远移速率为1.59 mm/月,JJ矫治器平均为0.88 mm/月,PA组磨牙远中倾斜度(6.2°)大于JJ组(3.9°)。PA组和JJ组前磨牙平均近中移动量均为2.2 mm。与PA组相比,JJ组第一磨牙远移后旋转度更大。与PA组相比,JJ组垂直面部高度增加也更大。

结论

两种矫治器在磨牙远移方面均有效,PA组所需远移时间更短(比JJ组少16天)。两种矫治器均存在一些不良反应,应努力加以控制。

https://cdn.ncbi.nlm.nih.gov/pmc/blobs/6e48/5594960/ff4ae6f0f034/EJD-11-323-g001.jpg

文献AI研究员

20分钟写一篇综述,助力文献阅读效率提升50倍。

立即体验

用中文搜PubMed

大模型驱动的PubMed中文搜索引擎

马上搜索

文档翻译

学术文献翻译模型,支持多种主流文档格式。

立即体验