• 文献检索
  • 文档翻译
  • 深度研究
  • 学术资讯
  • Suppr Zotero 插件Zotero 插件
  • 邀请有礼
  • 套餐&价格
  • 历史记录
应用&插件
Suppr Zotero 插件Zotero 插件浏览器插件Mac 客户端Windows 客户端微信小程序
定价
高级版会员购买积分包购买API积分包
服务
文献检索文档翻译深度研究API 文档MCP 服务
关于我们
关于 Suppr公司介绍联系我们用户协议隐私条款
关注我们

Suppr 超能文献

核心技术专利:CN118964589B侵权必究
粤ICP备2023148730 号-1Suppr @ 2026

文献检索

告别复杂PubMed语法,用中文像聊天一样搜索,搜遍4000万医学文献。AI智能推荐,让科研检索更轻松。

立即免费搜索

文件翻译

保留排版,准确专业,支持PDF/Word/PPT等文件格式,支持 12+语言互译。

免费翻译文档

深度研究

AI帮你快速写综述,25分钟生成高质量综述,智能提取关键信息,辅助科研写作。

立即免费体验

将中和性抗C5抗体靶向递送至肾内皮可预防补体依赖性组织损伤。

Targeted Delivery of Neutralizing Anti-C5 Antibody to Renal Endothelium Prevents Complement-Dependent Tissue Damage.

作者信息

Durigutto Paolo, Sblattero Daniele, Biffi Stefania, De Maso Luca, Garrovo Chiara, Baj Gabriele, Colombo Federico, Fischetti Fabio, Di Naro Antonio F, Tedesco Francesco, Macor Paolo

机构信息

Department of Life Sciences, University of Trieste, Trieste, Italy.

Institute for Maternal and Child Health-IRCCS "Burlo Garofolo", Trieste, Italy.

出版信息

Front Immunol. 2017 Sep 6;8:1093. doi: 10.3389/fimmu.2017.01093. eCollection 2017.

DOI:10.3389/fimmu.2017.01093
PMID:28932227
原文链接:https://pmc.ncbi.nlm.nih.gov/articles/PMC5592221/
Abstract

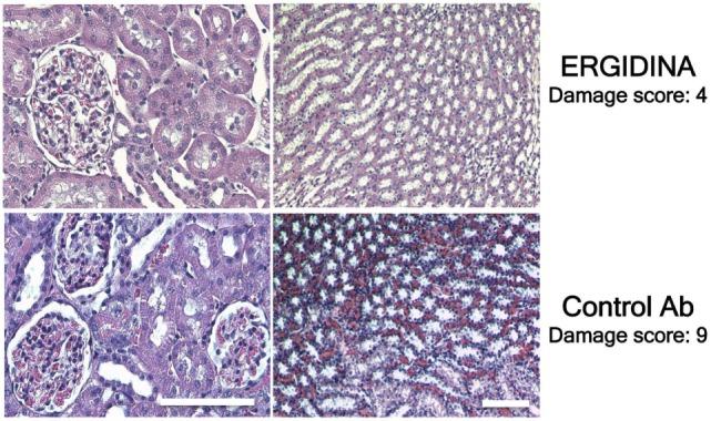
Complement activation is largely implicated in the pathogenesis of several clinical conditions and its therapeutic neutralization has proven effective in preventing tissue and organ damage. A problem that still needs to be solved in the therapeutic control of complement-mediated diseases is how to avoid side effects associated with chronic neutralization of the complement system, in particular, the increased risk of infections. We addressed this issue developing a strategy based on the preferential delivery of a C5 complement inhibitor to the organ involved in the pathologic process. To this end, we generated Ergidina, a neutralizing recombinant anti-C5 human antibody coupled with a cyclic-RGD peptide, with a distinctive homing property for ischemic endothelial cells and effective in controlling tissue damage in a rat model of renal ischemia/reperfusion injury (IRI). As a result of its preferential localization on renal endothelium, the molecule induced complete inhibition of complement activation at tissue level, and local protection from complement-mediated tissue damage without affecting circulating C5. The binding of Ergidina to surgically removed kidney exposed to cold ischemia supports its therapeutic use to prevent posttransplant IRI leading to delay of graft function. Moreover, the finding that the binding of Ergidina was not restricted to the kidney, but was also seen on ischemic heart, suggests that this RGD-targeted anti-C5 antibody may represent a useful tool to treat organs prior to transplantation. Based on this evidence, we propose preliminary data showing that Ergidina is a novel targeted drug to prevent complement activation on the endothelium of ischemic kidney.

摘要

补体激活在多种临床病症的发病机制中起重要作用,事实证明对其进行治疗性中和可有效预防组织和器官损伤。在补体介导疾病的治疗控制中仍需解决的一个问题是如何避免与补体系统长期中和相关的副作用,尤其是感染风险增加的问题。我们通过开发一种基于将C5补体抑制剂优先递送至参与病理过程的器官的策略来解决这个问题。为此,我们制备了Ergidina,这是一种与环状RGD肽偶联的中和性重组抗C5人抗体,对缺血内皮细胞具有独特的归巢特性,并且在肾缺血/再灌注损伤(IRI)大鼠模型中有效控制组织损伤。由于其优先定位于肾内皮,该分子在组织水平诱导补体激活的完全抑制,并在不影响循环C5的情况下对补体介导的组织损伤提供局部保护。Ergidina与手术切除的经历冷缺血的肾脏的结合支持其用于预防移植后IRI导致移植肾功能延迟的治疗用途。此外,Ergidina的结合不仅限于肾脏,在缺血心脏中也可见,这一发现表明这种RGD靶向抗C5抗体可能是移植前治疗器官的有用工具。基于这些证据,我们提出的初步数据表明Ergidina是一种新型靶向药物,可预防缺血性肾脏内皮上的补体激活。

https://cdn.ncbi.nlm.nih.gov/pmc/blobs/b3fe/5592221/bf651a1e4784/fimmu-08-01093-g008.jpg
https://cdn.ncbi.nlm.nih.gov/pmc/blobs/b3fe/5592221/f4e5e1cb6bb5/fimmu-08-01093-g001.jpg
https://cdn.ncbi.nlm.nih.gov/pmc/blobs/b3fe/5592221/e2239d2b67f3/fimmu-08-01093-g002.jpg
https://cdn.ncbi.nlm.nih.gov/pmc/blobs/b3fe/5592221/4207da5aefc0/fimmu-08-01093-g003.jpg
https://cdn.ncbi.nlm.nih.gov/pmc/blobs/b3fe/5592221/d92c087c15eb/fimmu-08-01093-g004.jpg
https://cdn.ncbi.nlm.nih.gov/pmc/blobs/b3fe/5592221/9fc01bcad49f/fimmu-08-01093-g005.jpg
https://cdn.ncbi.nlm.nih.gov/pmc/blobs/b3fe/5592221/f6c4b8434c45/fimmu-08-01093-g006.jpg
https://cdn.ncbi.nlm.nih.gov/pmc/blobs/b3fe/5592221/9adb961bed26/fimmu-08-01093-g007.jpg
https://cdn.ncbi.nlm.nih.gov/pmc/blobs/b3fe/5592221/bf651a1e4784/fimmu-08-01093-g008.jpg
https://cdn.ncbi.nlm.nih.gov/pmc/blobs/b3fe/5592221/f4e5e1cb6bb5/fimmu-08-01093-g001.jpg
https://cdn.ncbi.nlm.nih.gov/pmc/blobs/b3fe/5592221/e2239d2b67f3/fimmu-08-01093-g002.jpg
https://cdn.ncbi.nlm.nih.gov/pmc/blobs/b3fe/5592221/4207da5aefc0/fimmu-08-01093-g003.jpg
https://cdn.ncbi.nlm.nih.gov/pmc/blobs/b3fe/5592221/d92c087c15eb/fimmu-08-01093-g004.jpg
https://cdn.ncbi.nlm.nih.gov/pmc/blobs/b3fe/5592221/9fc01bcad49f/fimmu-08-01093-g005.jpg
https://cdn.ncbi.nlm.nih.gov/pmc/blobs/b3fe/5592221/f6c4b8434c45/fimmu-08-01093-g006.jpg
https://cdn.ncbi.nlm.nih.gov/pmc/blobs/b3fe/5592221/9adb961bed26/fimmu-08-01093-g007.jpg
https://cdn.ncbi.nlm.nih.gov/pmc/blobs/b3fe/5592221/bf651a1e4784/fimmu-08-01093-g008.jpg

相似文献

1
Targeted Delivery of Neutralizing Anti-C5 Antibody to Renal Endothelium Prevents Complement-Dependent Tissue Damage.将中和性抗C5抗体靶向递送至肾内皮可预防补体依赖性组织损伤。
Front Immunol. 2017 Sep 6;8:1093. doi: 10.3389/fimmu.2017.01093. eCollection 2017.
2
Complement inhibition with an anti-C5 monoclonal antibody prevents acute cardiac tissue injury in an ex vivo model of pig-to-human xenotransplantation.在猪到人的异种移植体外模型中,用抗C5单克隆抗体抑制补体可预防急性心脏组织损伤。
Transplantation. 1995 Dec 15;60(11):1194-202.
3
Inhibition of complement factor C5 protects against renal ischemia-reperfusion injury: inhibition of late apoptosis and inflammation.补体因子C5的抑制可预防肾缺血再灌注损伤:抑制晚期凋亡和炎症。
Transplantation. 2003 Feb 15;75(3):375-82. doi: 10.1097/01.TP.0000044455.05584.2A.
4
Treatment of experimental arthritis by targeting synovial endothelium with a neutralizing recombinant antibody to C5.用抗C5的中和重组抗体靶向滑膜内皮细胞治疗实验性关节炎
Arthritis Rheum. 2012 Aug;64(8):2559-67. doi: 10.1002/art.34430.
5
Monoclonal antibodies directed against human C5 and C8 block complement-mediated damage of xenogeneic cells and organs.针对人类C5和C8的单克隆抗体可阻断补体介导的异种细胞和器官损伤。
Transplantation. 1995 Dec 15;60(11):1284-92.
6
Dextran sulfate modulates MAP kinase signaling and reduces endothelial injury in a rat aortic clamping model.硫酸葡聚糖调节丝裂原活化蛋白激酶信号通路并减轻大鼠主动脉夹闭模型中的内皮损伤。
J Vasc Surg. 2009 Jul;50(1):161-70. doi: 10.1016/j.jvs.2009.01.067.
7
Posttransplant ischemia-reperfusion injury in transplanted heart is prevented by a minibody to the fifth component of complement.移植心脏中的移植后缺血再灌注损伤可通过一种针对补体第五成分的微型抗体来预防。
Transplantation. 2008 Nov 27;86(10):1445-51. doi: 10.1097/TP.0b013e31818a68e2.
8
Nontransgenic hyperexpression of a complement regulator in donor kidney modulates transplant ischemia/reperfusion damage, acute rejection, and chronic nephropathy.供体肾中补体调节蛋白的非转基因过表达可调节移植肾缺血/再灌注损伤、急性排斥反应和慢性肾病。
Am J Pathol. 2003 Oct;163(4):1457-65. doi: 10.1016/S0002-9440(10)63503-1.
9
Propionyl-L-carnitine prevents renal function deterioration due to ischemia/reperfusion.丙酰-L-肉碱可预防因缺血/再灌注导致的肾功能恶化。
Kidney Int. 2002 Mar;61(3):1064-78. doi: 10.1046/j.1523-1755.2002.00212.x.
10
Supplemental hydrogen sulphide protects transplant kidney function and prolongs recipient survival after prolonged cold ischaemia-reperfusion injury by mitigating renal graft apoptosis and inflammation.补充的硫化氢通过减轻肾移植物细胞凋亡和炎症反应来保护移植肾的功能并延长长时间冷缺血再灌注损伤后受者的存活时间。
BJU Int. 2012 Dec;110(11 Pt C):E1187-95. doi: 10.1111/j.1464-410X.2012.11526.x. Epub 2012 Nov 16.

引用本文的文献

1
Complement C3 mediates podocyte injury through TLR4/NFΚB-P65 signaling during ischemia-reperfusion acute kidney injury and post-injury fibrosis.补体 C3 通过 TLR4/NFΚB-P65 信号通路介导缺血再灌注急性肾损伤及损伤后纤维化过程中的足细胞损伤。
Eur J Med Res. 2023 Mar 27;28(1):135. doi: 10.1186/s40001-023-01054-1.
2
The Complement System in Kidney Transplantation.补体系统在肾移植中的作用。
Cells. 2023 Mar 2;12(5):791. doi: 10.3390/cells12050791.
3
Advanced Drug Delivery Systems for Renal Disorders.用于肾脏疾病的先进药物递送系统

本文引用的文献

1
Graft-Versus-Host Disease Following Liver Transplantation: Development of a High-Incidence Rat Model and a Selective Prevention Method.肝移植后移植物抗宿主病:一种高发病率大鼠模型的建立及选择性预防方法
Am J Transplant. 2017 Apr;17(4):979-991. doi: 10.1111/ajt.14077. Epub 2016 Nov 22.
2
Complement in disease: a defence system turning offensive.补体系统在疾病中的作用:防御系统转为进攻。
Nat Rev Nephrol. 2016 Jul;12(7):383-401. doi: 10.1038/nrneph.2016.70. Epub 2016 May 23.
3
Collectin-11 detects stress-induced L-fucose pattern to trigger renal epithelial injury.
Gels. 2023 Feb 1;9(2):115. doi: 10.3390/gels9020115.
4
Complement-targeting therapeutics for ischemia-reperfusion injury in transplantation and the potential for delivery.补体靶向治疗移植物缺血再灌注损伤及递送的可能性。
Front Immunol. 2022 Oct 19;13:1000172. doi: 10.3389/fimmu.2022.1000172. eCollection 2022.
5
Role of Complement System in Kidney Transplantation: Stepping From Animal Models to Clinical Application.补体系统在肾移植中的作用:从动物模型到临床应用的进展。
Front Immunol. 2022 Feb 25;13:811696. doi: 10.3389/fimmu.2022.811696. eCollection 2022.
6
Pre-Treatment of Vascularized Composite Allografts With a Targeted Complement Inhibitor Protects Against Brain Death and Ischemia Reperfusion Induced Injuries.用靶向补体抑制剂对血管化复合异体移植物进行预处理可预防脑死亡和缺血再灌注诱导的损伤。
Front Immunol. 2021 Jul 29;12:630581. doi: 10.3389/fimmu.2021.630581. eCollection 2021.
7
Complement Membrane Attack Complex: New Roles, Mechanisms of Action, and Therapeutic Targets.补体膜攻击复合物:新的作用、作用机制和治疗靶点。
Am J Pathol. 2020 Jun;190(6):1138-1150. doi: 10.1016/j.ajpath.2020.02.006. Epub 2020 Mar 16.
8
The Dual Role of the Liver in Nanomedicine as an Actor in the Elimination of Nanostructures or a Therapeutic Target.肝脏在纳米医学中的双重作用:既是纳米结构清除的参与者,又是治疗靶点。
J Oncol. 2020 Feb 24;2020:4638192. doi: 10.1155/2020/4638192. eCollection 2020.
9
Drug Development in Pemphigoid Diseases.天疱疮疾病的药物研发。
Acta Derm Venereol. 2020 Feb 12;100(5):adv00055. doi: 10.2340/00015555-3400.
10
The complex functioning of the complement system in xenotransplantation.异种移植中补体系统的复杂功能。
Xenotransplantation. 2019 Jul;26(4):e12517. doi: 10.1111/xen.12517. Epub 2019 Apr 29.
凝集素-11检测应激诱导的L-岩藻糖模式以引发肾上皮损伤。
J Clin Invest. 2016 May 2;126(5):1911-25. doi: 10.1172/JCI83000. Epub 2016 Apr 18.
4
Complement activation in antiphospholipid syndrome and its inhibition to prevent rethrombosis after arterial surgery.抗磷脂综合征中的补体激活及其抑制作用以预防动脉手术后再发血栓形成。
Blood. 2016 Jan 21;127(3):365-7. doi: 10.1182/blood-2015-09-672139. Epub 2015 Dec 7.
5
Radiolabeled Cyclic RGD Peptide Bioconjugates as Radiotracers Targeting Multiple Integrins.放射性标记的环状RGD肽生物偶联物作为靶向多种整合素的放射性示踪剂。
Bioconjug Chem. 2015 Aug 19;26(8):1413-38. doi: 10.1021/acs.bioconjchem.5b00327. Epub 2015 Aug 3.
6
Targeted tumor imaging of anti-CD20-polymeric nanoparticles developed for the diagnosis of B-cell malignancies.用于B细胞恶性肿瘤诊断的抗CD20聚合物纳米颗粒的靶向肿瘤成像。
Int J Nanomedicine. 2015 Jun 22;10:4099-109. doi: 10.2147/IJN.S78995. eCollection 2015.
7
Bispecific antibodies targeting tumor-associated antigens and neutralizing complement regulators increase the efficacy of antibody-based immunotherapy in mice.双特异性抗体靶向肿瘤相关抗原和中和补体调节因子可提高基于抗体的免疫疗法在小鼠中的疗效。
Leukemia. 2015 Feb;29(2):406-14. doi: 10.1038/leu.2014.185. Epub 2014 Jun 6.
8
Donor Pretreatment With IL-1 Receptor Antagonist Attenuates Inflammation and Improves Functional Potency in Islets From Brain-Dead Nonhuman Primates.用白细胞介素-1受体拮抗剂对供体进行预处理可减轻炎症并提高脑死亡非人灵长类动物胰岛的功能效力。
Cell Transplant. 2015;24(9):1863-77. doi: 10.3727/096368914X681045. Epub 2014 Apr 22.
9
Ischaemia-reperfusion injury: a major protagonist in kidney transplantation.缺血再灌注损伤:肾移植中的主要主角。
Nephrol Dial Transplant. 2014 Jun;29(6):1134-40. doi: 10.1093/ndt/gft488. Epub 2013 Dec 10.
10
Overview of complement activation and regulation.补体激活和调节概述。
Semin Nephrol. 2013 Nov;33(6):479-92. doi: 10.1016/j.semnephrol.2013.08.001.