Suppr超能文献

重金属盐联合作用下膀胱形态学变化的特征

The features of morphological changes in the urinary bladder under combined effect of heavy metal salts.

作者信息

Romaniuk Anatolii, Sikora Vladyslav, Lyndin Mykola, Smiyanov Vladyslav, Sikora Volodymyr, Lyndina Yulia, Piddubnyi Artem, Gyryavenko Nataliya, Korobchanska Anna

机构信息

Department of Pathology, Sumy State University, Sumy, Ukraine.

Medical Institute, Sumy State University, Sumy, Ukraine.

出版信息

Interv Med Appl Sci. 2017 Jun;9(2):105-111. doi: 10.1556/1646.9.2017.2.09.

Abstract

PURPOSE

This study is aimed to the investigation of the features of morphological changes in the urinary bladder of mature rats.

RESULTS

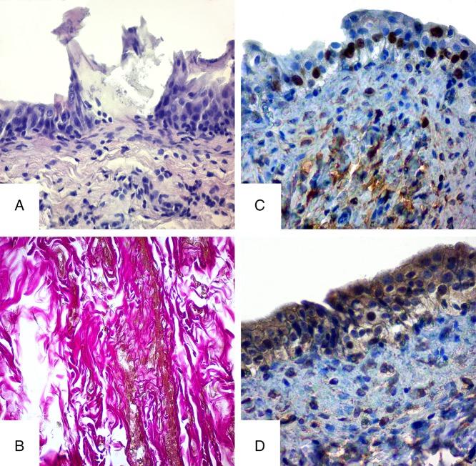
Received results shown that the experimental group of rats that had the intake of heavy metal salts (HMS) mixture during 30 and 90 days were observed histological and immunohistochemical changes in all structures of the urinary bladder. Depending on the period of influence of heavy metal ions on the wall of the organ, the pathological changes developed in cellular layers of the wall can lead to degenerative and later to atrophic and sclerotic changes.

CONCLUSIONS

This study demonstrates that high concentrations of HMS can significantly influence the body. The histological and immunohistochemical studies showed that the influence of the HMS combination leads to deep morphological changes in all structures of the urinary bladder. These changes depend on the period of intake of HMS. Analysis of the obtained results demonstrates the dependence of expression of morphological changes in the urinary bladder on the experiment duration. The final result of these changes may lead to the disorders of bladder's functions.

摘要

目的

本研究旨在调查成年大鼠膀胱形态学变化的特征。

结果

所得结果表明,在30天和90天期间摄入重金属盐(HMS)混合物的大鼠实验组,其膀胱所有结构均观察到组织学和免疫组织化学变化。根据重金属离子对器官壁的影响时间,壁细胞层出现的病理变化可导致退行性变化,随后发展为萎缩性和硬化性变化。

结论

本研究表明,高浓度的HMS可对身体产生显著影响。组织学和免疫组织化学研究表明,HMS组合的影响会导致膀胱所有结构发生深度形态学变化。这些变化取决于HMS的摄入时间。对所得结果的分析表明,膀胱形态学变化的表达取决于实验持续时间。这些变化的最终结果可能导致膀胱功能紊乱。

https://cdn.ncbi.nlm.nih.gov/pmc/blobs/d2d2/5598125/ecc773a61460/imas-09-02-09_f001.jpg

文献AI研究员

20分钟写一篇综述,助力文献阅读效率提升50倍。

立即体验

用中文搜PubMed

大模型驱动的PubMed中文搜索引擎

马上搜索

文档翻译

学术文献翻译模型,支持多种主流文档格式。

立即体验