• 文献检索
  • 文档翻译
  • 深度研究
  • 学术资讯
  • Suppr Zotero 插件Zotero 插件
  • 邀请有礼
  • 套餐&价格
  • 历史记录
应用&插件
Suppr Zotero 插件Zotero 插件浏览器插件Mac 客户端Windows 客户端微信小程序
定价
高级版会员购买积分包购买API积分包
服务
文献检索文档翻译深度研究API 文档MCP 服务
关于我们
关于 Suppr公司介绍联系我们用户协议隐私条款
关注我们

Suppr 超能文献

核心技术专利:CN118964589B侵权必究
粤ICP备2023148730 号-1Suppr @ 2026

文献检索

告别复杂PubMed语法,用中文像聊天一样搜索,搜遍4000万医学文献。AI智能推荐,让科研检索更轻松。

立即免费搜索

文件翻译

保留排版,准确专业,支持PDF/Word/PPT等文件格式,支持 12+语言互译。

免费翻译文档

深度研究

AI帮你快速写综述,25分钟生成高质量综述,智能提取关键信息,辅助科研写作。

立即免费体验

自发性破裂嗜铬细胞瘤:一例罕见病例报告及文献复习

Spontaneous ruptured pheochromocytoma: an unusual case report and literature review.

作者信息

Jee Ye Seob

机构信息

Department of Surgery, Dankook University Hospital, Dankook University College of Medicine, Cheonan, Korea.

出版信息

Ann Surg Treat Res. 2017 Sep;93(3):170-172. doi: 10.4174/astr.2017.93.3.170. Epub 2017 Aug 30.

DOI:10.4174/astr.2017.93.3.170
PMID:28932734
原文链接:https://pmc.ncbi.nlm.nih.gov/articles/PMC5597542/
Abstract

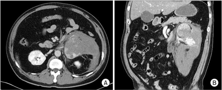
Ruptured pheochromocytoma is a rare disease. Its mortality rate is up to 31%-50%. Proper management of ruptured pheochromocytoma remains unclear. A 44-year-old male patient visited our Emergency Department and presented with abrupt onset of left flank pain. His blood pressure was 190/140 mmHg with purse rate of 130 beats/min. CT scan showed 8.1 × 5.6-cm-sized heterogeneously mass with rupture on the left retroperitoneal space and active bleeding. His symptom of abdominal pain was aggravated. Follow-up laboratory analysis revealed elevated WBC count and decreased hemoglobin 2 hours after admission. Emergency laparotomy was performed. We resected the ruptured left retroperitoneal mass and hemostasis. Pathologic exams revealed adrenal pheochromocytoma with rupture. Although our patient was alive, according to literature review, mortality rate of emergency operation without medical management is higher than elective operation after blood pressure control with either medical or interventional methods such as transcatheter arterial embolization.

摘要

嗜铬细胞瘤破裂是一种罕见疾病。其死亡率高达31% - 50%。嗜铬细胞瘤破裂的恰当处理方法仍不明确。一名44岁男性患者就诊于我院急诊科,表现为突发左侧腰痛。其血压为190/140 mmHg,心率为130次/分钟。CT扫描显示左腹膜后间隙有一个大小为8.1×5.6 cm的不均匀肿块,伴有破裂及活动性出血。他的腹痛症状加重。入院2小时后的后续实验室分析显示白细胞计数升高,血红蛋白降低。遂进行了急诊剖腹手术。我们切除了破裂的左腹膜后肿块并进行了止血。病理检查显示为肾上腺嗜铬细胞瘤伴破裂。尽管我们的患者存活了下来,但根据文献综述,未进行药物治疗的急诊手术死亡率高于在通过药物或诸如经导管动脉栓塞等介入方法控制血压后进行的择期手术。

https://cdn.ncbi.nlm.nih.gov/pmc/blobs/3af7/5597542/423a14699c06/astr-93-170-g001.jpg
https://cdn.ncbi.nlm.nih.gov/pmc/blobs/3af7/5597542/423a14699c06/astr-93-170-g001.jpg
https://cdn.ncbi.nlm.nih.gov/pmc/blobs/3af7/5597542/423a14699c06/astr-93-170-g001.jpg

相似文献

1
Spontaneous ruptured pheochromocytoma: an unusual case report and literature review.自发性破裂嗜铬细胞瘤:一例罕见病例报告及文献复习
Ann Surg Treat Res. 2017 Sep;93(3):170-172. doi: 10.4174/astr.2017.93.3.170. Epub 2017 Aug 30.
2
Vanishing of ruptured adrenal mass with takotsubo cardiomyopathy.应激性心肌病伴破裂肾上腺肿块消失
Endocr J. 2018 Dec 28;65(12):1155-1159. doi: 10.1507/endocrj.EJ18-0119. Epub 2018 Sep 8.
3
Changes in the Size of a Ruptured Pheochromocytoma after Transcatheter Arterial Embolization.经导管动脉栓塞术后破裂嗜铬细胞瘤大小的变化
Case Rep Med. 2021 Apr 4;2021:5568978. doi: 10.1155/2021/5568978. eCollection 2021.
4
Arterial embolization for ruptured adrenal pheochromocytoma.动脉栓塞治疗破裂的肾上腺嗜铬细胞瘤。
Curr Oncol. 2010 Nov;17(6):65-70. doi: 10.3747/co.v17i6.597.
5
Spontaneous retroperitoneal hemorrhage caused by rupture of an ovarian artery aneurysm: a case report and review of the literature.卵巢动脉动脉瘤破裂导致的自发性腹膜后出血:一例病例报告及文献复习
J Med Case Rep. 2015 Apr 18;9:84. doi: 10.1186/s13256-015-0553-4.
6
Spontaneous omental bleeding: a case report and literature review.自发性网膜出血:一例病例报告及文献综述
BMC Surg. 2018 May 30;18(1):33. doi: 10.1186/s12893-018-0364-9.
7
A case of successful management for spontaneous rupture of paraganglioma treated with preoperative transcatheter arterial embolization.1例经术前经导管动脉栓塞治疗成功的副神经节瘤自发性破裂病例。
Surg Case Rep. 2024 Jun 21;10(1):158. doi: 10.1186/s40792-024-01907-9.
8
[Embolization for massive retroperitoneal hemorrhage from adrenal pheochromocytoma: a case report].[肾上腺嗜铬细胞瘤致大量腹膜后出血的栓塞治疗:一例报告]
Hinyokika Kiyo. 1997 Aug;43(8):571-5.
9
A case of a ruptured pheochromocytoma with an intratumoral aneurysm managed by coil embolization.一例通过弹簧圈栓塞治疗的伴有肿瘤内动脉瘤破裂的嗜铬细胞瘤病例。
Endocr J. 2003 Dec;50(6):653-6. doi: 10.1507/endocrj.50.653.
10
A case of pheochromocytoma with a marked decrease in catecholamine levels after rupture in which a good outcome was achieved by elective surgery.一例嗜铬细胞瘤破裂后儿茶酚胺水平显著降低,经择期手术取得良好预后的病例。
Endocr J. 2018 Nov 29;65(11):1093-1099. doi: 10.1507/endocrj.EJ18-0071. Epub 2018 Aug 4.

引用本文的文献

1
Ruptured Metastatic Pheochromocytoma: A Nightmare to the Surgeon.破裂的转移性嗜铬细胞瘤:外科医生的噩梦。
Cureus. 2023 Mar 29;15(3):e36890. doi: 10.7759/cureus.36890. eCollection 2023 Mar.
2
Minimally Invasive Management of Hemorrhagic Pheochromocytoma-A Rare Case Report.嗜铬细胞瘤出血的微创治疗——1例罕见病例报告
Surg J (N Y). 2023 Mar 26;9(1):e52-e57. doi: 10.1055/s-0043-1762554. eCollection 2023 Jan.
3
Non-surgically treated case of nonfunctioning ruptured adrenal adenoma in a patient on hemodialysis.血液透析患者非手术治疗无功能性破裂肾上腺腺瘤病例。

本文引用的文献

1
Arterial embolization for ruptured adrenal pheochromocytoma.动脉栓塞治疗破裂的肾上腺嗜铬细胞瘤。
Curr Oncol. 2010 Nov;17(6):65-70. doi: 10.3747/co.v17i6.597.
2
Phaeochromocytoma.嗜铬细胞瘤
Lancet. 2005;366(9486):665-75. doi: 10.1016/S0140-6736(05)67139-5.
3
Spontaneous rupture of adrenal pheochromocytoma: review and analysis of prognostic factors.肾上腺嗜铬细胞瘤自发性破裂:预后因素的综述与分析
Endocrine. 2019 Jul;65(1):213-216. doi: 10.1007/s12020-019-01948-3. Epub 2019 May 9.
J Surg Oncol. 2005 Apr 1;90(1):31-5. doi: 10.1002/jso.20234.
4
Successful outcomes in pheochromocytoma surgery in the modern era.现代嗜铬细胞瘤手术的成功结果。
J Urol. 1999 Mar;161(3):764-7.
5
Spontaneous rupture of adrenal pheochromocytoma: a case report.肾上腺嗜铬细胞瘤自发性破裂:一例报告
J Urol. 1994 Jan;151(1):120-1. doi: 10.1016/s0022-5347(17)34886-3.