Shibata Yuuka, Yokooji Tomoharu, Itamura Ryo, Sagara Yumeka, Taogoshi Takanori, Ogawa Katsunari, Tanaka Maiko, Hide Michihiro, Kihira Kenji, Matsuo Hiroaki
Department of Pharmaceutical Services, Graduate School of Biomedical and Health Sciences, Hiroshima University, Hiroshima, Japan.
Faculty of Pharmaceutical Sciences, Hiroshima University, Hiroshima, Japan.
Biochem Biophys Rep. 2016 Sep 19;8:207-211. doi: 10.1016/j.bbrep.2016.09.005. eCollection 2016 Dec.
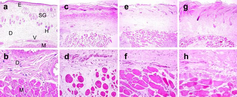
Inadvertent leakage of medications with vesicant properties can cause severe necrosis in tissue, which can have devastating long-term consequences. The aim of this study was to evaluate the extent of extravasation injury induced by thiopental and propofol, and the effects of cooling or warming of local tissue on extravasation injury at macroscopic and histopathologic levels. Rats were administered intradermally thiopental (2.5 mg/100 µL) or propofol (1.0 mg/100 µL). Rats were assigned randomly to three groups: control (no treatment), cooling and warming. Local cooling (18-20 °C) or warming (40-42 °C) was applied for 3 h immediately after agent injection. Lesion sizes (erythema, induration, ulceration, necrosis) were monitored after agent injection. Histopathology was evaluated in skin biopsies taken 24 h after agent injection. Thiopental injection induced severe skin injury with necrosis. Peak lesions developed within 24 h and healed gradually 18-27 days after extravasation. Propofol induced inflammation but no ulceration, and lesions healed within 1-2 days. Local cooling reduced thiopental- and propofol-induced extravasation injuries but warming strongly exacerbated the skin lesions (e.g., degeneration, necrosis) induced by extravasation of thiopental and propofol. Thiopental can be classified as a "vesicant" that causes tissue necrosis and propofol can be classified as an "irritant". Local cooling protects (at least in part) against skin disorders induced by thiopental and propofol, whereas warming is harmful.
具有发泡剂性质的药物意外泄漏可导致组织严重坏死,这可能会产生毁灭性的长期后果。本研究的目的是评估硫喷妥钠和丙泊酚引起的外渗损伤程度,以及局部组织冷却或加热对宏观和组织病理学水平外渗损伤的影响。给大鼠皮内注射硫喷妥钠(2.5mg/100μL)或丙泊酚(1.0mg/100μL)。将大鼠随机分为三组:对照组(不治疗)、冷却组和加热组。在注射药物后立即进行局部冷却(18 - 20°C)或加热(40 - 42°C)3小时。注射药物后监测损伤大小(红斑、硬结、溃疡、坏死)。在注射药物24小时后取皮肤活检进行组织病理学评估。硫喷妥钠注射导致严重的皮肤坏死损伤。损伤高峰在24小时内出现,并在渗出后18 - 27天逐渐愈合。丙泊酚引起炎症但无溃疡,损伤在1 - 2天内愈合。局部冷却减轻了硫喷妥钠和丙泊酚引起的外渗损伤,但加热强烈加剧了硫喷妥钠和丙泊酚外渗引起的皮肤损伤(如变性、坏死)。硫喷妥钠可被归类为导致组织坏死的“发泡剂”,丙泊酚可被归类为“刺激剂”。局部冷却(至少部分地)可预防硫喷妥钠和丙泊酚引起的皮肤疾病,而加热则有害。