Suppr超能文献

源自短散在核元件逆转座子的组织特异性启动子驱动PLAGL1在人淋巴细胞中的双等位基因表达。

A tissue-specific promoter derived from a SINE retrotransposon drives biallelic expression of PLAGL1 in human lymphocytes.

作者信息

Smith Claire E L, Alexandraki Alexia, Cordery Sarah F, Parmar Rekha, Bonthron David T, Valleley Elizabeth M A

机构信息

School of Medicine, University of Leeds, St. James's University Hospital, Leeds, United Kingdom.

出版信息

PLoS One. 2017 Sep 28;12(9):e0185678. doi: 10.1371/journal.pone.0185678. eCollection 2017.

Abstract

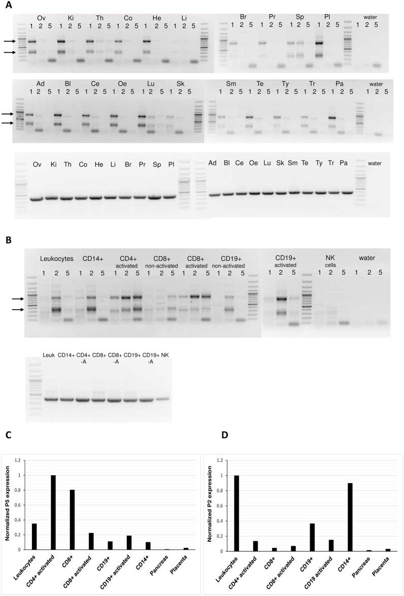
The imprinted gene PLAGL1 is an important regulator of apoptosis and cell cycle arrest. Loss of its expression has been implicated in tumorigenesis in a range of different cancers, and overexpression during fetal development causes transient neonatal diabetes mellitus (TNDM). PLAGL1 lies within an imprinted region of chromosome 6q24, and monoallelic expression from the major, differentially methylated promoter (P1) occurs in most human tissues. However, in peripheral blood leukocytes, the active promoter (P2) is non-imprinted and drives biallelic transcription. We report here a novel PLAGL1 promoter (P5) derived from the insertion of a primate-specific, MIR3 SINE retrotransposon. P5 is highly utilized in lymphocytes, particularly in T cells, and like P2, directs biallelic transcription. Our results show that it is important to consider P5 in relation to PLAGL1 function in T cells when investigating the dysregulation of this gene.

摘要

印记基因PLAGL1是细胞凋亡和细胞周期阻滞的重要调节因子。其表达缺失与多种不同癌症的肿瘤发生有关,而在胎儿发育过程中的过表达会导致短暂性新生儿糖尿病(TNDM)。PLAGL1位于6号染色体q24的印记区域内,在大多数人类组织中,主要的差异甲基化启动子(P1)发生单等位基因表达。然而,在外周血白细胞中,活性启动子(P2)是非印记的,并驱动双等位基因转录。我们在此报告一种源自灵长类特异性MIR3 SINE逆转座子插入的新型PLAGL1启动子(P5)。P5在淋巴细胞中高度活跃,尤其是在T细胞中,并且与P2一样,指导双等位基因转录。我们的结果表明,在研究该基因的失调时,考虑P5与PLAGL1在T细胞中的功能的关系很重要。

https://cdn.ncbi.nlm.nih.gov/pmc/blobs/b7f1/5619815/2b5eb3b00c80/pone.0185678.g001.jpg

相似文献

1
A tissue-specific promoter derived from a SINE retrotransposon drives biallelic expression of PLAGL1 in human lymphocytes.
PLoS One. 2017 Sep 28;12(9):e0185678. doi: 10.1371/journal.pone.0185678. eCollection 2017.
4
The human HYMAI/PLAGL1 differentially methylated region acts as an imprint control region in mice.
Genomics. 2006 Nov;88(5):650-8. doi: 10.1016/j.ygeno.2006.07.005. Epub 2006 Aug 22.
7
LOT1 (PLAGL1/ZAC1), the candidate tumor suppressor gene at chromosome 6q24-25, is epigenetically regulated in cancer.
J Biol Chem. 2003 Feb 21;278(8):6041-9. doi: 10.1074/jbc.M210361200. Epub 2002 Dec 6.
8
Imprinting at the PLAGL1 domain is contained within a 70-kb CTCF/cohesin-mediated non-allelic chromatin loop.
Nucleic Acids Res. 2013 Feb 1;41(4):2171-9. doi: 10.1093/nar/gks1355. Epub 2013 Jan 7.
9
Prognostic value of PLAGL1-specific CpG site methylation in soft-tissue sarcomas.
PLoS One. 2013 Nov 15;8(11):e80741. doi: 10.1371/journal.pone.0080741. eCollection 2013.

本文引用的文献

1
PLAGL1: an important player in diverse pathological processes.
J Appl Genet. 2017 Feb;58(1):71-78. doi: 10.1007/s13353-016-0355-4. Epub 2016 Jun 16.
2
MIR retrotransposon sequences provide insulators to the human genome.
Proc Natl Acad Sci U S A. 2015 Aug 11;112(32):E4428-37. doi: 10.1073/pnas.1507253112. Epub 2015 Jul 27.
3
Germline and somatic imprinting in the nonhuman primate highlights species differences in oocyte methylation.
Genome Res. 2015 May;25(5):611-23. doi: 10.1101/gr.183301.114. Epub 2015 Apr 10.
4
Mammalian-wide interspersed repeat (MIR)-derived enhancers and the regulation of human gene expression.
Mob DNA. 2014 May 5;5:14. doi: 10.1186/1759-8753-5-14. eCollection 2014.
6
Imprinting at the PLAGL1 domain is contained within a 70-kb CTCF/cohesin-mediated non-allelic chromatin loop.
Nucleic Acids Res. 2013 Feb 1;41(4):2171-9. doi: 10.1093/nar/gks1355. Epub 2013 Jan 7.
7
A multiply redundant genetic switch 'locks in' the transcriptional signature of regulatory T cells.
Nat Immunol. 2012 Oct;13(10):972-80. doi: 10.1038/ni.2420. Epub 2012 Sep 9.
8
SINE retrotransposons cause epigenetic reprogramming of adjacent gene promoters.
Mol Cancer Res. 2012 Oct;10(10):1332-42. doi: 10.1158/1541-7786.MCR-12-0351. Epub 2012 Sep 4.
9
Imprinted genes that regulate early mammalian growth are coexpressed in somatic stem cells.
PLoS One. 2011;6(10):e26410. doi: 10.1371/journal.pone.0026410. Epub 2011 Oct 19.
10
Hypomethylation of functional retrotransposon-derived genes in the human placenta.
Mamm Genome. 2011 Dec;22(11-12):722-35. doi: 10.1007/s00335-011-9355-1. Epub 2011 Aug 27.

文献AI研究员

20分钟写一篇综述,助力文献阅读效率提升50倍。

立即体验

用中文搜PubMed

大模型驱动的PubMed中文搜索引擎

马上搜索

文档翻译

学术文献翻译模型,支持多种主流文档格式。

立即体验