Suppr超能文献

术中 5-氨基酮戊酸诱导的光动力诊断伴组织病理学分析的脑转移瘤。

Intraoperative 5-aminolevulinic acid-induced photodynamic diagnosis of metastatic brain tumors with histopathological analysis.

机构信息

Department of Neurosurgery, Osaka Medical College, 2-7 Daigaku-machi, Takatsuki, Osaka, 569-8686, Japan.

出版信息

World J Surg Oncol. 2017 Sep 29;15(1):179. doi: 10.1186/s12957-017-1239-8.

Abstract

BACKGROUND

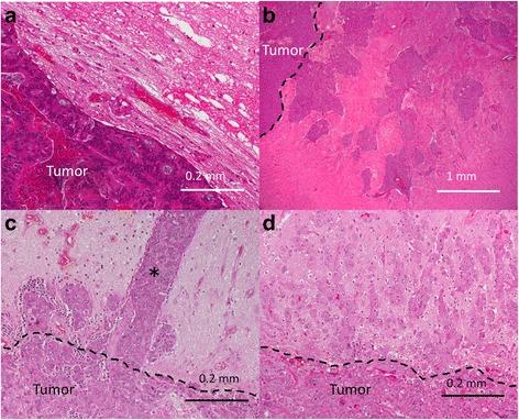
Fluorescence-guided surgery using 5-aminolevulinic acid (5-ALA) is a promising real-time navigation method in the surgical resection of malignant gliomas. In order to determine whether this method is applicable to metastatic brain tumors, we evaluated the usefulness of intraoperative fluorescence patterns and histopathological features in patients with metastatic brain tumors.

METHODS

We retrospectively reviewed the cases of 16 patients with metastatic brain tumors who underwent intraoperative 5-ALA fluorescence-guided resection. Patients were given 20 mg/kg of 5-ALA orally 2 h prior to the surgery. High-powered excitation illumination and a low-pass filter (420, 450, or 500 nm) were used to visualize the fluorescence of protoporphyrin IX (PpIX), the 5-ALA metabolite. We evaluated the relationships between the fluorescence and histopathological findings in both tumoral and peritumoral brain tissue.

RESULTS

Tumoral PpIX fluorescence was seen in only 5 patients (31%); in the remaining 11 patients (69%), there was no fluorescence in the tumor bulk itself. In 14 patients (86%), vague fluorescence was seen in peritumoral brain tissue, at a thickness of 2-6 mm. The histopathological examination found cancer cell invasion of adjacent brain tissue in 75% of patients (12/16), at a mean ± SD depth of 1.4 ± 1.0 mm (range 0.2-3.4 mm) from the microscopic border of the tumor. There was a moderate correlation between vague fluorescence in adjacent brain tissue and the depth of cancer cell invasion (P = 0.004).

CONCLUSION

Peritumoral fluorescence may be a good intraoperative indicator of tumor extent, preceding more complete microscopic gross total resection.

TRIAL REGISTRATION

Institutional Review Board of Osaka Medical College No. 42, registered February 17, 1998, and No. 300, registered April 1, 2008. They were retrospectively registered.

摘要

背景

使用 5-氨基酮戊酸(5-ALA)的荧光引导手术是恶性神经胶质瘤手术切除中一种很有前途的实时导航方法。为了确定该方法是否适用于转移性脑肿瘤,我们评估了术中荧光模式和组织病理学特征在转移性脑肿瘤患者中的应用价值。

方法

我们回顾性分析了 16 例接受术中 5-ALA 荧光引导切除的转移性脑肿瘤患者。患者在手术前 2 小时口服 20mg/kg 的 5-ALA。使用高功率激发照明和低通滤波器(420、450 或 500nm)来可视化原卟啉 IX(PpIX),即 5-ALA 的代谢产物的荧光。我们评估了肿瘤和肿瘤周围脑组织中荧光与组织病理学发现之间的关系。

结果

仅在 5 例患者(31%)中观察到肿瘤 PpIX 荧光;在其余 11 例患者(69%)中,肿瘤本身没有荧光。在 14 例患者(86%)中,肿瘤周围脑组织出现模糊荧光,厚度为 2-6mm。组织病理学检查发现,75%的患者(12/16)的邻近脑组织有癌细胞浸润,平均深度为 1.4±1.0mm(范围为 0.2-3.4mm),从肿瘤的显微镜边界开始。肿瘤周围脑组织的模糊荧光与癌细胞浸润深度之间存在中度相关性(P=0.004)。

结论

肿瘤周围的荧光可能是肿瘤范围的良好术中指标,可实现更完整的显微镜下大体全切除。

试验注册

大阪医科大学伦理委员会分别于 1998 年 2 月 17 日和 2008 年 4 月 1 日注册第 42 号和第 300 号,均为回顾性注册。

https://cdn.ncbi.nlm.nih.gov/pmc/blobs/a3a2/5622438/6b3ab8180139/12957_2017_1239_Fig1_HTML.jpg

文献AI研究员

20分钟写一篇综述,助力文献阅读效率提升50倍。

立即体验

用中文搜PubMed

大模型驱动的PubMed中文搜索引擎

马上搜索

文档翻译

学术文献翻译模型,支持多种主流文档格式。

立即体验