Suppr超能文献

腹腔镜治疗胰腺实性浆液性囊腺瘤:1例新病例报告及文献复习

Pancreatic solid serous cystadenoma treated by laparoscopy: Presentation of a new case report and review of the literature.

作者信息

Hamid Mohamed, Tbouda Mohamed, Majbar Anass Mohamed, Raiss Mohamed, Ahallat Mohamed

机构信息

Department of Surgery «C», Ibn Sina Hospital, Faculty of Medicine and Pharmacy of Rabat, Mohammed V University, Morocco.

Department of Anatomopathology, Ibn Sina Hospital, Mohammed V University of Rabat, Faculty of Medicine and Pharmacy, Morocco.

出版信息

Int J Surg Case Rep. 2017;40:97-101. doi: 10.1016/j.ijscr.2017.09.014. Epub 2017 Sep 23.

Abstract

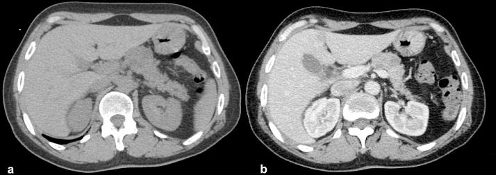
Solid serous cystadenoma is an uncommon benign pancreatic tumor, with only, including this case, 21 cases published so far. It is often misdiagnosis with other malignant pancreatic tumors. Below we report a new case of a solid serous cystadenoma of the pancreas treated by laparoscopic distal pancreatectomy in 53-year-old female who presented with epigastric pain. Histological and immunohistochemical examination revealed a solid serous cystadenoma of the pancreas. Preoperative diagnosis of this subtype of serous cystadenoma is difficult, and, due to its benign nature, conservative resection of the tumor is the recommended treatment. After analyzing the literature, including this case from our department, we discuss clinical presentation, imaging characteristics and histopathological findings, considering in particular difficulties in preoperative diagnosis, feasibility of laparoscopic resection.

摘要

实性浆液性囊腺瘤是一种罕见的胰腺良性肿瘤,迄今为止包括本病例在内仅有21例报道。它常被误诊为其他胰腺恶性肿瘤。以下我们报告一例53岁出现上腹部疼痛的女性胰腺实性浆液性囊腺瘤,经腹腔镜远端胰腺切除术治疗的新病例。组织学和免疫组化检查显示为胰腺实性浆液性囊腺瘤。这种浆液性囊腺瘤亚型的术前诊断困难,并且由于其良性性质,推荐对肿瘤进行保守性切除。在分析文献(包括我们科室的本病例)后,我们讨论了临床表现、影像学特征和组织病理学发现,尤其考虑了术前诊断的困难以及腹腔镜切除的可行性。

https://cdn.ncbi.nlm.nih.gov/pmc/blobs/a03e/5633824/317208a685a0/gr1.jpg

文献检索

告别复杂PubMed语法,用中文像聊天一样搜索,搜遍4000万医学文献。AI智能推荐,让科研检索更轻松。

立即免费搜索

文件翻译

保留排版,准确专业,支持PDF/Word/PPT等文件格式,支持 12+语言互译。

免费翻译文档

深度研究

AI帮你快速写综述,25分钟生成高质量综述,智能提取关键信息,辅助科研写作。

立即免费体验