Suppr超能文献

高位胫骨截骨术后髌骨高度的变化

Patella Height Changes Post High Tibial Osteotomy.

作者信息

Gooi Siew Ghim, Chan Chloe Xiao Yun, Tan Melvin Kian Loong, Lim Andrew Kean Seng, Satkunanantham Kandiah, Hui James Hoi Po

机构信息

Department of Orthopaedic Surgery, Hand and Reconstructive Microsurgery Cluster, National University Health System, Singapore.

Department of Orthopaedic Surgery, Yong Loo Lin School of Medicine, National University of Singapore, Singapore.

出版信息

Indian J Orthop. 2017 Sep-Oct;51(5):545-551. doi: 10.4103/ortho.IJOrtho_214_17.

Abstract

BACKGROUND

Medial opening wedge high tibial osteotomy (HTO) is a well-described treatment in early medial compartmental osteoarthritis of the knee. However, two undesirable sequelae may follow -patella baja and changes in the posterior tibial slope (TS).

MATERIALS AND METHODS

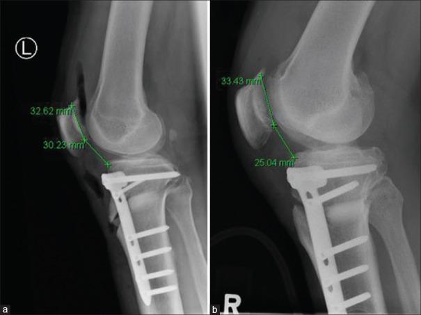
We conducted a retrospective study in patients who underwent HTO in our center between September 2009 and February 2017. Preoperative and 6-week postoperative long-leg weight bearing films and lateral knee radiographs were assessed. Pre- and postoperative radiological measurements include the Caton-Deschamps Index (CDI), the mechanical axis deviation (MAD), and the posterior TS. Independant -test and Pearson correlation test were performed.

RESULTS

A total of 106 knees were recruited. The mean age was 48.8 ± 10.8 years. 66 (62.3%) and 40 (37.7%) knees were from males and females, respectively. The mean pre- and postoperative measurements was (-9.70° ± 3.67° to 0.08° ± 2.80°) (-varus; +valgus) for the MAD, (7.14° ± 1.78° to 8.72° ± 3.11°) for posterior TS, and (0.93° ± 0.084° to 0.82° ± 0.13°) for CDI ( ≤ 0.001 for all). The association between patella height change and the level of osteotomy (supra-tubercle vs. infra-tubercle) was statistically significant ( < 0.001). A supra-tubercle osteotomy cut significantly lowering patella height ( = 0.011). There was otherwise no statistically significant correlations between patella height changes and the correction angle ( = 0.187) or posterior TS change ( = 0.744).

CONCLUSIONS

A medial opening wedge HTO above the tibial tubercle was significantly associated with lowering patella height or reducing CDI postoperatively. Based on our results, we would recommend the use of an infra-tubercle osteotomy during the corrective surgery to prevent the complication of patella baja.

摘要

背景

内侧开口楔形高位胫骨截骨术(HTO)是治疗膝关节早期内侧间室骨关节炎的一种广为人知的方法。然而,可能会出现两个不良后遗症——髌骨低位和胫骨后倾(TS)改变。

材料与方法

我们对2009年9月至2017年2月在本中心接受HTO手术的患者进行了一项回顾性研究。评估术前和术后6周的长腿负重片及膝关节侧位X线片。术前和术后的影像学测量包括卡顿 - 德尚指数(CDI)、机械轴偏移(MAD)和胫骨后倾。进行独立样本t检验和Pearson相关检验。

结果

共纳入106个膝关节。平均年龄为48.8±10.8岁。男性膝关节66个(62.3%),女性膝关节40个(37.7%)。MAD术前和术后的平均测量值为(-9.70°±3.67°至0.08°±2.80°)(内翻;外翻),胫骨后倾术前和术后为(7.14°±1.78°至8.72°±3.11°),CDI术前和术后为(0.93°±0.084°至0.82°±0.13°)(所有P≤0.001)。髌骨高度变化与截骨水平(结节上与结节下)之间的关联具有统计学意义(P<0.001)。结节上截骨显著降低髌骨高度(P = 0.011)。此外,髌骨高度变化与矫正角度(P = 0.187)或胫骨后倾变化(P = 0.744)之间无统计学意义的相关性。

结论

胫骨结节上方的内侧开口楔形HTO与术后髌骨高度降低或CDI降低显著相关。基于我们的结果,我们建议在矫正手术中采用结节下截骨以预防髌骨低位并发症。

https://cdn.ncbi.nlm.nih.gov/pmc/blobs/700d/5609376/24966d140d36/IJOrtho-51-545-g001.jpg

文献AI研究员

20分钟写一篇综述,助力文献阅读效率提升50倍。

立即体验

用中文搜PubMed

大模型驱动的PubMed中文搜索引擎

马上搜索

文档翻译

学术文献翻译模型,支持多种主流文档格式。

立即体验