Migdalska-Richards Anna, Wegrzynowicz Michal, Rusconi Raffaella, Deangeli Giulio, Di Monte Donato A, Spillantini Maria G, Schapira Anthony H V
Department of Clinical Neurosciences, Institute of Neurology, University College London, London NW3 2PF, UK.
Department of Clinical Neurosciences, Clifford Allbutt Building, University of Cambridge, Cambridge, CB2 0AH, UK.
Brain. 2017 Oct 1;140(10):2706-2721. doi: 10.1093/brain/awx221.
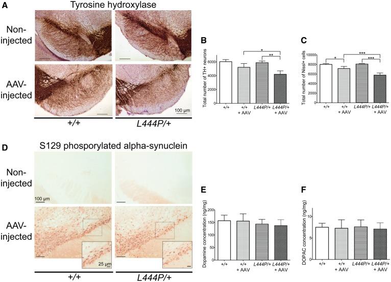
Mutations in glucocerebrosidase 1 (GBA1) represent the most prevalent risk factor for Parkinson's disease. The molecular mechanisms underlying the link between GBA1 mutations and Parkinson's disease are incompletely understood. We analysed two aged (24-month-old) Gba1 mouse models, one carrying a knock-out mutation and the other a L444P knock-in mutation. A significant reduction of glucocerebrosidase activity was associated with increased total alpha-synuclein accumulation in both these models. Gba1 mutations alone did not alter the number of nigral dopaminergic neurons nor striatal dopamine levels. We then investigated the effect of overexpression of human alpha-synuclein in the substantia nigra of aged (18 to 21-month-old) L444P Gba1 mice. Following intraparenchymal injections of human alpha-synuclein carrying viral vectors, pathological accumulation of phosphorylated alpha-synuclein occurred within the transduced neurons. Stereological counts of nigral dopaminergic neurons revealed a significantly greater cell loss in Gba1-mutant than wild-type mice. These results indicate that Gba1 deficiency enhances neuronal vulnerability to neurodegenerative processes triggered by increased alpha-synuclein expression.
葡萄糖脑苷脂酶1(GBA1)突变是帕金森病最常见的风险因素。GBA1突变与帕金森病之间联系的分子机制尚未完全明确。我们分析了两种老年(24个月大)的Gba1小鼠模型,一种携带敲除突变,另一种携带L444P敲入突变。在这两种模型中,葡萄糖脑苷脂酶活性的显著降低与总α-突触核蛋白积累的增加相关。单独的Gba1突变并未改变黑质多巴胺能神经元的数量或纹状体多巴胺水平。然后,我们研究了在老年(18至21个月大)L444P Gba1小鼠黑质中过表达人α-突触核蛋白的影响。在脑实质内注射携带人α-突触核蛋白的病毒载体后,转导神经元内出现了磷酸化α-突触核蛋白的病理性积累。黑质多巴胺能神经元的体视学计数显示,Gba1突变小鼠的细胞损失明显多于野生型小鼠。这些结果表明,Gba1缺乏会增强神经元对由α-突触核蛋白表达增加引发的神经退行性过程的易感性。