Reñé Albert, Alacid Elisabet, Ferrera Isabel, Garcés Esther
Departament de Biologia Marina i Oceanografia, Institut de Ciències del Mar (CSIC)Barcelona, Spain.
Front Microbiol. 2017 Aug 24;8:1594. doi: 10.3389/fmicb.2017.01594. eCollection 2017.
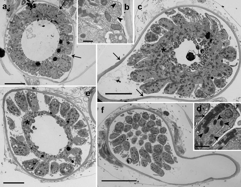
Parasites are one of the ecologically most relevant groups of marine food webs, but their taxonomic and biological complexity hampers the assessment of their diversity and evolutionary trends. Moreover, the within-host processes that govern parasitoid infection, development and reproduction are often unknown. In this study, we describe a new species of a perkinsozoan endoparasitoid that infects the toxic dinoflagellate , by including observations of its morphology, ultrastructure, life-cycle development and phylogeny. The SSU rDNA sequence and main morphological features were also obtained for a second parasitoid species infecting the bloom-forming dinoflagellate . Phylogenetic analyses including the sequences obtained show that all known Perkinsozoa species infecting dinoflagellates cluster together. However, sequences of and those obtained in this study cluster at the base of the clade, while the rest of representatives form a separated highly-supported cluster. These results, together with differing morphological characters like the formation of a germ-tube, the presence of trichocysts, or the heterochromatin presence in zoospores nucleus justify the erection of gen. nov. et sp. nov., and gen. nov. et comb. nov. (=). The morphological features and phylogenetic position of these parasitoids represent ancestral characters for the Perkinsozoa phylum, and also for Dinozoa clade, allowing the inference of the evolutionary framework of these Alveolata members.
寄生虫是海洋食物网中生态相关性最高的群体之一,但其分类学和生物学复杂性阻碍了对其多样性和进化趋势的评估。此外,宿主内控制寄生感染、发育和繁殖的过程往往尚不明确。在本研究中,我们通过对一种感染有毒甲藻的 Perkins 类内生寄生生物的形态、超微结构、生命周期发育和系统发育进行观察,描述了一个新物种。还获得了另一种感染形成水华的甲藻的寄生生物的小亚基核糖体 DNA 序列和主要形态特征。包括所获得序列的系统发育分析表明,所有已知感染甲藻的 Perkins 类物种聚集在一起。然而,[未提及物种名称1]的序列以及本研究中获得的序列聚集在进化枝的基部,而其余[未提及物种名称1]的代表形成一个独立的、得到高度支持的聚类。这些结果,连同不同的形态特征,如芽管的形成、刺丝囊的存在或游动孢子细胞核中异染色质的存在,证明了[未提及属名1]新属及新种以及[未提及属名2]新属及新组合(= [未提及组合名称])的建立。这些寄生生物的形态特征和系统发育位置代表了 Perkins 类门以及 Din 类进化枝的祖先特征,从而可以推断这些囊泡虫成员的进化框架。