• 文献检索
  • 文档翻译
  • 深度研究
  • 学术资讯
  • Suppr Zotero 插件Zotero 插件
  • 邀请有礼
  • 套餐&价格
  • 历史记录
应用&插件
Suppr Zotero 插件Zotero 插件浏览器插件Mac 客户端Windows 客户端微信小程序
定价
高级版会员购买积分包购买API积分包
服务
文献检索文档翻译深度研究API 文档MCP 服务
关于我们
关于 Suppr公司介绍联系我们用户协议隐私条款
关注我们

Suppr 超能文献

核心技术专利:CN118964589B侵权必究
粤ICP备2023148730 号-1Suppr @ 2026

文献检索

告别复杂PubMed语法,用中文像聊天一样搜索,搜遍4000万医学文献。AI智能推荐,让科研检索更轻松。

立即免费搜索

文件翻译

保留排版,准确专业,支持PDF/Word/PPT等文件格式,支持 12+语言互译。

免费翻译文档

深度研究

AI帮你快速写综述,25分钟生成高质量综述,智能提取关键信息,辅助科研写作。

立即免费体验

Pcf11锌结合结构域在mRNA前体3'末端加工中的不同作用。

Distinct roles of Pcf11 zinc-binding domains in pre-mRNA 3'-end processing.

作者信息

Guéguéniat Julia, Dupin Adrien F, Stojko Johan, Beaurepaire Lionel, Cianférani Sarah, Mackereth Cameron D, Minvielle-Sébastia Lionel, Fribourg Sébastien

机构信息

Université de Bordeaux, INSERM U1212, CNRS UMR5320, Bordeaux, France.

Laboratoire de Spectrométrie de Masse BioOrganique, Université de Strasbourg, CNRS, IPHC UMR 7178, 67000 Strasbourg, France.

出版信息

Nucleic Acids Res. 2017 Sep 29;45(17):10115-10131. doi: 10.1093/nar/gkx674.

DOI:10.1093/nar/gkx674
PMID:28973460
原文链接:https://pmc.ncbi.nlm.nih.gov/articles/PMC5737669/
Abstract

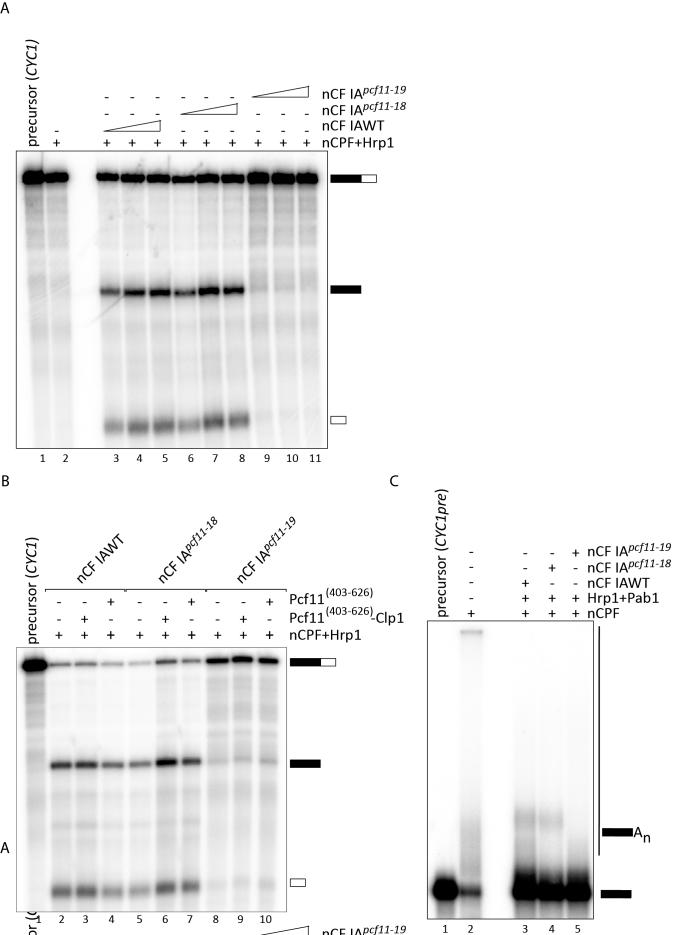
New transcripts generated by RNA polymerase II (RNAPII) are generally processed in order to form mature mRNAs. Two key processing steps include a precise cleavage within the 3' end of the pre-mRNA, and the subsequent polymerization of adenosines to produce the poly(A) tail. In yeast, these two functions are performed by a large multi-subunit complex that includes the Cleavage Factor IA (CF IA). The four proteins Pcf11, Clp1, Rna14 and Rna15 constitute the yeast CF IA, and of these, Pcf11 is structurally the least characterized. Here, we provide evidence for the binding of two Zn2+ atoms to Pcf11, bound to separate zinc-binding domains located on each side of the Clp1 recognition region. Additional structural characterization of the second zinc-binding domain shows that it forms an unusual zinc finger fold. We further demonstrate that the two domains are not mandatory for CF IA assembly nor RNA polymerase II transcription termination, but are rather involved to different extents in the pre-mRNA 3'-end processing mechanism. Our data thus contribute to a more complete understanding of the architecture and function of Pcf11 and its role within the yeast CF IA complex.

摘要

RNA聚合酶II(RNAPII)产生的新转录本通常需要经过加工才能形成成熟的mRNA。两个关键的加工步骤包括在前体mRNA的3'端进行精确切割,以及随后腺苷酸聚合形成聚腺苷酸尾巴。在酵母中,这两种功能由一个大型多亚基复合物执行,该复合物包括切割因子IA(CF IA)。Pcf11、Clp1、Rna14和Rna15这四种蛋白质构成了酵母CF IA,其中Pcf11在结构上的特征最少。在这里,我们提供了证据表明两个Zn2+原子与Pcf11结合,它们分别结合在Clp1识别区域两侧的不同锌结合结构域上。对第二个锌结合结构域的进一步结构表征表明,它形成了一种不寻常的锌指结构。我们进一步证明这两个结构域对于CF IA组装和RNA聚合酶II转录终止不是必需的,而是在不同程度上参与前体mRNA 3'端加工机制。因此,我们的数据有助于更全面地了解Pcf11及其在酵母CF IA复合物中的作用的结构和功能。

https://cdn.ncbi.nlm.nih.gov/pmc/blobs/0ebb/5737669/c6c1ffc04575/gkx674fig9.jpg
https://cdn.ncbi.nlm.nih.gov/pmc/blobs/0ebb/5737669/39d25b3ef1e3/gkx674fig1.jpg
https://cdn.ncbi.nlm.nih.gov/pmc/blobs/0ebb/5737669/e5f73f8156de/gkx674fig2.jpg
https://cdn.ncbi.nlm.nih.gov/pmc/blobs/0ebb/5737669/b843b8d30482/gkx674fig3.jpg
https://cdn.ncbi.nlm.nih.gov/pmc/blobs/0ebb/5737669/102befb5c0fe/gkx674fig4.jpg
https://cdn.ncbi.nlm.nih.gov/pmc/blobs/0ebb/5737669/8e3c37963d7e/gkx674fig5.jpg
https://cdn.ncbi.nlm.nih.gov/pmc/blobs/0ebb/5737669/4941e68656b1/gkx674fig6.jpg
https://cdn.ncbi.nlm.nih.gov/pmc/blobs/0ebb/5737669/20227cc7b334/gkx674fig7.jpg
https://cdn.ncbi.nlm.nih.gov/pmc/blobs/0ebb/5737669/28e279adb9b1/gkx674fig8.jpg
https://cdn.ncbi.nlm.nih.gov/pmc/blobs/0ebb/5737669/c6c1ffc04575/gkx674fig9.jpg
https://cdn.ncbi.nlm.nih.gov/pmc/blobs/0ebb/5737669/39d25b3ef1e3/gkx674fig1.jpg
https://cdn.ncbi.nlm.nih.gov/pmc/blobs/0ebb/5737669/e5f73f8156de/gkx674fig2.jpg
https://cdn.ncbi.nlm.nih.gov/pmc/blobs/0ebb/5737669/b843b8d30482/gkx674fig3.jpg
https://cdn.ncbi.nlm.nih.gov/pmc/blobs/0ebb/5737669/102befb5c0fe/gkx674fig4.jpg
https://cdn.ncbi.nlm.nih.gov/pmc/blobs/0ebb/5737669/8e3c37963d7e/gkx674fig5.jpg
https://cdn.ncbi.nlm.nih.gov/pmc/blobs/0ebb/5737669/4941e68656b1/gkx674fig6.jpg
https://cdn.ncbi.nlm.nih.gov/pmc/blobs/0ebb/5737669/20227cc7b334/gkx674fig7.jpg
https://cdn.ncbi.nlm.nih.gov/pmc/blobs/0ebb/5737669/28e279adb9b1/gkx674fig8.jpg
https://cdn.ncbi.nlm.nih.gov/pmc/blobs/0ebb/5737669/c6c1ffc04575/gkx674fig9.jpg

相似文献

1
Distinct roles of Pcf11 zinc-binding domains in pre-mRNA 3'-end processing.Pcf11锌结合结构域在mRNA前体3'末端加工中的不同作用。
Nucleic Acids Res. 2017 Sep 29;45(17):10115-10131. doi: 10.1093/nar/gkx674.
2
The P-loop domain of yeast Clp1 mediates interactions between CF IA and CPF factors in pre-mRNA 3' end formation.酵母 Clp1 的 P 环结构域介导 pre-mRNA 3' 端形成过程中 CF IA 和 CPF 因子之间的相互作用。
PLoS One. 2011;6(12):e29139. doi: 10.1371/journal.pone.0029139. Epub 2011 Dec 22.
3
The interaction of Pcf11 and Clp1 is needed for mRNA 3'-end formation and is modulated by amino acids in the ATP-binding site.Pcf11 和 Clp1 的相互作用对于 mRNA 3'-末端的形成是必要的,并且可以被 ATP 结合位点中的氨基酸调节。
Nucleic Acids Res. 2012 Feb;40(3):1214-25. doi: 10.1093/nar/gkr801. Epub 2011 Oct 12.
4
Architectural and functional details of CF IA proteins involved in yeast 3'-end pre-mRNA processing and its significance for eukaryotes: A concise review.参与酵母 3'-端前体 mRNA 处理的 CFIA 蛋白的结构和功能细节及其对真核生物的意义:简要综述。
Int J Biol Macromol. 2021 Dec 15;193(Pt A):387-400. doi: 10.1016/j.ijbiomac.2021.10.129. Epub 2021 Oct 23.
5
The C-terminal domains of vertebrate CstF-64 and its yeast orthologue Rna15 form a new structure critical for mRNA 3'-end processing.脊椎动物CstF-64的C末端结构域及其酵母同源物Rna15形成了一种对mRNA 3'末端加工至关重要的新结构。
J Biol Chem. 2007 Jan 19;282(3):2101-15. doi: 10.1074/jbc.M609981200. Epub 2006 Nov 20.
6
Structural and biochemical analysis of the assembly and function of the yeast pre-mRNA 3' end processing complex CF I.酵母前体 mRNA 3' 端加工复合物 CF I 的组装和功能的结构和生化分析。
Proc Natl Acad Sci U S A. 2012 Dec 26;109(52):21342-7. doi: 10.1073/pnas.1214102110. Epub 2012 Dec 10.
7
Structure of a nucleotide-bound Clp1-Pcf11 polyadenylation factor.结合核苷酸的Clp1-Pcf11聚腺苷酸化因子的结构
Nucleic Acids Res. 2007;35(1):87-99. doi: 10.1093/nar/gkl1010. Epub 2006 Dec 6.
8
Chemical shift assignments of a new folded domain from yeast Pcf11.酵母Pcf11中一个新折叠结构域的化学位移归属
Biomol NMR Assign. 2015 Oct;9(2):421-5. doi: 10.1007/s12104-015-9622-2. Epub 2015 Jul 2.
9
The C terminus of Pcf11 forms a novel zinc-finger structure that plays an essential role in mRNA 3'-end processing.Pcf11的C末端形成一种新型锌指结构,该结构在mRNA 3'末端加工中起关键作用。
RNA. 2017 Jan;23(1):98-107. doi: 10.1261/rna.058354.116. Epub 2016 Oct 25.
10
Genome-wide analysis of pre-mRNA 3' end processing reveals a decisive role of human cleavage factor I in the regulation of 3' UTR length.全基因组分析前体 mRNA 3' 端加工揭示了人类剪接因子 I 在调控 3'UTR 长度中的决定性作用。
Cell Rep. 2012 Jun 28;1(6):753-63. doi: 10.1016/j.celrep.2012.05.003. Epub 2012 Jun 7.

引用本文的文献

1
A developmental mechanism to regulate alternative polyadenylation in an adult stem cell lineage.一种调节成体干细胞谱系中可变多聚腺苷酸化的发育机制。
Genes Dev. 2024 Aug 20;38(13-14):655-674. doi: 10.1101/gad.351649.124.
2
A Developmental Mechanism to Regulate Alternative Polyadenylation in an Adult Stem Cell Lineage.一种调控成体干细胞谱系中可变聚腺苷酸化的发育机制。
bioRxiv. 2024 Jul 10:2024.03.18.585561. doi: 10.1101/2024.03.18.585561.
3
Premature transcription termination complex proteins PCF11 and WDR82 silence HIV-1 expression in latently infected cells.

本文引用的文献

1
Structural basis for the dimerization of Nab2 generated by RNA binding provides insight into its contribution to both poly(A) tail length determination and transcript compaction in Saccharomyces cerevisiae.RNA结合引发的Nab2二聚化的结构基础,为其在酿酒酵母中对聚腺苷酸(poly(A))尾长度确定和转录本压缩的贡献提供了见解。
Nucleic Acids Res. 2017 Feb 17;45(3):1529-1538. doi: 10.1093/nar/gkw1224.
2
The C terminus of Pcf11 forms a novel zinc-finger structure that plays an essential role in mRNA 3'-end processing.Pcf11的C末端形成一种新型锌指结构,该结构在mRNA 3'末端加工中起关键作用。
RNA. 2017 Jan;23(1):98-107. doi: 10.1261/rna.058354.116. Epub 2016 Oct 25.
3
过早转录终止复合物蛋白 PCF11 和 WDR82 沉默潜伏感染细胞中的 HIV-1 表达。
Proc Natl Acad Sci U S A. 2023 Dec 5;120(49):e2313356120. doi: 10.1073/pnas.2313356120. Epub 2023 Nov 28.
4
Mutations in yeast Pcf11, a conserved protein essential for mRNA 3' end processing and transcription termination, elicit the Environmental Stress Response.酵母 Pcf11 中的突变,该蛋白对于 mRNA 3' 端加工和转录终止是必需的,会引发环境应激反应。
Genetics. 2024 Feb 7;226(2). doi: 10.1093/genetics/iyad199.
5
mRNA alternative polyadenylation (APA) in regulation of gene expression and diseases.信使核糖核酸可变聚腺苷酸化(mRNA可变聚腺苷酸化,mRNA APA)在基因表达调控及疾病中的作用
Genes Dis. 2021 Oct 18;10(1):165-174. doi: 10.1016/j.gendis.2021.09.005. eCollection 2023 Jan.
6
Birth of a poly(A) tail: mechanisms and control of mRNA polyadenylation.mRNA 多聚腺苷酸化的产生机制与调控
FEBS Open Bio. 2023 Jul;13(7):1140-1153. doi: 10.1002/2211-5463.13528. Epub 2022 Dec 7.
7
Requirement for cleavage factor II in the control of alternative polyadenylation in breast cancer cells.乳腺癌细胞中可变多聚腺苷酸化调控所需的裂解因子 II。
RNA. 2020 Aug;26(8):969-981. doi: 10.1261/rna.075226.120. Epub 2020 Apr 15.
8
Regulation of Intronic Polyadenylation by PCF11 Impacts mRNA Expression of Long Genes.PCF11 通过调控内含子多聚腺苷酸化影响长基因的 mRNA 表达。
Cell Rep. 2019 Mar 5;26(10):2766-2778.e6. doi: 10.1016/j.celrep.2019.02.049.
9
Activation of the Endonuclease that Defines mRNA 3' Ends Requires Incorporation into an 8-Subunit Core Cleavage and Polyadenylation Factor Complex.定义mRNA 3'末端的核酸内切酶的激活需要整合到一个由8个亚基组成的核心切割和聚腺苷酸化因子复合物中。
Mol Cell. 2019 Mar 21;73(6):1217-1231.e11. doi: 10.1016/j.molcel.2018.12.023. Epub 2019 Feb 5.
10
Reconstitution of mammalian cleavage factor II involved in 3' processing of mRNA precursors.哺乳动物剪接因子 II 的重建参与 mRNA 前体的 3' 加工。
RNA. 2018 Dec;24(12):1721-1737. doi: 10.1261/rna.068056.118. Epub 2018 Aug 23.
Secondary ubiquitin-RING docking enhances Arkadia and Ark2C E3 ligase activity.
二级泛素-RING 连接增强了 Arkadia 和 Ark2C E3 连接酶的活性。
Nat Struct Mol Biol. 2016 Jan;23(1):45-52. doi: 10.1038/nsmb.3142. Epub 2015 Dec 14.
4
The end of the message: multiple protein-RNA interactions define the mRNA polyadenylation site.信息的终结:多种蛋白质-RNA相互作用决定mRNA聚腺苷酸化位点。
Genes Dev. 2015 May 1;29(9):889-97. doi: 10.1101/gad.261974.115.
5
Efficient mRNA polyadenylation requires a ubiquitin-like domain, a zinc knuckle, and a RING finger domain, all contained in the Mpe1 protein.高效的mRNA聚腺苷酸化需要一个泛素样结构域、一个锌指结构和一个RING指结构域,所有这些结构域都包含在Mpe1蛋白中。
Mol Cell Biol. 2014 Nov;34(21):3955-67. doi: 10.1128/MCB.00077-14. Epub 2014 Aug 18.
6
Structural basis for ATP loss by Clp1p in a G135R mutant protein.Clp1p蛋白G135R突变体中ATP损失的结构基础。
Biochimie. 2014 Jun;101:203-7. doi: 10.1016/j.biochi.2014.01.017. Epub 2014 Feb 5.
7
Protein backbone and sidechain torsion angles predicted from NMR chemical shifts using artificial neural networks.使用人工神经网络从 NMR 化学位移预测蛋白质主链和侧链扭转角。
J Biomol NMR. 2013 Jul;56(3):227-41. doi: 10.1007/s10858-013-9741-y. Epub 2013 Jun 2.
8
Structural and biochemical analysis of the assembly and function of the yeast pre-mRNA 3' end processing complex CF I.酵母前体 mRNA 3' 端加工复合物 CF I 的组装和功能的结构和生化分析。
Proc Natl Acad Sci U S A. 2012 Dec 26;109(52):21342-7. doi: 10.1073/pnas.1214102110. Epub 2012 Dec 10.
9
Crystal structure of the Rna14-Rna15 complex.Rna14-Rna15 复合物的晶体结构。
RNA. 2012 Jun;18(6):1154-62. doi: 10.1261/rna.032524.112. Epub 2012 Apr 18.
10
Reconstitution of CF IA from overexpressed subunits reveals stoichiometry and provides insights into molecular topology.从过表达的亚基中重建 CF IA 揭示了化学计量比,并深入了解了分子拓扑结构。
Biochemistry. 2011 Nov 29;50(47):10203-14. doi: 10.1021/bi200964p. Epub 2011 Nov 2.