• 文献检索
  • 文档翻译
  • 深度研究
  • 学术资讯
  • Suppr Zotero 插件Zotero 插件
  • 邀请有礼
  • 套餐&价格
  • 历史记录
应用&插件
Suppr Zotero 插件Zotero 插件浏览器插件Mac 客户端Windows 客户端微信小程序
定价
高级版会员购买积分包购买API积分包
服务
文献检索文档翻译深度研究API 文档MCP 服务
关于我们
关于 Suppr公司介绍联系我们用户协议隐私条款
关注我们

Suppr 超能文献

核心技术专利:CN118964589B侵权必究
粤ICP备2023148730 号-1Suppr @ 2026

文献检索

告别复杂PubMed语法,用中文像聊天一样搜索,搜遍4000万医学文献。AI智能推荐,让科研检索更轻松。

立即免费搜索

文件翻译

保留排版,准确专业,支持PDF/Word/PPT等文件格式,支持 12+语言互译。

免费翻译文档

深度研究

AI帮你快速写综述,25分钟生成高质量综述,智能提取关键信息,辅助科研写作。

立即免费体验

冻融低质量胚胎移植后双绒毛膜三胎妊娠:两例报告及文献复习

Dichorionic triplets following frozen-thawed poor-stage embryo transfer: a report of two cases and a review.

作者信息

Yanaihara Atsushi, Ohgi Shirei, Motomura Kenichirou, Taniguchi Ryoma, Hatakeyama Shota, Yanaihara Takumi

机构信息

Yanaihara Women's Clinic, 1-26-29 Ofuna, Kamakura, Kanagawa, 247-0056, Japan.

出版信息

Reprod Biol Endocrinol. 2017 Oct 3;15(1):80. doi: 10.1186/s12958-017-0302-1.

DOI:10.1186/s12958-017-0302-1
PMID:28974228
原文链接:https://pmc.ncbi.nlm.nih.gov/articles/PMC5627466/
Abstract

BACKGROUND

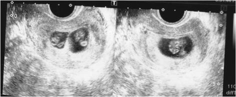
We describe two cases of dichorionic triplet pregnancy after a frozen-thawed poor-stage embryo transfer. A 39-year-old and a 41-year-old woman underwent ART treatment. The first patient underwent intracytoplasmic sperm injection (ICSI) at 34 years of age, and two frozen-thawed poor-stage embryos were transferred at 39 years of age with assisted hatching, resulting in a trichorionic triamniotic triplet pregnancy. The second patient underwent ICSI, and two poor-grade blastocysts were transferred followed by assisted hatching, resulting in a dichorionic triamniotic triplet pregnancy. In the first case, the heartbeat of one monozygotic twin fetus had stopped on day 48 post-transfer (9 weeks 2 days), resulting in a dichorionic diamniotic twin pregnancy. A healthy boy and girl were delivered by elective caesarean section at 36 weeks, 5-days gestation. In the second case, the patient underwent selective reduction of the monochorionic twins, resulting in a single pregnancy that was vaginally delivered without any problems at 38 weeks 0-days gestation.

SHORT CONCLUSIONS

Numerous factors may be associated with the development of a monochorionic pregnancy; however, controversies still remain. The present morphological grading for embryos is insufficient for inhibiting the development of a monochorionic pregnancy.

摘要

背景

我们描述了两例冻融低质量胚胎移植后双绒毛膜三胎妊娠的病例。一名39岁和一名41岁的女性接受了辅助生殖技术治疗。第一名患者34岁时接受了卵胞浆内单精子注射(ICSI),39岁时移植了两枚冻融低质量胚胎并进行了辅助孵化,结果是三绒毛膜三羊膜囊三胎妊娠。第二名患者接受了ICSI,随后移植了两枚低质量囊胚并进行了辅助孵化,结果是双绒毛膜三羊膜囊三胎妊娠。在第一例中,一个单卵双胎胎儿的心跳在移植后第48天(9周2天)停止,导致双绒毛膜双羊膜囊双胎妊娠。在妊娠36周5天时通过择期剖宫产分娩了一名健康男婴和一名健康女婴。在第二例中,患者对单绒毛膜双胎进行了选择性减胎,结果是单胎妊娠,并在妊娠38周0天时顺利阴道分娩。

简短结论

许多因素可能与单绒毛膜妊娠的发生有关;然而,争议仍然存在。目前的胚胎形态学分级不足以抑制单绒毛膜妊娠的发生。

https://cdn.ncbi.nlm.nih.gov/pmc/blobs/1faa/5627466/641490ae1859/12958_2017_302_Fig2_HTML.jpg
https://cdn.ncbi.nlm.nih.gov/pmc/blobs/1faa/5627466/d49b5187e479/12958_2017_302_Fig1_HTML.jpg
https://cdn.ncbi.nlm.nih.gov/pmc/blobs/1faa/5627466/641490ae1859/12958_2017_302_Fig2_HTML.jpg
https://cdn.ncbi.nlm.nih.gov/pmc/blobs/1faa/5627466/d49b5187e479/12958_2017_302_Fig1_HTML.jpg
https://cdn.ncbi.nlm.nih.gov/pmc/blobs/1faa/5627466/641490ae1859/12958_2017_302_Fig2_HTML.jpg

相似文献

1
Dichorionic triplets following frozen-thawed poor-stage embryo transfer: a report of two cases and a review.冻融低质量胚胎移植后双绒毛膜三胎妊娠:两例报告及文献复习
Reprod Biol Endocrinol. 2017 Oct 3;15(1):80. doi: 10.1186/s12958-017-0302-1.
2
Dichorionic quadramniotic quadruple gestation with monochorionic triamniotic triplets after two embryos transfer and selective reduction to twin pregnancy: case report.双绒毛膜四羊膜性四胞胎妊娠,经两次胚胎移植和选择性减胎至双胎妊娠后成为单绒毛膜三羊膜性三胞胎:病例报告。
Fertil Steril. 2009 Dec;92(6):2038.e13-5. doi: 10.1016/j.fertnstert.2009.08.022. Epub 2009 Oct 8.
3
Repeated triplets complicated by monochorionic diamniotic twins following assisted reproduction: a case report and literature review.辅助生殖技术后复杂性三胞胎妊娠:病例报告及文献复习。
BMC Pregnancy Childbirth. 2020 Jun 23;20(1):373. doi: 10.1186/s12884-020-03055-y.
4
Monochorionic triplet and monoamniotic twins gestation after intracytoplasmic sperm injection and laser-assisted hatching.卵胞浆内单精子注射及激光辅助孵化后出现的单绒毛膜三胎妊娠及单羊膜囊双胎妊娠
Fetal Diagn Ther. 2009;25(1):144-7. doi: 10.1159/000208169. Epub 2009 Mar 13.
5
Dichorionic triamniotic triplets after two blastocysts transfer underwent multifetal pregnancy reduction: two case reports and literature review.两囊胚移植后形成的双绒毛膜三羊膜三胎妊娠减胎:两例病例报告及文献复习。
BMC Womens Health. 2024 Sep 5;24(1):492. doi: 10.1186/s12905-024-03324-4.
6
Dichorionic triamniotic triplet pregnancy with monozygotic twins discordant for trisomy 13 after preimplantation genetic screening: case report.植入前基因筛查后出现的双绒毛膜三羊膜囊三胎妊娠,其中单卵双胎之一为13三体,另一个正常:病例报告
Fertil Steril. 2008 Nov;90(5):2017.e5-9. doi: 10.1016/j.fertnstert.2008.01.095. Epub 2008 Apr 9.
7
Dichorionic quadruplet pregnancy comprising monozygotic triplets and singleton after intracytoplasmic sperm injection and transfer of two fresh embryos: a case report.双绒毛膜四胞胎妊娠,包括卵裂期单精子注射和移植两枚新鲜胚胎后形成的三卵双胎和一胎:病例报告。
J Int Med Res. 2022 Feb;50(2):3000605221075506. doi: 10.1177/03000605221075506.
8
Live birth of monochorionic triamniotic triplets after in vitro fertilization and blastocyst transfer: case report and review of the literature.体外受精和囊胚移植后单绒毛膜三羊膜囊三胞胎活产:病例报告及文献复习
Ginekol Pol. 2014 Feb;85(2):154-7. doi: 10.17772/gp/1707.
9
Monochorionic quadramniotic and triamniotic pregnancies following single embryo transfers: two case reports and a review of the literature.单胚胎移植后单绒毛膜四羊膜囊和三羊膜囊妊娠:两例病例报告及文献综述
J Assist Reprod Genet. 2016 Jan;33(1):27-32. doi: 10.1007/s10815-015-0611-2. Epub 2015 Nov 12.
10
Multi-chorionic pregnancies following single embryo transfer at the blastocyst stage: a case series and review of the literature.囊胚期单胚胎移植后发生的多绒毛膜性妊娠:病例系列及文献复习。
J Assist Reprod Genet. 2018 Dec;35(12):2109-2117. doi: 10.1007/s10815-018-1329-8. Epub 2018 Oct 25.

引用本文的文献

1
Dichorionic triamniotic triplets after two blastocysts transfer underwent multifetal pregnancy reduction: two case reports and literature review.两囊胚移植后形成的双绒毛膜三羊膜三胎妊娠减胎:两例病例报告及文献复习。
BMC Womens Health. 2024 Sep 5;24(1):492. doi: 10.1186/s12905-024-03324-4.
2
Repeated triplets complicated by monochorionic diamniotic twins following assisted reproduction: a case report and literature review.辅助生殖技术后复杂性三胞胎妊娠:病例报告及文献复习。
BMC Pregnancy Childbirth. 2020 Jun 23;20(1):373. doi: 10.1186/s12884-020-03055-y.
3
Two is a Crowd: Two is a Crowd: On the Enigmatic Etiopathogenesis of Conjoined Twinning.

本文引用的文献

1
Correlation between aneuploidy, standard morphology evaluation and morphokinetic development in 1730 biopsied blastocysts: a consecutive case series study.1730个活检囊胚的非整倍体、标准形态学评估与胚胎发育动力学之间的相关性:一项连续性病例系列研究
Hum Reprod. 2016 Oct;31(10):2245-54. doi: 10.1093/humrep/dew183. Epub 2016 Sep 2.
2
Grade and looseness of the inner cell mass may lead to the development of monochorionic diamniotic twins.内细胞团的分级和松散度可能导致单绒毛膜双羊膜双胞胎的发育。
Fertil Steril. 2016 Sep 1;106(3):640-4. doi: 10.1016/j.fertnstert.2016.05.007. Epub 2016 Jun 2.
3
Risk of Monozygotic Twins After Assisted Reproduction: A Population-Based Approach.
《二人为众:二人为众——联体双胎发病机制的神秘性》
Clin Anat. 2019 Jul;32(5):722-741. doi: 10.1002/ca.23387. Epub 2019 Apr 29.
辅助生殖后单卵双胞胎的风险:基于人群的研究方法。
Twin Res Hum Genet. 2016 Feb;19(1):72-6. doi: 10.1017/thg.2015.96. Epub 2016 Jan 8.
4
Monochorionic quadramniotic and triamniotic pregnancies following single embryo transfers: two case reports and a review of the literature.单胚胎移植后单绒毛膜四羊膜囊和三羊膜囊妊娠:两例病例报告及文献综述
J Assist Reprod Genet. 2016 Jan;33(1):27-32. doi: 10.1007/s10815-015-0611-2. Epub 2015 Nov 12.
5
The regulation of stem cell aging by Wnt signaling.Wnt信号通路对干细胞衰老的调控。
Histol Histopathol. 2015 Dec;30(12):1411-30. doi: 10.14670/HH-11-657. Epub 2015 Aug 31.
6
Genes and Conditions Controlling Mammalian Pre- and Post-implantation Embryo Development.控制哺乳动物植入前和植入后胚胎发育的基因和条件。
Curr Genomics. 2015 Feb;16(1):32-46. doi: 10.2174/1389202916666141224205025.
7
Diagnosis of human preimplantation embryo viability.人类胚胎植入前活力的诊断。
Hum Reprod Update. 2015 Nov-Dec;21(6):727-47. doi: 10.1093/humupd/dmu064. Epub 2015 Jan 6.
8
Blastocyst transfer is not associated with increased rates of monozygotic twins when controlling for embryo cohort quality.在控制胚胎群体质量时,囊胚移植与单卵双胞胎的发生率增加无关。
Fertil Steril. 2015 Jan;103(1):95-100. doi: 10.1016/j.fertnstert.2014.10.013. Epub 2014 Nov 5.
9
Selection of competent blastocysts for transfer by combining time-lapse monitoring and array CGH testing for patients undergoing preimplantation genetic screening: a prospective study with sibling oocytes.结合胚胎实时监测和 array CGH 检测选择合适的囊胚进行移植用于行植入前遗传学筛查患者:一项利用姐妹卵母细胞的前瞻性研究。
BMC Med Genomics. 2014 Jun 22;7:38. doi: 10.1186/1755-8794-7-38.
10
Correlation between standard blastocyst morphology, euploidy and implantation: an observational study in two centers involving 956 screened blastocysts.标准囊胚形态、整倍体与着床的相关性:两个中心涉及 956 枚筛选囊胚的观察性研究。
Hum Reprod. 2014 Jun;29(6):1173-81. doi: 10.1093/humrep/deu033. Epub 2014 Feb 26.