Suppr超能文献

肿瘤抗原糖胺聚糖修饰调节抗体-药物偶联物的递送及细胞毒性。

Tumor antigen glycosaminoglycan modification regulates antibody-drug conjugate delivery and cytotoxicity.

作者信息

Christianson Helena C, Menard Julien A, Indira Chandran Vineesh, Bourseau-Guilmain Erika, Shevela Dmitry, Lidfeldt Jon, Månsson Ann-Sofie, Pastorekova Silvia, Messinger Johannes, Belting Mattias

机构信息

Department of Clinical Sciences, Section of Oncology and Pathology, Lund University, Lund, Sweden.

CNRS UMR 5237 CRBM, Montpellier University, Montpellier, France.

出版信息

Oncotarget. 2017 Apr 7;8(40):66960-66974. doi: 10.18632/oncotarget.16921. eCollection 2017 Sep 15.

Abstract

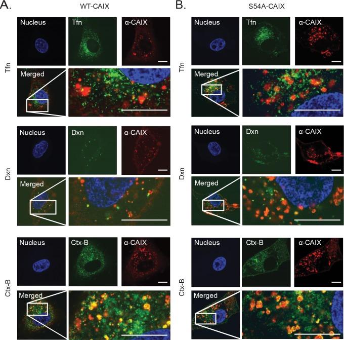
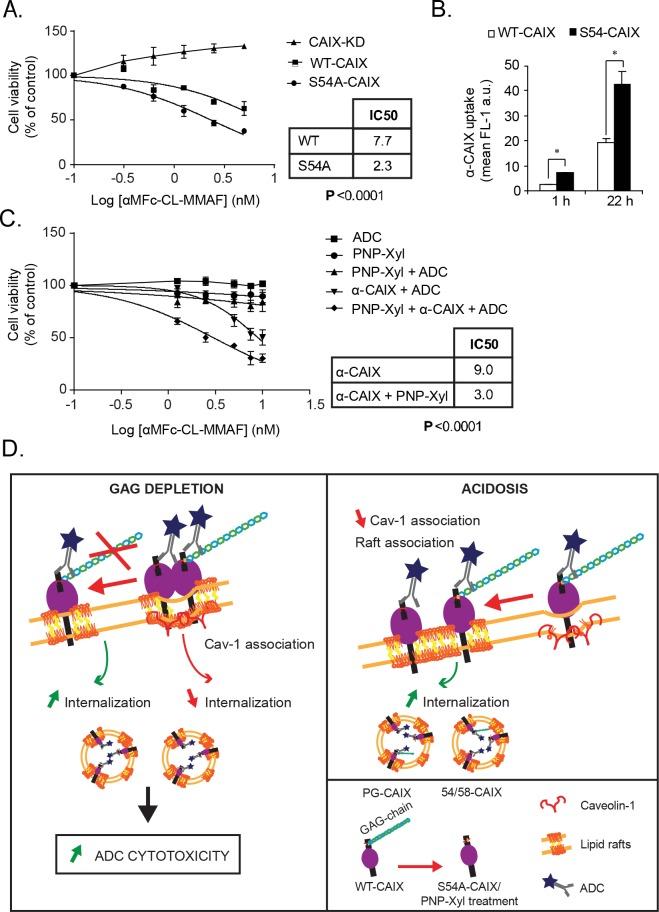
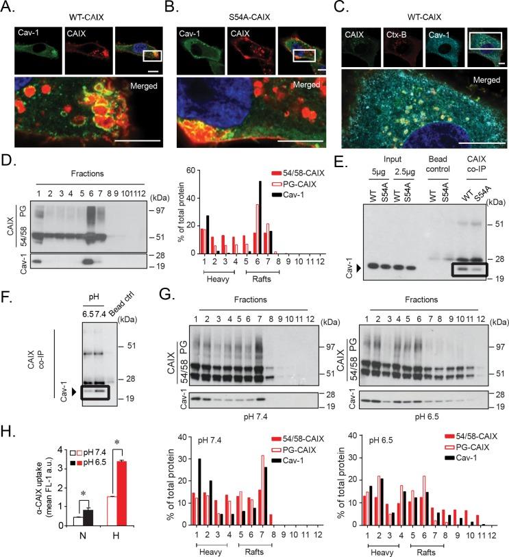
Aggressive cancers are characterized by hypoxia, which is a key driver of tumor development and treatment resistance. Proteins specifically expressed in the hypoxic tumor microenvironment thus represent interesting candidates for targeted drug delivery strategies. Carbonic anhydrase (CAIX) has been identified as an attractive treatment target as it is highly hypoxia specific and expressed at the cell-surface to promote cancer cell aggressiveness. Here, we find that cancer cell internalization of CAIX is negatively regulated by post-translational modification with chondroitin or heparan sulfate glycosaminoglycan chains. We show that perturbed glycosaminoglycan modification results in increased CAIX endocytosis. We hypothesized that perturbation of CAIX glycosaminoglycan conjugation may provide opportunities for enhanced drug delivery to hypoxic tumor cells. In support of this concept, pharmacological inhibition of glycosaminoglycan biosynthesis with xylosides significantly potentiated the internalization and cytotoxic activity of an antibody-drug conjugate (ADC) targeted at CAIX. Moreover, cells expressing glycosaminoglycan-deficient CAIX were significantly more sensitive to ADC treatment as compared with cells expressing wild-type CAIX. We find that inhibition of CAIX endocytosis is associated with an increased localization of glycosaminoglycan-conjugated CAIX in membrane lipid raft domains stabilized by caveolin-1 clusters. The association of CAIX with caveolin-1 was partially attenuated by acidosis, another important feature of malignant tumors. Accordingly, we found increased internalization of CAIX at acidic conditions. These findings provide first evidence that intracellular drug delivery at pathophysiological conditions of malignant tumors can be attenuated by tumor antigen glycosaminoglycan modification, which is of conceptual importance in the future development of targeted cancer treatments.

摘要

侵袭性癌症的特征是缺氧,这是肿瘤发展和治疗耐药性的关键驱动因素。因此,在缺氧肿瘤微环境中特异性表达的蛋白质是靶向药物递送策略的有趣候选物。碳酸酐酶(CAIX)已被确定为一个有吸引力的治疗靶点,因为它具有高度的缺氧特异性,并在细胞表面表达以促进癌细胞的侵袭性。在这里,我们发现CAIX的癌细胞内化受到硫酸软骨素或硫酸乙酰肝素糖胺聚糖链的翻译后修饰的负调控。我们表明,糖胺聚糖修饰的扰动会导致CAIX内吞作用增加。我们假设,CAIX糖胺聚糖结合的扰动可能为增强向缺氧肿瘤细胞的药物递送提供机会。支持这一概念的是,用木糖苷对糖胺聚糖生物合成进行药理抑制显著增强了靶向CAIX的抗体药物偶联物(ADC)的内化和细胞毒性活性。此外,与表达野生型CAIX的细胞相比,表达糖胺聚糖缺陷型CAIX的细胞对ADC治疗明显更敏感。我们发现,抑制CAIX内吞作用与糖胺聚糖结合的CAIX在由小窝蛋白-1簇稳定的膜脂筏结构域中的定位增加有关。CAIX与小窝蛋白-1的结合在酸中毒(恶性肿瘤的另一个重要特征)时部分减弱。因此,我们发现在酸性条件下CAIX的内化增加。这些发现首次证明,肿瘤抗原糖胺聚糖修饰可减弱恶性肿瘤病理生理条件下的细胞内药物递送,这在靶向癌症治疗的未来发展中具有概念上的重要性。

https://cdn.ncbi.nlm.nih.gov/pmc/blobs/7d76/5620149/2e3b53df6e00/oncotarget-08-66960-g001.jpg

文献检索

告别复杂PubMed语法,用中文像聊天一样搜索,搜遍4000万医学文献。AI智能推荐,让科研检索更轻松。

立即免费搜索

文件翻译

保留排版,准确专业,支持PDF/Word/PPT等文件格式,支持 12+语言互译。

免费翻译文档

深度研究

AI帮你快速写综述,25分钟生成高质量综述,智能提取关键信息,辅助科研写作。

立即免费体验