Suppr超能文献

身体脂肪组成作为新诊断多发性骨髓瘤患者治疗反应的预测因素——前瞻性GMMG MM5试验的亚组分析

Body fat composition as predictive factor for treatment response in patients with newly diagnosed multiple myeloma - subgroup analysis of the prospective GMMG MM5 trial.

作者信息

GroΔ Jonathan P, Nattenmüller Johanna, Hemmer Stefan, Tichy Diana, Krzykalla Julia, Goldschmidt Hartmut, Bertsch Uta, Delorme Stefan, Kauczor Hans-Ulrich, Hillengass Jens, Merz Maximilian

机构信息

University of Heidelberg, Department of Internal Medicine V, Heidelberg, Germany.

University of Heidelberg, Department of Diagnostic and Interventional Radiology, Heidelberg, Germany.

出版信息

Oncotarget. 2017 Jul 25;8(40):68460-68471. doi: 10.18632/oncotarget.19536. eCollection 2017 Sep 15.

Abstract

INTRODUCTION/BACKGROUND: Obesity is a well-known risk factor for malignant tumors and increased body mass index (BMI) is correlated to the risk of developing multiple myeloma (MM). The correlation of body fat composition with disease activity, adverse events and treatment response of MM patients has not been investigated yet.

PATIENTS AND METHODS

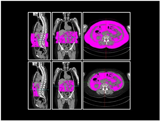
A subgroup of 108 patients from a single institution enrolled in the prospective GMMG-MM5 trial, who received a whole-body low-dose computed tomography (WBLDCT) before induction therapy, were included in this study. Body fat composition was measured in WBLDCT for each patient, divided in the compartments abdomen, pelvis, thigh and further categorized in subcutaneous (SAT) and visceral adipose tissue (VAT). The correlation of these parameters with disease activity (M protein, plasma cell count, LDH, CRAB-criteria), adverse cytogenetics, adverse events and treatment response were evaluated.

RESULTS

Significant reciprocal correlation was found between adverse cytogenetics and VAT of the abdomen and pelvis, respectively (gain 1q21: p=0.009 and p=0.021; t(4;14): p=0.038 and p=0.042). No correlation of VAT or SAT with adverse events was observed. Significant reciprocal correlation was observed between abdominal (p=0.03) and pelvic (p=0.035) VAT and treatment response. Abdominal VAT remains significant (p=0.034) independently of revised ISS stage and treatment. The BMI did not show a significant correlation with treatment response or investigated cytogenetics.

CONCLUSION

Based on the clinically relevant difference in treatment outcome depending on VAT and SAT, excessive body fat of abdomen and pelvis might be a predictive factor for poor treatment response. Further influences in this context should be considered as well, e.g. chemotherapy dosing and body fat metabolism. Further studies are necessary to investigate this hypothesis.

摘要

引言/背景:肥胖是恶性肿瘤的一个众所周知的风险因素,体重指数(BMI)升高与多发性骨髓瘤(MM)的发病风险相关。然而,MM患者的体脂成分与疾病活动、不良事件及治疗反应之间的相关性尚未得到研究。

患者与方法

本研究纳入了来自单个机构的108例患者,这些患者参与了前瞻性GMMG-MM5试验,在诱导治疗前接受了全身低剂量计算机断层扫描(WBLDCT)。通过WBLDCT测量每位患者的体脂成分,分为腹部、骨盆、大腿等部位,并进一步分为皮下脂肪(SAT)和内脏脂肪组织(VAT)。评估这些参数与疾病活动(M蛋白、浆细胞计数、乳酸脱氢酶、CRAB标准)、不良细胞遗传学、不良事件及治疗反应之间的相关性。

结果

分别在不良细胞遗传学与腹部及骨盆的VAT之间发现了显著的负相关(1q21增益:p=0.009和p=0.021;t(4;14):p=0.038和p=0.042)。未观察到VAT或SAT与不良事件之间的相关性。在腹部(p=0.03)和骨盆(p=0.035)的VAT与治疗反应之间观察到显著的负相关。独立于修订的国际分期系统(ISS)分期和治疗,腹部VAT仍具有显著性(p=0.034)。BMI与治疗反应或所研究的细胞遗传学未显示出显著相关性。

结论

基于VAT和SAT在治疗结果方面的临床相关差异,腹部和骨盆的过多体脂可能是治疗反应不佳的预测因素。在此背景下的其他影响因素也应予以考虑,例如化疗剂量和体脂代谢。有必要进行进一步研究以验证这一假设。

https://cdn.ncbi.nlm.nih.gov/pmc/blobs/d8fe/5620270/62a2b9b36d47/oncotarget-08-68460-g001.jpg

文献AI研究员

20分钟写一篇综述,助力文献阅读效率提升50倍。

立即体验

用中文搜PubMed

大模型驱动的PubMed中文搜索引擎

马上搜索

文档翻译

学术文献翻译模型,支持多种主流文档格式。

立即体验