Suppr超能文献

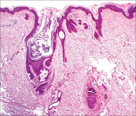
Dermoscopy of Nevus Comedonicus.

作者信息

Vora Rita V, Kota RahulKrishna S, Sheth Niral K

机构信息

Department of Dermatology and Venereology, Pramukhswami Medical College, Karamsad, Gujarat, India.

出版信息

Indian Dermatol Online J. 2017 Sep-Oct;8(5):388-389. doi: 10.4103/idoj.IDOJ_430_16.

Abstract
摘要
https://cdn.ncbi.nlm.nih.gov/pmc/blobs/263b/5621214/2f85576a3473/IDOJ-8-388-g001.jpg

文献AI研究员

20分钟写一篇综述,助力文献阅读效率提升50倍。

立即体验

用中文搜PubMed

大模型驱动的PubMed中文搜索引擎

马上搜索

文档翻译

学术文献翻译模型,支持多种主流文档格式。

立即体验